Cleve

Cosmetic Dentistry Veneers

Cosmetic Dentistry Veneers

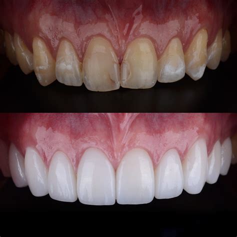
Your smile is often the first thing people notice about you, serving as a universal language of confidence and warmth. However, for many individuals, imperfections like chips, persistent staining, gaps, or misaligned teeth can hinder the desire to share that smile freely. This is where Cosmetic Dentistry Veneers have revolutionized the field of aesthetic medicine, offering a transformative solution that balances functionality with breathtaking visual results. By providing a custom-fit shell that covers the front surface of the teeth, veneers have become the gold standard for those seeking a "Hollywood-style" smile makeover with minimal invasiveness.

What Are Cosmetic Dentistry Veneers?

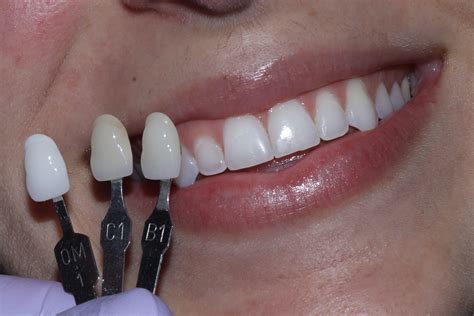
At their core, Cosmetic Dentistry Veneers are ultra-thin, medical-grade shells, typically crafted from porcelain or composite resin. These shells are meticulously designed to mimic the light-reflecting properties and translucency of natural tooth enamel. Because they are custom-fabricated for each patient, they blend seamlessly with the rest of your mouth, masking a variety of aesthetic flaws effectively.

Whether you are dealing with deep intrinsic staining that professional whitening cannot reach or looking to close small gaps between teeth, veneers provide a durable and aesthetic fix. They do not just cover imperfections; they strengthen the structure of the tooth and provide a uniform appearance that can completely alter the harmony of your facial features.

A bright, healthy smile

The Differences Between Porcelain and Composite Veneers

When considering Cosmetic Dentistry Veneers, you will primarily face a choice between two main materials: porcelain and composite resin. Each offers distinct advantages depending on your budget, oral health, and aesthetic goals.

Feature Porcelain Veneers Composite Resin Veneers
Durability Highly resistant to stains and chipping Prone to staining, requires more care
Procedure Time Requires two visits to the dentist Can be done in a single appointment
Appearance Translucent, mimics natural enamel perfectly Good, but less depth than porcelain
Cost Higher investment More budget-friendly

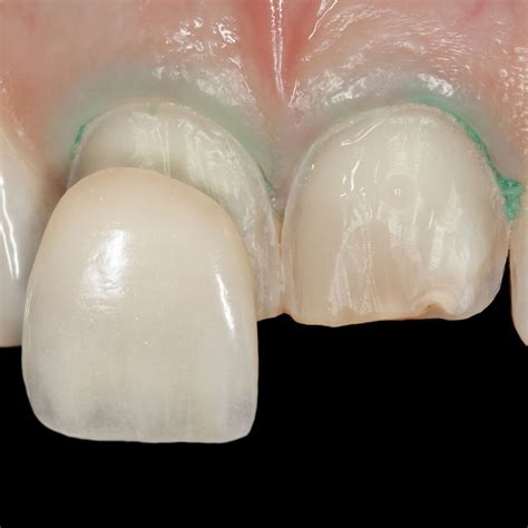
The Step-by-Step Veneer Application Process

The journey to a new smile using Cosmetic Dentistry Veneers is a structured process that ensures longevity and comfort. Understanding the steps can help ease any anxiety you may have about the treatment.

  • Consultation: Your dentist examines your teeth, discusses your goals, and takes X-rays or digital impressions to determine if you are a candidate.
  • Preparation: A tiny amount of enamel—usually about 0.5mm—is removed from the front of the teeth to make room for the thickness of the veneer.
  • Impressions: A precise mold is taken of your teeth and sent to a specialized laboratory where technicians craft your custom veneers.
  • Bonding: Once the veneers are ready, the dentist cleans and etches the tooth surface to create a strong bond, then uses a special cement to secure the veneer.
  • Final Adjustments: The dentist removes any excess cement and checks your bite to ensure everything feels comfortable and natural.

⚠️ Note: Maintaining excellent oral hygiene is essential after getting veneers. While the porcelain itself is stain-resistant, the underlying natural tooth structure and the gum line still require daily brushing and flossing to prevent decay.

Advantages of Choosing Veneers for Your Smile

The popularity of Cosmetic Dentistry Veneers stems from their versatility. Beyond the obvious aesthetic improvement, they offer several practical benefits:

  • Stain Resistance: Porcelain, in particular, is highly resistant to coffee, tea, and tobacco stains.
  • Natural Feel: They are shaped and color-matched to your existing teeth, making them feel like a natural part of your mouth.
  • Minimal Tooth Removal: Compared to crowns, which require extensive shaving of the tooth, veneers are a more conservative option.
  • Fast Results: You can achieve a complete smile transformation in just a few weeks.

Long-term Maintenance and Care

Investing in Cosmetic Dentistry Veneers is a long-term commitment to your self-esteem and oral health. To ensure they last for over a decade, follow these essential maintenance tips:

  • Avoid biting down on hard objects like ice, pens, or fingernails, which can crack the porcelain.
  • Wear a night guard if you suffer from bruxism (teeth grinding) to prevent unnecessary pressure on your veneers.
  • Use non-abrasive toothpaste to keep the surface of the veneers smooth and shiny.
  • Schedule regular dental checkups so your dentist can monitor the bond and the health of the surrounding gums.

💡 Note: If you feel any sensitivity or notice an edge feeling rough shortly after application, contact your dentist for a minor polishing session rather than trying to fix it yourself at home.

Are Veneers Right for You?

While Cosmetic Dentistry Veneers are incredibly effective, they are not for everyone. If you have severe tooth decay, untreated gum disease, or very weak teeth, those issues must be addressed before proceeding with any cosmetic work. Additionally, if you have a significant bite misalignment, your dentist might suggest orthodontics as a precursor to ensure the longevity of your veneers.

Ultimately, the decision should be made after a comprehensive evaluation with a trusted dental professional. By discussing your medical history and specific aesthetic desires, you can determine if this procedure will provide the life-changing results you envision. With proper care and professional guidance, your journey toward a brighter, more confident smile is a goal well within your reach.

Related Terms:

  • permanent veneers for teeth
  • dental veneers pros and cons
  • cosmetic dentistry veneers prices
  • cosmetic veneer for bottom teeth
  • do dentists recommend veneers
  • cosmetic dentistry veneers vs lumineers