Mayo

Complete Mouth Dental Implants

Complete Mouth Dental Implants

Losing all of your natural teeth can be a life-altering experience, affecting everything from your ability to enjoy your favorite foods to your self-confidence in social settings. For many, the traditional solution of removable dentures has been less than ideal, often leading to discomfort, slipping, and the inconvenience of daily maintenance. Fortunately, modern restorative dentistry offers a transformative solution: complete mouth dental implants. This advanced procedure provides a permanent, stable, and natural-looking replacement for an entire arch or a full set of teeth, effectively restoring your smile and quality of life.

Understanding Complete Mouth Dental Implants

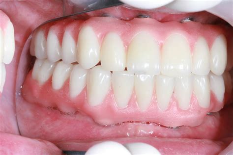
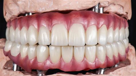
Complete mouth dental implants, often referred to as full-arch restoration or "all-on-X" procedures, are designed to replace all the teeth in either the upper jaw, lower jaw, or both. Unlike bridges or dentures that rest on the gums, these implants are anchored directly into the jawbone using titanium or zirconia posts. These posts act as artificial tooth roots, providing a solid foundation for a custom-made set of prosthetic teeth.

The primary advantage of this approach is its stability. Because the implants fuse with the bone—a process known as osseointegration—they function exactly like natural teeth. You can bite, chew, speak, and smile with confidence, knowing that your teeth will not shift or fall out. Furthermore, because the implants stimulate the jawbone, they help prevent the bone resorption (loss) that typically occurs after tooth loss, helping to maintain your facial structure and preventing that "sunken-in" appearance common with long-term denture wearers.

Benefits of Choosing Permanent Full-Mouth Restoration

The decision to invest in complete mouth dental implants is significant, but for many, it is a life-changing investment. The benefits extend far beyond aesthetics, impacting both physical health and psychological well-being:

  • Superior Stability: No more adhesives or worry about dentures clicking or slipping while you eat or talk.
  • Preservation of Bone Density: The implants mimic natural tooth roots, which keeps the jawbone healthy and stimulated.
  • Improved Nutrition: You can return to eating a full range of foods, including crunchy vegetables and tough proteins, that are often difficult or impossible to manage with traditional dentures.
  • Enhanced Oral Hygiene: Because they are fixed in place, these implants are cleaned much like natural teeth, avoiding the need to remove them at night.
  • Longevity: With proper care and routine dental checkups, these implants are designed to last for decades, often for the remainder of a patient's life.

Comparing Treatment Options

To help you better understand how different restorative options compare, the following table outlines the key differences between traditional dentures and complete mouth dental implants.

Feature Traditional Dentures Complete Mouth Dental Implants
Stability Can slip or move Fixed and stable
Bone Health Does not prevent bone loss Prevents bone resorption
Maintenance Must be removed daily Fixed; brushed like natural teeth
Chewing Efficiency Reduced significantly Close to natural tooth function
Longevity Requires replacement/relining Permanent/Long-term solution

The Procedure: What to Expect

The journey toward a full-mouth restoration is a structured process that ensures the best possible outcome for your specific dental anatomy. While every patient’s needs are unique, the general pathway typically involves these essential phases:

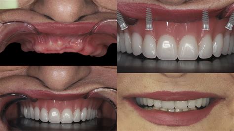
  1. Initial Consultation and Planning: Your dentist will perform a comprehensive exam, including 3D imaging or CT scans, to evaluate your jawbone volume and overall oral health.
  2. Preparatory Procedures: If necessary, the dentist will extract any remaining failing teeth and may perform a bone graft if there is not enough density to support the implants.
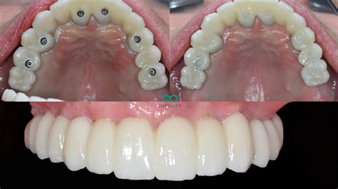
  3. Implant Placement: The titanium or zirconia posts are surgically inserted into the jawbone. A temporary set of teeth is often attached during this stage so you do not go without teeth during the healing process.
  4. Osseointegration: This is the healing period where the bone grows around the implant, creating a rock-solid bond. This can take several months.
  5. Final Restoration: Once fully healed, the custom-crafted, permanent prosthetic teeth are attached to the implants, providing a beautiful, durable, and fully functional smile.

💡 Note: The healing timeline varies from patient to patient depending on bone density, overall health, and whether bone grafting was required. Always follow the post-operative instructions provided by your dental surgeon to ensure successful osseointegration.

Maintaining Your New Smile

Even though dental implants cannot develop cavities, they still require diligent care to remain healthy. The gum tissue surrounding the implants must be kept clean to prevent infection, a condition known as peri-implantitis. Implementing a routine that includes brushing twice daily, flossing with specialized tools designed for implants, and attending professional dental cleanings at least every six months is vital. When you treat your implants with the same level of care you would give your natural teeth, they provide the best return on your investment in your health and appearance.

Candidacy for Full-Mouth Restoration

Many people assume they are not candidates for implants due to age or previous tooth loss, but advancements in technology have made this treatment accessible to a wider range of patients than ever before. Even those who have suffered significant bone loss can often become candidates through bone grafting procedures. The most important factors include:

  • Overall Health: While there are few absolute contraindications, chronic health conditions should be managed properly.
  • Jawbone Health: Sufficient bone must be present or created via grafts to support the implants.
  • Commitment to Hygiene: The long-term success of the implants relies heavily on the patient’s commitment to daily oral care.

Ultimately, determining your candidacy requires a thorough examination by an experienced implant dentist or oral surgeon. They can assess your specific situation and discuss how modern techniques can be customized to restore your smile effectively, regardless of how long you have been without teeth. By choosing to pursue this advanced form of rehabilitation, you are prioritizing your long-term health, comfort, and confidence, effectively closing the chapter on the challenges of tooth loss and beginning a new era of restored function and dental wellness.

Related Terms:

  • full mouth individual tooth implants
  • complete dental implants cost
  • full top dental implants
  • complete dental implants near me
  • dentist that deals with implants
  • timeline for complete dental implants