Cleve

Csr Eye Disorder

Csr Eye Disorder

Central Serous Retinopathy, commonly referred to as Csr Eye Disorder, is a condition that affects the eye's macula—the small, central area of the retina responsible for sharp, detailed vision. When a person develops CSR, fluid accumulates beneath the retina, creating a small detachment. This shift in retinal position often results in visual distortions, such as blurred central vision, objects appearing smaller or further away than they actually are, or the appearance of gray or dark spots in the central field of view. Understanding this condition is crucial for anyone experiencing sudden changes in their vision, as prompt identification can help in managing symptoms effectively and preserving long-term eye health.

What Causes CSR Eye Disorder?

The exact etiology of Csr Eye Disorder remains a subject of ongoing medical research, but it is widely associated with fluid leakage from the choroid, the layer of blood vessels beneath the retina. Under normal circumstances, the retinal pigment epithelium (RPE) acts as a pump, moving fluid out from under the retina to keep it attached. In individuals with CSR, this pumping mechanism fails, or the RPE becomes permeable, allowing fluid to pool.

Several key factors have been identified as potential triggers or contributors to the development of this condition:

  • High Stress Levels: Often referred to as a "Type A" personality condition, high-stress environments and emotional strain are strongly linked to the onset of CSR.
  • Corticosteroid Use: The use of steroids—whether topical, oral, inhaled, or injected—is a well-documented risk factor.
  • Sleep Disorders: Conditions such as obstructive sleep apnea have been associated with a higher incidence of central serous retinopathy.
  • Hormonal Fluctuations: Changes in cortisol levels or high levels of endogenous glucocorticoids can affect the ocular environment.
  • Systemic Health: Hypertension and certain autoimmune diseases are sometimes found in patients presenting with Csr Eye Disorder.

Common Symptoms and Clinical Presentation

The symptoms of Csr Eye Disorder can appear suddenly or develop gradually. Because it typically affects only one eye initially, patients may not notice the reduction in visual quality immediately. However, when the central vision becomes significantly distorted, it often prompts a visit to an eye care professional.

Key symptoms include:

  • Blurred central vision: A sensation of looking through a smudge or a camera lens that is slightly out of focus.
  • Metamorphopsia: Straight lines appearing wavy, bent, or distorted.
  • Micropsia: Objects appearing smaller than their actual size.
  • Dyschromatopsia: A slight change in color perception, where colors may appear washed out or less vivid.
  • Central Scotoma: A persistent gray or dark spot in the center of the visual field.

Diagnostic Procedures

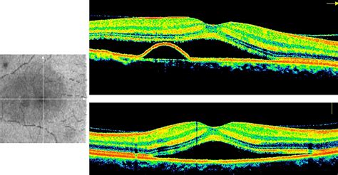
To confirm a diagnosis of Csr Eye Disorder, an ophthalmologist will perform a comprehensive eye examination. Specialized imaging tools are used to visualize the retina and the fluid accumulation beneath it.

Diagnostic Tool Purpose
Optical Coherence Tomography (OCT) Provides high-resolution cross-sectional images of the retina to measure fluid accumulation.
Fluorescein Angiography Uses a dye injected into the bloodstream to pinpoint the exact location of the leakage in the RPE.
Fundus Autofluorescence Used to assess the health of the retinal pigment epithelium.

⚠️ Note: If you experience sudden vision loss, do not wait for symptoms to resolve on their own. Seek an immediate evaluation by an ophthalmologist or a retina specialist to rule out more severe retinal conditions.

Management and Treatment Options

The good news regarding Csr Eye Disorder is that for many patients, it is self-limiting. The fluid often resorbs spontaneously over a period of three to four months, leading to a recovery of vision. However, for chronic cases or those where vision does not improve, medical intervention may be necessary.

Common strategies for management include:

  • Observation: Often the first line of defense, especially for a first-time episode.
  • Corticosteroid Cessation: If the patient is taking steroids, the doctor will usually advise stopping them under medical supervision.
  • Lifestyle Modifications: Managing stress levels, improving sleep hygiene, and maintaining a healthy blood pressure can significantly lower the risk of recurrence.
  • Laser Therapy: Targeted focal laser treatment can be used to seal the leakage site in the RPE, accelerating the recovery process.
  • Photodynamic Therapy (PDT): Uses a light-activated drug to close leaking vessels, often reserved for chronic, recurrent, or persistent fluid.

💡 Note: Always consult with a healthcare professional before adjusting or stopping any prescribed medications, as abrupt changes can have systemic health consequences.

Prognosis and Long-Term Outlook

The prognosis for individuals diagnosed with Csr Eye Disorder is generally favorable. Most patients return to their baseline visual acuity once the fluid clears. However, recurrence is a distinct possibility, occurring in approximately 30% to 50% of cases. Those who experience recurrent episodes are at higher risk for long-term RPE changes, which can lead to permanent, though usually mild, vision loss. Consistent monitoring by an eye specialist is essential to track any potential for chronic progression and to ensure that the retina remains healthy over the long term. By adopting a proactive approach to systemic health and stress management, patients can effectively manage their condition and maintain their visual independence.

While dealing with vision changes can be an unsettling experience, understanding the mechanics of Csr Eye Disorder provides a roadmap for effective care. The combination of modern imaging technology and careful observation allows specialists to guide patients toward recovery. Whether the journey involves simple lifestyle adjustments or targeted medical procedures, the goal remains the same: stabilizing the retina and restoring clear vision. Because this condition is frequently linked to external factors like stress and medication use, the partnership between the patient and the physician is paramount. By remaining vigilant about visual health and attending follow-up appointments, most individuals affected by this disorder are able to navigate the challenge and protect their ability to see the world clearly.

Related Terms:

  • central serous chorioretinopathy right eye
  • what is csr in ophthalmology
  • fluid behind retina symptoms
  • csr eye condition causes
  • csr full form in medical
  • central serous chorioretinopathy left eye