Ghc

Ct Pet Imaging

Ct Pet Imaging

When it comes to modern medical diagnostics, Ct Pet Imaging stands at the forefront of precision medicine. By combining the structural detail of a Computed Tomography (CT) scan with the metabolic insights provided by Positron Emission Tomography (PET), this hybrid technology offers clinicians an unparalleled view of the human body. This dual-modality approach allows medical professionals to identify diseases at their earliest stages, monitor treatment effectiveness, and plan complex procedures with pinpoint accuracy. As healthcare continues to shift toward personalized care, understanding the mechanics and benefits of this advanced diagnostic tool is essential for patients and practitioners alike.

Understanding the Basics of Ct Pet Imaging

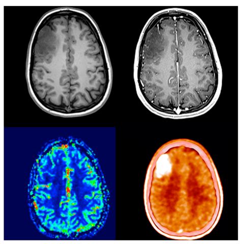
Medical Imaging Equipment

At its core, Ct Pet Imaging is a sophisticated fusion of two distinct imaging technologies. To appreciate how this works, it is important to distinguish the unique contributions of both components:

  • PET (Positron Emission Tomography): This functional scan uses a small amount of radioactive tracer to highlight metabolic activity in cells. It is particularly adept at identifying areas with high glucose consumption, which is a hallmark of cancerous tissues.
  • CT (Computed Tomography): This structural scan uses X-rays to create detailed, cross-sectional images of the body’s anatomy, bones, and organs.

When these two scans are fused into a single image, the result is a high-definition map that shows exactly where a metabolic abnormality is located in relation to the surrounding anatomy. This eliminates the guesswork often associated with viewing functional and structural data separately.

Primary Clinical Applications

The diagnostic utility of Ct Pet Imaging is expansive, spanning several medical specialties. It is most frequently utilized in oncology, though its reach extends into cardiology and neurology as well.

Oncology and Cancer Staging

In cancer care, this imaging technique is the gold standard for staging disease. It helps doctors determine if a tumor has metastasized or spread to lymph nodes or distant organs. Because it identifies metabolic changes before structural changes occur, it can catch recurrences long before traditional imaging might detect them.

Neurological Assessments

Neurologists rely on this imaging to evaluate brain function in patients with suspected neurodegenerative disorders. It can highlight patterns of reduced activity that correlate with conditions such as Alzheimer’s disease or assist in pinpointing the origin of seizures in patients with epilepsy.

Cardiology Applications

Beyond cancer, this technology is vital for assessing myocardial viability. It helps determine if damaged heart muscle—often following a heart attack—is still living tissue that might benefit from interventions like bypass surgery or stenting.

Comparing Diagnostic Technologies

To help you better understand how Ct Pet Imaging fits into the diagnostic landscape, we have compiled a comparison table below highlighting the strengths of different common imaging modalities.

Imaging Modality Primary Focus Key Advantage
Ct Pet Imaging Anatomy & Metabolism Unmatched diagnostic precision
Standard CT Anatomy Only Rapid assessment of organ structure
MRI Soft Tissue Excellent detail without radiation

What to Expect During the Procedure

Patient undergoing a medical scan

Preparing for a scan involving Ct Pet Imaging requires careful adherence to medical instructions to ensure the highest quality results. Generally, the process follows these standard steps:

  1. Fasting: Patients are typically required to avoid eating for several hours before the exam to keep blood glucose levels stable.
  2. Tracer Injection: A small amount of radioactive tracer is administered intravenously. You will need to wait for about an hour for the substance to be absorbed by your body.
  3. The Scan: During the imaging, you will lie on a table that moves through a donut-shaped scanner. It is crucial to remain as still as possible to prevent blurring of the final images.
  4. Post-Procedure: Once the scan is complete, you are usually encouraged to drink plenty of fluids to help flush the radioactive tracer from your system.

💡 Note: Always inform your healthcare provider about any allergies, history of kidney issues, or if you suspect you might be pregnant, as these factors can influence the preparation protocols.

Benefits and Safety Considerations

The primary benefit of choosing Ct Pet Imaging is its superior accuracy, which often leads to a more targeted treatment plan and potentially better clinical outcomes. By avoiding unnecessary biopsies or explorative surgeries, patients can save time and reduce recovery periods. Furthermore, the information gleaned from these images allows doctors to adjust treatment protocols in real-time, switching to more effective therapies if the current regimen is not yielding the desired metabolic response.

Regarding safety, while the procedure involves exposure to ionizing radiation, the doses are strictly regulated and monitored. Modern equipment is designed to produce the highest diagnostic quality while keeping radiation exposure to the minimum level necessary to achieve clear results. For the vast majority of patients, the diagnostic benefits far outweigh the minimal risks associated with radiation exposure.

Technological Advancements in the Field

The field of Ct Pet Imaging is evolving rapidly. Manufacturers are constantly integrating artificial intelligence (AI) into the software that processes the data. AI algorithms are now capable of filtering out noise in the images, sharpening the edges of tissues, and allowing for shorter scan times. These advancements mean that the patient experience is becoming more comfortable, with less time spent inside the machine and faster turnaround times for reports. As hardware gets more sensitive, the amount of radioactive tracer required for the scan is also decreasing, further improving the safety profile of the procedure.

Closing Perspectives

The integration of structural and functional data provided by this imaging modality has fundamentally changed the landscape of modern medicine. By offering a comprehensive look at both the anatomy and the underlying biology of a condition, it provides a level of insight that was previously unattainable. Whether it is confirming a diagnosis, evaluating the extent of a disease, or assessing the impact of a recent treatment, this technology remains an indispensable asset for medical professionals. As diagnostic standards continue to rise, the role of such precise imaging will only grow, paving the way for more successful interventions and, ultimately, improved patient health outcomes across the globe.

Related Terms:

  • pet scan scheduling near me
  • pet scan facility near me
  • private pet scan near me
  • pet scan facilities near me
  • pet scan center near me
  • pet scan providers near me