Cleve

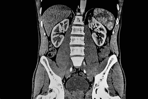
Computed Tomography Abdomen And Pelvis

Computed Tomography Abdomen And Pelvis

Medical imaging has revolutionized the way clinicians diagnose and treat complex internal conditions, with Computed Tomography Abdomen And Pelvis scans standing at the forefront of modern diagnostic radiology. Often referred to as a CT scan of the lower and middle torso, this imaging modality uses sophisticated X-ray technology coupled with powerful computing to create detailed, cross-sectional images of the organs, blood vessels, and structures within your abdominal and pelvic cavities. Whether you are dealing with unexplained abdominal pain, suspected internal injuries, or monitoring the progress of a known medical condition, understanding what this procedure entails can help alleviate anxiety and prepare you for your diagnostic journey.

Understanding Computed Tomography Abdomen And Pelvis

A Computed Tomography Abdomen And Pelvis is a non-invasive medical test that helps physicians see inside your body with remarkable clarity. By rotating an X-ray beam around your body, the scanner collects multiple images from different angles, which a computer then reconstructs into comprehensive 3D views. This allows radiologists to identify abnormalities that might be invisible on standard X-rays or even ultrasound scans.

Typically, the scan is performed to investigate a wide variety of symptoms and conditions, including:

  • Unexplained pain in the abdomen, flank, or pelvic region.
  • Signs of kidney stones or gallbladder issues.
  • Evaluation of unexplained weight loss or a palpable mass.
  • Assessment of trauma following an accident or injury.
  • Detection and staging of various cancers.
  • Identification of infections like diverticulitis, appendicitis, or abscesses.

How the Procedure Works

When you arrive for your scan, the process is streamlined to ensure both comfort and diagnostic accuracy. You will lie on a narrow table that slides into the center of the CT scanner, which is shaped like a large donut. Unlike an MRI, which can be quite loud and cramped, a CT scanner is generally faster and more open, which is beneficial for patients who may feel claustrophobic.

In many cases, your doctor may request the use of a contrast material. This is a special dye, often administered orally or intravenously, that highlights specific blood vessels and organs. Contrast makes it much easier for the radiologist to distinguish between healthy tissue and diseased areas, significantly increasing the diagnostic power of the Computed Tomography Abdomen And Pelvis exam.

Preparation Type Common Requirements
Fasting Avoiding food for 4 to 6 hours before the scan.
Hydration Drinking clear liquids as instructed by the facility.
Clothing Wearing loose-fitting, metal-free clothing or a hospital gown.
Medication Informing staff of any allergies, especially to iodine or shellfish.

⚠️ Note: Always inform your healthcare provider if there is any possibility that you are pregnant, as the scan involves ionizing radiation. Furthermore, ensure you list all current medications, including herbal supplements, to avoid potential interactions with contrast agents.

Safety and Radiation Exposure

A frequent concern regarding Computed Tomography Abdomen And Pelvis is the exposure to ionizing radiation. While it is true that CT scans involve more radiation than a standard X-ray, the technology has advanced significantly. Modern scanners use “low-dose” protocols that minimize radiation while maintaining high image quality. Physicians only recommend these scans when the potential diagnostic benefit—such as catching an infection early or detecting a tumor before it spreads—far outweighs the minimal risk associated with radiation exposure.

To further enhance safety, radiologists strictly adhere to the ALARA principle: As Low As Reasonably Achievable. This means they calibrate the machine to provide the lowest amount of radiation necessary to obtain a clear, diagnostic-quality image for your specific body habitus.

Interpreting Your Results

Once the scan is complete, a radiologist—a doctor specifically trained to interpret medical images—will analyze the data. They look for subtle changes in tissue density, organ size, and anatomical positioning. The findings are compiled into a report that is sent to your referring physician. You will usually have a follow-up appointment to discuss these results, where your doctor will explain what the images show and how they correlate with your physical symptoms and laboratory results.

It is important to remember that not every finding on a Computed Tomography Abdomen And Pelvis scan is abnormal. Radiologists often encounter "incidentalomas"—small, benign growths or anatomical variations that have no impact on your health but appear on the scan. Your doctor will help filter through these findings to focus on what is clinically relevant to your well-being.

💡 Note: Do not be alarmed if the formal radiology report contains complex medical terminology. Wait until your primary care physician or specialist reviews the document with you, as they are best equipped to interpret the findings within the context of your overall medical history.

Preparation Tips for a Smoother Experience

Preparation is key to a successful diagnostic imaging appointment. Beyond the technical requirements like fasting, there are practical steps you can take to make the day easier. Arrange for transportation if you are worried about feeling unwell after the contrast dye, and allow for extra time at the imaging center to complete registration and screening forms. If you have a history of kidney disease, your doctor may order blood tests beforehand to ensure your kidneys can safely process the contrast material.

Ultimately, a Computed Tomography Abdomen And Pelvis is a vital tool in modern medicine that provides the clarity needed for accurate diagnosis. By understanding the procedure, preparing accordingly, and communicating openly with your medical team, you can approach your scan with confidence. This diagnostic imaging process serves as a cornerstone of preventive and reactive healthcare, ensuring that internal concerns are addressed with precision and efficiency. Whether you are seeking answers to long-standing pain or preparing for a surgical intervention, the insights provided by this scan are an invaluable asset in mapping out your path to better health and long-term recovery.

Related Terms:

  • ct scan for abdominal pain
  • indications for ct abdomen
  • cat scan chest abdomen pelvis
  • ct abdomen pelvis with contrast
  • diagnosis for abdominal ct scan
  • purpose of ct scan abdomen