Cleve

Cyst In Mouth

Cyst In Mouth

Discovering a bump, lump, or fluid-filled sac inside your oral cavity can be a cause for immediate concern. While most people immediately jump to worst-case scenarios, a cyst in mouth is a relatively common occurrence that often stems from benign conditions. These lesions can appear on your lips, tongue, gums, or the inside of your cheeks. Understanding what they are, why they form, and how they are treated is essential for maintaining good oral hygiene and peace of mind. Whether you are dealing with a recurring mucocele or a deeper odontogenic cyst, knowing when to seek professional help is the most important step you can take for your health.

What Exactly is a Cyst in Mouth?

In medical terms, a cyst in mouth is a closed sac or capsule-like structure that is typically filled with fluid, semi-solid material, or gas. Unlike a tumor, which is a solid mass of tissue, a cyst is essentially a localized “bubble” that has formed within the soft tissues or sometimes within the bone of the jaw. They can range in size from a tiny pinhead to a significant growth that interferes with eating or speaking.

These structures often develop as a result of blocked glands, irritation, or developmental issues during the growth of your teeth and jaw. Because they are rarely cancerous, they are often manageable, but they should never be ignored, as they can become infected or cause structural damage if left to grow over long periods.

Common Types of Oral Cysts

The mouth is a complex environment, and different types of cysts can develop depending on the location and the cause. Identifying the type is key to effective treatment. Below are the most frequent types found in clinical practice:

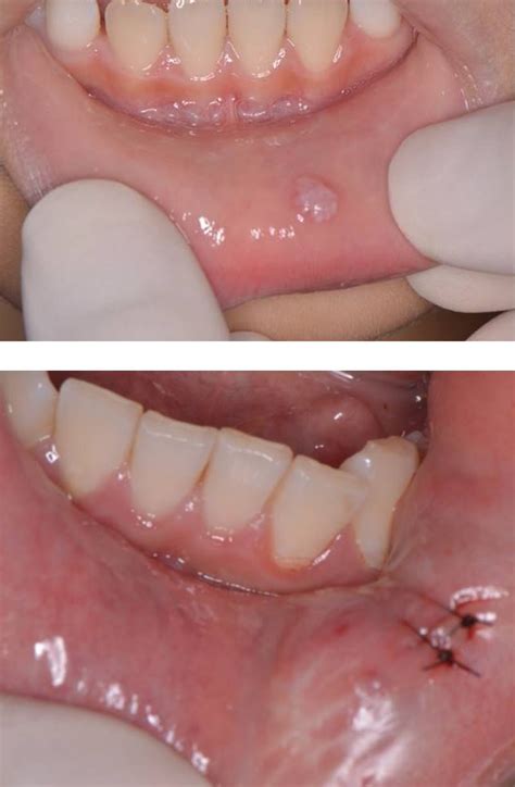
  • Mucocele: Often appearing on the lower lip, these are caused by trauma to the minor salivary glands. They appear as small, painless, bluish, or clear blisters.
  • Eruption Cyst: Frequently seen in children, these form over a tooth that is about to erupt through the gums. They often look like a bluish-purple bump.
  • Gingival Cyst: These occur in the gum tissue and are usually small, firm, or fluid-filled swellings that develop near the roots of the teeth.
  • Odontogenic Cyst: These develop within the jawbone near the roots of teeth, often as a result of inflammation from a deep cavity or a previous dental trauma.
  • Dermoid Cyst: Rarer and developmental in nature, these can contain hair follicles or sweat glands and are usually found on the floor of the mouth.

Comparison of Common Oral Lesions

Type of Cyst Typical Location Common Appearance
Mucocele Inner Lower Lip Bluish, translucent, dome-shaped
Eruption Cyst Gum tissue over erupting tooth Blue or purple, soft bulge
Gingival Cyst Gum line/interdental papilla Small, flesh-colored or white nodule
Odontogenic Cyst Inside the jawbone Often invisible; detected by X-ray

What Causes a Cyst to Develop?

Understanding the root cause of a cyst in mouth can help you prevent recurrence. While some are purely developmental, others are triggered by external factors:

  • Trauma: Frequently biting your lip, cheek, or tongue can damage the tiny salivary ducts, causing fluid to back up and form a mucocele.
  • Poor Oral Hygiene: Bacterial infections resulting from tooth decay or gum disease can trigger the body’s inflammatory response, leading to cysts in the jawbone.
  • Blocked Salivary Glands: Sometimes, debris or small calcifications (salivary stones) block the flow of saliva, creating a pressure buildup.
  • Genetics and Development: Some cysts form during the embryonic stage when tissues fail to fuse together correctly.

When to See a Dentist or Oral Surgeon

While many small bumps resolve on their own, persistent or painful lesions require professional intervention. You should schedule an appointment with a dental professional if you notice the following:

  • The cyst does not shrink or disappear after two weeks.
  • You experience persistent pain, bleeding, or difficulty swallowing.
  • The lump grows rapidly in size.
  • You notice signs of infection, such as pus, fever, or extreme redness/warmth.
  • The bump interferes with your ability to wear dentures or chew food.

⚠️ Note: Never attempt to "pop" or drain a cyst in your mouth yourself. This can introduce oral bacteria into the tissue, leading to a severe infection or abscess that is far more difficult to treat than the original cyst.

Diagnostic and Treatment Options

Once you visit a professional, they will typically perform a visual examination. For deeper cysts, they may request a panoramic X-ray or a CT scan to determine the size and depth of the lesion. If the cyst appears suspicious, a biopsy may be performed to rule out malignancy.

Treatment usually involves:

  • Observation: If the cyst is small and asymptomatic, the dentist may suggest a “watch and wait” approach to see if it resolves spontaneously.
  • Excision: A surgical procedure to remove the entire cyst sac, ensuring that it does not return.
  • Marsupialization: For larger cysts, this procedure involves creating a pouch that allows the cyst to drain and heal from the inside out.
  • Root Canal Therapy: If the cyst is related to an infected tooth root, saving the tooth with a root canal is often the first step to eliminating the cyst.

💡 Note: Maintaining optimal oral health—including daily brushing and flossing—is your best defense against secondary infections that can exacerbate or complicate existing oral cysts.

Prevention and Oral Health Management

While you cannot prevent every possible occurrence of a cyst, you can certainly minimize your risk. Maintaining a healthy mouth creates an environment where inflammation is kept at a minimum. Regularly visiting your dentist for professional cleanings ensures that any minor issues, such as impacted teeth or early-stage decay, are addressed before they have the opportunity to transform into a more complex condition like an odontogenic cyst. Furthermore, be mindful of habits that cause trauma to the mouth, such as aggressive biting or chewing on foreign objects, which can damage delicate duct structures.

Managing oral health is a lifelong process, and identifying a cyst in mouth is just one facet of ensuring your dental wellbeing. By staying informed about the various types of cysts, their triggers, and the professional treatment pathways available, you can respond effectively should you find a bump. Remember that the majority of these lesions are benign and highly treatable. Prioritizing regular dental checkups, watching for changes in your oral tissue, and seeking timely professional advice remain the gold standard for maintaining a healthy and comfortable mouth.

Related Terms:

  • cyst in mouth symptoms
  • cyst in mouth lip
  • cyst in mouth gums treatment
  • cyst in mouth gum
  • mucous cyst in mouth pictures
  • cyst in mouth cheek