Rp

Cranial Fossa Middle

Cranial Fossa Middle

The human skull is a marvel of biological engineering, protecting the brain while providing complex pathways for nerves and blood vessels to exit and enter the cranial cavity. Among the most intricate areas of the skull base is the cranial fossa middle, a butterfly-shaped depression that serves as a critical junction between the anterior and posterior regions of the skull. Understanding its anatomy is not only essential for medical students and neurosurgeons but also provides profound insight into how the central nervous system is housed and protected. This central region acts as the "bottleneck" through which major sensory and motor signals travel to and from the brain, making its structural integrity vital for human function.

Anatomical Boundaries of the Cranial Fossa Middle

To identify the cranial fossa middle, one must look at the borders that isolate it from the anterior and posterior cranial fossae. Its boundaries are defined by distinct bony landmarks that create a secure, albeit complex, environment for the temporal lobes of the brain.

  • Anterior Boundary: The posterior margin of the lesser wing of the sphenoid bone and the anterior clinoid processes.
  • Posterior Boundary: The superior border of the petrous part of the temporal bone and the dorsum sellae of the sphenoid bone.
  • Lateral Boundary: The squamous part of the temporal bone, the greater wing of the sphenoid, and the parietal bone.

The cranial fossa middle is significantly deeper than the anterior fossa and houses the temporal lobes. Its central portion is dominated by the sella turcica, a saddle-shaped depression that holds the pituitary gland, a master endocrine organ. The lateral portions are wider and accommodate the bulk of the temporal brain tissue, making this area a primary concern during cranial trauma or surgery.

Key Foramina and Neurovascular Passageways

The utility of the cranial fossa middle lies in its collection of foramina (openings) and fissures. These pathways are essential for the passage of cranial nerves and major blood vessels. If you are examining a skull, you will notice these openings are meticulously arranged to allow specific structures to connect with the face, eyes, and jaws.

Foramen/Fissure Structures Passing Through
Superior Orbital Fissure Cranial nerves III, IV, V1, and VI; ophthalmic vein
Foramen Rotundum Maxillary nerve (V2)
Foramen Ovale Mandibular nerve (V3) and accessory meningeal artery
Foramen Spinosum Middle meningeal artery and meningeal branch of V3
Carotid Canal Internal carotid artery

Each of these structures is critical for sensory input and motor control. For example, the foramen ovale is the primary gateway for the mandibular nerve, which provides motor innervation to the muscles of mastication. Any pathology affecting these foramina, such as bone tumors or fractures, can lead to debilitating neurological deficits.

⚠️ Note: When studying these landmarks on a dry skull, always observe the superior aspect; the delicate nature of the internal carotid artery as it passes through the carotid canal is often overlooked in two-dimensional diagrams.

Clinical Significance and Pathology

Due to the density of nerves and vessels found within the cranial fossa middle, it is a frequent site of clinical concern. Neurosurgeons often operate in this region, utilizing specialized approaches like the pterional craniotomy to access tumors, such as pituitary adenomas or meningiomas. Because the internal carotid artery resides here, the surgical margin for error is extremely narrow.

Trauma to the side of the head, particularly a fracture to the pterion (a junction of four bones in the lateral wall), can lead to a middle meningeal artery rupture. This results in an epidural hematoma, a medical emergency characterized by rapid intracranial pressure buildup. Recognizing the anatomical location of the middle meningeal artery in relation to the cranial fossa is a life-saving skill for trauma clinicians.

The Role of the Sella Turcica

Situated centrally within the cranial fossa middle is the sella turcica, or "Turkish saddle." This bony housing protects the pituitary gland (hypophysis). The relationship between the bony walls of the sella and the pituitary gland is tight; in cases of pituitary tumors, the gland may expand, causing "ballooning" of the sella turcica, which can be visualized on lateral X-rays or CT scans.

The cavernous sinuses also lie on either side of the sella turcica. These are large venous plexuses that receive blood from the brain and face. The cranial fossa middle therefore serves as a vital hub for both the endocrine system and the venous drainage system of the head.

💡 Note: In cases of suspected pituitary dysfunction, clinicians often evaluate the bony integrity of the sella turcica to rule out structural erosion caused by neoplastic growth.

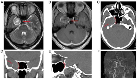
Diagnostic Imaging Insights

Modern medicine relies heavily on CT and MRI to visualize the cranial fossa middle. On a CT scan, the bony borders appear bright white due to the high density of the cortical bone. This is ideal for identifying fractures or bone-eroding tumors. Conversely, MRI provides superior detail for the soft tissues, such as the trigeminal ganglion sitting in the trigeminal impression or the temporal lobes of the brain.

Understanding the standard orientation of these structures allows radiologists to identify deviations from the norm. Asymmetry in the middle cranial fossae can sometimes indicate developmental variations, but it can also be a red flag for chronic conditions like bone dysplasias or previous surgeries.

Advancements in Surgical Approaches

Accessing the cranial fossa middle has evolved significantly over the last few decades. The development of endoscopic endonasal surgery allows surgeons to reach the central region of the fossa through the nasal cavity rather than traditional external craniotomies. This minimally invasive approach reduces recovery time and minimizes trauma to the overlying brain tissue. However, this requires a deep, 3D spatial understanding of the middle fossa floor, the internal carotid artery, and the optic nerves.

The future of neurosurgery in this region continues to favor precision over exposure. Surgeons now utilize neuro-navigation systems that overlay real-time patient anatomy onto surgical monitors, ensuring that the critical nerves passing through the foramen rotundum and foramen ovale remain undisturbed during complex procedures.

The cranial fossa middle stands as one of the most vital regions of the human skull, acting as a crossroads for neural, vascular, and endocrine pathways. Its complex architecture, defined by the sphenoid and temporal bones, provides the necessary protection for the brain’s temporal lobes and the pituitary gland while facilitating the passage of nerves essential for everyday sensation and movement. By examining the structural boundaries, the strategic placement of its foramina, and its significant clinical and surgical implications, we gain a deeper appreciation for the delicate balance of the human head. Mastery of this anatomical region remains a cornerstone of medical education and a critical focus for those tasked with diagnosing and treating the myriad conditions that can impact the skull base.

Related Terms:

  • middle cranial fossa contents
  • petrous part of temporal bone
  • anterior cranial fossa
  • middle cranial fossa arachnoid cyst
  • middle cranial fossa meningioma
  • middle cranial fossa anatomy