Uci

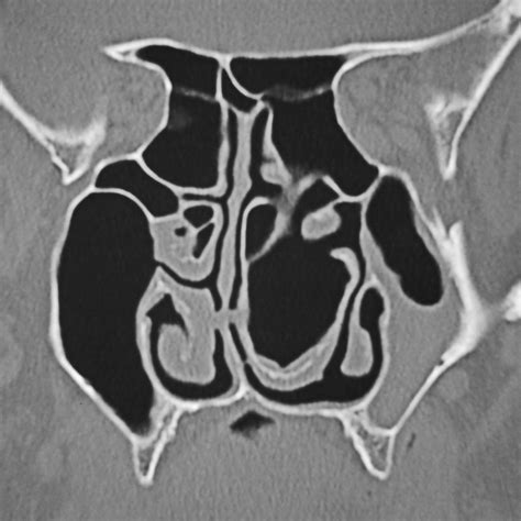
Concha Bullosa

Concha Bullosa

The human nasal cavity is a complex anatomical structure designed to filter, warm, and humidify the air we breathe. Occasionally, variations in this anatomy can lead to chronic discomfort and breathing difficulties. One such variation is a Concha Bullosa. This condition occurs when the middle turbinate—a bony structure inside the nose—becomes pneumatized, meaning it fills with air, creating a pocket or "bubble." While many people live with this anatomical variation without ever realizing it, for others, it can become the primary culprit behind chronic sinus infections, pressure, and persistent nasal congestion.

Understanding the Anatomy of Concha Bullosa

To grasp what a Concha Bullosa is, one must first understand the role of turbinates. Turbinates are small, shelf-like structures located along the side walls of the nasal passage. There are typically three pairs: the inferior, middle, and superior turbinates. The middle turbinate is particularly crucial because it sits adjacent to the openings of the paranasal sinuses. In a normal state, these turbinates are thin and composed of bone covered by mucosal tissue.

When an air cell develops within the middle turbinate, the structure expands significantly. This expansion is the defining characteristic of a Concha Bullosa. Depending on the size of the air pocket, the enlarged turbinate can press against the nasal septum or the lateral nasal wall, effectively narrowing the nasal passage and obstructing the narrow drainage pathways, known as the ostiomeatal complex, where the sinuses drain into the nose.

Common Symptoms and Clinical Presentation

While many individuals are asymptomatic, a significant Concha Bullosa can lead to a variety of disruptive health issues. Because the enlarged turbinate occupies more space than it should, it often interferes with normal airflow and mucociliary clearance. Patients frequently report the following symptoms:

  • Chronic nasal congestion that does not respond well to over-the-counter decongestants.
  • Persistent facial pain or pressure, often located around the eyes and bridge of the nose.
  • Recurrent episodes of rhinosinusitis (sinus infections).
  • Headaches, particularly those that feel worse when leaning forward.
  • Difficulty breathing through one or both sides of the nose.
  • Reduced sense of smell (hyposmia) due to inflammation.

⚠️ Note: If you experience persistent facial pain or difficulty breathing, it is essential to consult an Ear, Nose, and Throat (ENT) specialist to differentiate a Concha Bullosa from other conditions like a deviated septum or nasal polyps.

Diagnostic Procedures

Diagnosing a Concha Bullosa typically requires more than a simple visual inspection during a physical exam. While an ENT might suspect the condition using an endoscope—a thin, flexible tube with a camera—a definitive diagnosis almost always relies on imaging. A Computed Tomography (CT) scan of the paranasal sinuses is the gold standard. It provides a detailed cross-sectional view of the nasal architecture, allowing the physician to measure the exact size of the air pocket and determine if it is contributing to sinus obstruction.

Diagnostic Method Purpose
Nasal Endoscopy Direct visualization of the enlarged turbinate and surrounding tissues.
CT Scan Detailed imaging to confirm pneumatization and identify potential obstruction sites.
Symptom Assessment Linking clinical complaints to anatomical findings.

Treatment Options and Management

If a Concha Bullosa is causing symptoms, there are several treatment pathways. The initial approach is usually conservative, focusing on reducing inflammation in the nasal passages. If non-surgical methods fail to provide adequate relief, surgical intervention may be necessary.

Conservative Management

For patients with mild symptoms, physicians may recommend:

  • Nasal Corticosteroid Sprays: These help reduce mucosal swelling, which can alleviate the sensation of blockage.
  • Saline Irrigation: Using a neti pot or saline spray helps wash away mucus and allergens that get trapped due to poor drainage.
  • Antihistamines: Useful if allergies are exacerbating the underlying inflammation.

Surgical Intervention

When conservative treatments are ineffective, surgery is often the definitive solution. The procedure is usually performed endoscopically through the nostrils, meaning there are no external incisions. Surgeons typically perform a turbinoplasty or a partial resection of the Concha Bullosa. By removing the lateral wall of the air-filled turbinate, the surgeon can deflate the “bubble,” effectively opening the sinus drainage pathways and restoring normal airflow.

💡 Note: Surgical recovery is generally quick, with most patients returning to normal activities within a few days, though full healing of the nasal mucosa can take several weeks.

The Impact of Anatomy on Quality of Life

The presence of a Concha Bullosa highlights how subtle anatomical variations can have a profound impact on daily life. For those suffering from chronic obstruction, the simple act of breathing can become a struggle. Understanding that this is a structural issue rather than a recurring illness can be empowering for patients, as it shifts the focus from managing symptoms to addressing the root cause. Proper diagnosis ensures that the treatment plan is tailored to the specific anatomical needs of the patient, leading to better long-term outcomes and improved respiratory function.

Ultimately, a Concha Bullosa represents a common yet manageable anatomical variation that can significantly disrupt nasal health if left unaddressed. By recognizing the symptoms—such as persistent congestion, facial pressure, and recurrent sinus issues—patients can seek the professional guidance necessary to determine if an air-filled turbinate is indeed the cause. Whether through conservative inflammation management or a minimally invasive endoscopic procedure, there are effective ways to clear the nasal pathway. If you suspect your symptoms are related to your nasal structure, scheduling a consultation with an ENT professional is the first step toward regaining comfortable, unobstructed breathing and improving your overall quality of life.

Related Terms:

  • right middle turbinate concha bullosa
  • concha bullosa resection
  • concha bullosa ct scan
  • concha bullosa surgery
  • concha bullosa ct sinus
  • concha bullosa meaning