Cleve

Chiari Malformation Treatments

Chiari Malformation Treatments

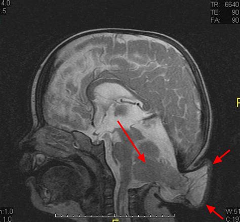
Receiving a diagnosis of Chiari malformation can be an overwhelming experience, often accompanied by a flurry of questions regarding long-term health and quality of life. This condition, which occurs when the lower part of the brain—the cerebellum—extends into the spinal canal, can cause a wide range of debilitating symptoms, including chronic headaches, neck pain, balance issues, and neurological deficits. Fortunately, medical advancements have paved the way for diverse Chiari malformation treatments that aim to relieve pressure on the brain and spinal cord, stop the progression of neurological damage, and improve overall patient function.

Understanding the Need for Intervention

The approach to managing this condition is highly personalized. Not every individual diagnosed with a Chiari malformation requires surgery. For those who are asymptomatic or experience only mild, manageable symptoms, a "watchful waiting" approach is often recommended. However, when symptoms become persistent or neurological complications arise, medical professionals must evaluate various Chiari malformation treatments to address the underlying anatomical issue.

The severity of the condition often dictates the strategy. If left untreated, severe cases can lead to syringomyelia (the development of a fluid-filled cyst within the spinal cord), which significantly heightens the risk of permanent nerve damage. Therefore, timely diagnosis and professional evaluation are critical.

Non-Surgical Management Strategies

For patients experiencing mild discomfort or those who are not immediate candidates for surgical intervention, conservative management plays a vital role. While these methods do not fix the structural abnormality, they are essential Chiari malformation treatments for symptom management:

  • Pain Management: Utilizing anti-inflammatory medications or muscle relaxants to manage chronic neck pain and headaches.
  • Physical Therapy: Implementing tailored exercises to improve balance, coordination, and neck strength, which can help mitigate some of the physical impairments caused by the malformation.
  • Regular Neurological Monitoring: Frequent MRIs and neurological exams are essential to ensure the condition is not progressing or leading to secondary issues like syrinx formation.

⚠️ Note: Always consult with a specialized neurosurgeon or neurologist before starting any physical therapy regimen, as incorrect exercises could potentially exacerbate neurological symptoms.

Surgical Approaches to Chiari Malformation

When conservative methods fail or when the anatomy presents a clear threat to neurological health, surgical intervention becomes the primary path. The most common and effective of the Chiari malformation treatments is a procedure known as posterior fossa decompression. The goal of this surgery is to create more space for the cerebellum and allow for the normal flow of cerebrospinal fluid (CSF).

Surgical Procedure Description Primary Goal
Posterior Fossa Decompression Removal of a small portion of bone at the back of the skull. Reduce pressure on the cerebellum and restore normal CSF flow.
Dural Opening (Duraplasty) Expanding the covering of the brain. Provide extra space for the brain to sit comfortably without compression.
Shunt Placement Insertion of a tube to drain excess fluid. Used in cases of severe syringomyelia to relieve pressure within the spinal cord.

During a typical decompression surgery, the surgeon removes a small piece of bone from the base of the skull and sometimes a small part of the top of the spinal canal. Often, the surgeon will also open the dura mater (the thick covering over the brain) and sew in a graft to enlarge the space, a process called duraplasty. This is considered the gold standard among Chiari malformation treatments because it directly addresses the cause of the compression.

Post-Operative Recovery and Expectations

Recovery after surgery is a journey that requires patience and adherence to post-operative guidelines. Most patients spend several days in the hospital for observation. During the initial weeks at home, physical activity is usually restricted to prevent strain on the incision site. Following surgery, patients often notice a significant reduction in headaches and an improvement in neurological symptoms over several months.

It is important to manage expectations regarding recovery. While surgery is highly effective at stopping the progression of the condition, some long-term neurological damage may take time to heal, or in some cases, may be irreversible. Comprehensive Chiari malformation treatments often involve a multi-disciplinary team, including neurosurgeons, physical therapists, and pain management specialists, to ensure the best possible recovery outcome.

Integrating Lifestyle Adjustments

Beyond clinical intervention, lifestyle modifications are an essential component of the long-term management of Chiari malformation. Because this condition involves pressure on the central nervous system, certain activities that cause sudden increases in pressure, such as heavy lifting or intense straining, may need to be avoided. Integrating mindfulness, stress management, and a healthy anti-inflammatory diet can help support the body's healing process and improve the overall quality of life for those living with the condition.

Consistency in medical follow-ups remains the most critical aspect of long-term success. Even after successful surgery, many patients benefit from annual or semi-annual neuroimaging to monitor the area and ensure the decompression remains effective. By staying informed about the latest Chiari malformation treatments and maintaining open communication with a dedicated medical team, patients can navigate the challenges of this condition with confidence and regain a sense of normalcy in their daily lives.

Successfully navigating a diagnosis involving Chiari malformation requires a balanced approach that considers both the physical reality of the condition and the emotional wellbeing of the patient. While the prospect of surgery or chronic condition management can be daunting, modern medical interventions have transformed the prognosis for many. By prioritizing early detection, working closely with neurosurgical specialists to choose the appropriate path, and remaining committed to post-operative care and lifestyle management, individuals can effectively mitigate symptoms and protect their neurological health for the long term. Focusing on a patient-centered strategy ensures that medical choices are aligned with personal health goals, ultimately providing the best chance for sustained relief and improved functionality.

Related Terms:

  • chiari malformation on ct scan
  • does chiari malformation cause dizziness
  • chiari malformation how to treat
  • can chiari malformation cause dizziness
  • chiari 1 malformation headache treatment
  • normal brain vs chiari malformation