Cleve

Cotton Wool Spots

Cotton Wool Spots

When undergoing a routine eye examination, your ophthalmologist might mention a term that sounds deceptively soft: Cotton Wool Spots. Despite their benign-sounding name, these small, fluffy-looking white patches on the retina are actually significant clinical indicators that require attention. They are not diseases themselves but rather the result of underlying systemic or ocular health issues. Understanding what they are, why they appear, and what they signify is crucial for maintaining both your vision and your overall physical well-being.

What Exactly Are Cotton Wool Spots?

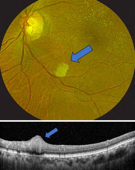
Cotton Wool Spots appear as small, whitish, fluffy lesions on the retina, the light-sensitive tissue at the back of the eye. To an eye care professional looking through an ophthalmoscope, they truly resemble tiny tufts of cotton wool, which is how they earned their descriptive name. These spots are essentially areas of localized ischemia, meaning the tissue is not receiving an adequate blood supply.

At a microscopic level, these spots consist of an accumulation of cellular debris. When the tiny nerve fibers in the retina (nerve fiber layer) are deprived of oxygen due to restricted blood flow, they undergo an injury process. This results in a buildup of axoplasmic transport—the materials that normally move within the nerve cells become congested and "clump" together. This congestion is what manifests as the white, fluffy spot on the retina.

Close-up of an eye examination process

Primary Causes and Underlying Conditions

Because Cotton Wool Spots are a physical manifestation of nerve fiber damage caused by localized lack of oxygen, they serve as a red flag for vascular health problems. They do not appear in a healthy, normally functioning eye. Instead, they are almost always secondary to a systemic condition that affects small blood vessels, known as microvascular disease.

Some of the most common underlying conditions associated with these retinal lesions include:

  • Diabetic Retinopathy: This is perhaps the most frequent cause. Elevated blood sugar levels damage the tiny blood vessels in the retina, leading to poor circulation and subsequent spots.
  • Hypertensive Retinopathy: Chronic high blood pressure puts immense strain on blood vessels, causing them to thicken, narrow, or rupture, which disrupts retinal blood supply.
  • Human Immunodeficiency Virus (HIV): Patients with advanced HIV or AIDS often develop these spots as part of an opportunistic retinal infection or microvascular change.
  • Severe Anemia: Extremely low red blood cell counts can limit oxygen delivery to retinal tissue.
  • Systemic Lupus Erythematosus (SLE): This autoimmune disease can cause inflammation in blood vessels throughout the body, including the eye.
  • Retinal Vein Occlusion: A blockage in the main veins that drain the eye can lead to ischemic damage and the formation of these spots.

⚠️ Note: The presence of a Cotton Wool Spot does not immediately guarantee a specific diagnosis. A thorough clinical examination by an eye specialist is required to correlate these findings with your medical history and other diagnostic tests.

Diagnostic Procedures

Identifying Cotton Wool Spots is usually straightforward during a comprehensive dilated eye exam. When the doctor dilates your pupils, they can visualize the retina directly using specialized instruments. However, identifying the spots is only the first step. The goal is to determine the underlying cause.

Clinicians may utilize several diagnostic methods to get a clearer picture:

Diagnostic Tool Purpose
Fundus Photography Provides high-resolution images of the retina to document the size and number of spots for tracking progression.
Optical Coherence Tomography (OCT) A non-invasive imaging scan that provides cross-sectional views of the retina to assess damage at a structural level.
Fluorescein Angiography Involves injecting a dye into the bloodstream to map blood flow through the retinal vessels and highlight areas of ischemia.

Treatment and Management Approaches

There is no direct treatment to "erase" Cotton Wool Spots. Instead, the focus of management is entirely on treating the underlying systemic condition that caused them. The spots themselves usually fade and disappear on their own over a period of six to twelve weeks as the retina heals, provided the root cause is addressed.

Effective management strategies typically involve a multidisciplinary approach:

  • Blood Pressure Control: If hypertension is the cause, lifestyle changes, dietary adjustments, and medication are essential to stabilize blood pressure.
  • Blood Glucose Management: For diabetic patients, strict glycemic control is necessary to prevent further damage to retinal blood vessels.
  • Managing Systemic Infections: In cases related to HIV or other systemic infections, antiretroviral therapy or targeted treatment for the infection is paramount.
  • Routine Monitoring: Regular follow-up appointments with both an ophthalmologist and a primary care physician (or specialist) are vital to ensure the underlying disease remains under control.

💡 Note: While these spots themselves typically do not cause permanent vision loss, their presence suggests that the vessels responsible for supplying the retina are compromised. Failure to manage the underlying disease can lead to more severe, sight-threatening complications like macular edema or proliferative retinopathy.

When Should You Be Concerned?

While discovering you have Cotton Wool Spots can be alarming, they are rarely an emergency in isolation. They are, however, a serious clinical finding. You should always prioritize your recommended follow-up exams. If you notice sudden changes in your vision, such as floaters, blurriness, or blind spots, you should seek an urgent eye examination, regardless of your past diagnosis.

Because these spots are so closely linked to vascular health, they are often considered a "window" into the state of the blood vessels throughout your body. Addressing the factors that contribute to these retinal findings—such as high blood pressure, elevated blood sugar, or autoimmune inflammation—will not only help protect your vision but will likely improve your overall cardiovascular and systemic health.

In summary, while the term may sound innocuous, these lesions should always be taken seriously as signs of underlying systemic vascular issues. They do not typically require direct treatment themselves but act as vital diagnostic clues that necessitate comprehensive health assessments. By working closely with healthcare professionals to manage the primary cause—whether it be diabetes, hypertension, or another systemic condition—you can prevent the progression of retinal damage and preserve your long-term visual health. Always ensure you maintain a regular schedule of eye examinations, as early detection of these markers is the most effective way to manage potential complications and safeguard your overall well-being.

Related Terms:

  • cotton wool spots vs exudates
  • resolving cotton wool spot
  • can cotton wool spots resolve
  • cotton wool spots on fundoscopy
  • cotton wool spots in retina
  • cotton wool spots ophthalmology