Rp

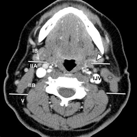
Ct Scan Of Neck

Ct Scan Of Neck

A CT scan of neck, often referred to as computed tomography, is a sophisticated diagnostic imaging procedure that utilizes X-rays combined with computer processing to create detailed, cross-sectional images of the structures within your neck. Whether your physician is investigating a persistent lump, evaluating unexplained pain, or monitoring a known condition, this imaging tool provides a level of clarity that standard X-rays cannot match. By capturing slices of the neck’s anatomy—including the thyroid gland, lymph nodes, blood vessels, and spinal structures—doctors can pinpoint abnormalities with remarkable precision, making it an essential component in modern diagnostic medicine.

Understanding Why a CT Scan of Neck Is Performed

Medical professionals order a CT scan of neck for a wide variety of reasons. Because the neck is a complex area housing vital pathways for breathing, swallowing, and blood flow to the brain, it is crucial to have accurate diagnostic data. This scan is frequently used to evaluate issues that require detailed visualization beyond what a physical examination can reveal.

Common clinical indications for this imaging procedure include:

  • Unexplained Lumps or Swelling: Identifying the cause of enlarged lymph nodes, thyroid nodules, or other masses.
  • Injury Assessment: Evaluating trauma, such as fractures or soft tissue damage resulting from an accident.
  • Infection Detection: Locating deep-seated abscesses or infections within the soft tissues or spaces of the neck.
  • Pre-surgical Planning: Providing surgeons with a detailed map before complex neck surgeries.
  • Tumor Staging: Assessing the size, location, and potential spread of cancers within the head and neck region.
  • Vascular Evaluation: Checking for narrowing or blockages in the major blood vessels leading to the brain.

How the Procedure Works

The technology behind a CT scan of neck is fascinating. The patient lies on a motorized table that slides into a large, doughnut-shaped scanner. As you move through the scanner, an X-ray tube rotates around you, sending thin beams of radiation through your body. Detectors on the opposite side of the scanner record these beams, and the computer processes this information to create detailed, 3D-like images of the internal structures.

In many cases, the radiologist may decide that a contrast dye is necessary to enhance the visibility of specific tissues, blood vessels, or abnormalities. This contrast material, usually iodine-based, is typically injected into an intravenous (IV) line in your arm before the scan begins.

Aspect Details
Procedure Duration Typically 10 to 30 minutes.
Contrast Usage Often used to highlight blood vessels and soft tissues.
Patient Preparation Fasting may be required if contrast is used.
Comfort Level Painless, though the scanner may be noisy.

⚠️ Note: If you have a known allergy to iodine or contrast dye, or if you have pre-existing kidney disease, it is imperative that you inform your medical team well before the scheduled CT scan of neck to ensure proper precautions are taken.

Preparing for Your CT Scan

Preparation is key to ensuring a smooth experience and obtaining high-quality images. While the staff at the imaging facility will provide you with specific instructions, some general guidelines usually apply to most patients.

  • Medication Review: Provide a complete list of all medications, vitamins, and supplements you are currently taking.
  • Dietary Restrictions: You may be asked to refrain from eating or drinking for several hours before the exam, particularly if contrast dye will be administered.
  • Clothing: Wear comfortable, loose-fitting clothing. You may be asked to change into a hospital gown to ensure no metal objects, such as zippers or snaps, interfere with the image quality.
  • Jewelry and Accessories: Remove any necklaces, earrings, or piercings in the neck area, as these can cause "artifacts" or streaks on the images, potentially obscuring important findings.

Safety and Risks Involved

While a CT scan of neck is a highly effective diagnostic tool, patients often have questions regarding the safety of the radiation involved. Modern CT scanners are designed to use the lowest amount of radiation possible to achieve the required diagnostic detail. The benefit of identifying a serious condition early almost always outweighs the very small risk associated with the radiation exposure.

However, there are specific considerations regarding contrast agents. Some patients may experience a mild, temporary reaction to the contrast dye, such as itching, nausea, or a metallic taste in the mouth. Severe allergic reactions are rare, but imaging centers are fully equipped to manage such situations immediately. If you are pregnant or suspect you might be, notify your doctor immediately, as alternative imaging methods might be preferred to avoid fetal radiation exposure.

💡 Note: Always follow your radiologist’s specific post-scan instructions, especially concerning hydration, which helps your body clear the contrast dye from your system more efficiently.

What to Expect After the Scan

Once the scan is complete, you can typically return to your normal daily activities immediately. If you received contrast dye, you will be encouraged to drink plenty of water to help flush the material through your kidneys. The actual images will be analyzed by a radiologist—a doctor specialized in interpreting diagnostic scans. This specialist will write a detailed report and send it to your referring physician, who will then discuss the findings and next steps with you during a follow-up appointment.

The time it takes to get results can vary depending on the facility and the urgency of the situation. Your doctor will use the results from the CT scan of neck to create an appropriate treatment plan, which might involve medication, further diagnostic testing, or specialized intervention, depending on what the images reveal. This diagnostic bridge is vital for ensuring accurate and timely healthcare management.

Ultimately, this imaging technique serves as a foundational tool in modern medicine for visual diagnostics. By providing a clear, detailed map of the complex anatomy within your neck, it empowers your healthcare providers to make informed, evidence-based decisions about your care. From identifying the origin of mysterious swellings to assessing the impact of structural injuries, the information gained from this scan is often the key to unlocking the correct diagnosis. Always maintain open communication with your medical team regarding any concerns you have, and remember that being prepared and informed is the best way to navigate your healthcare journey effectively.

Related Terms:

  • ct scan of throat
  • ct scan of neck cost
  • neck ct scan procedure
  • ct scan for neck pain
  • ct scan neck abnormalities
  • neck ct scan without contrast