Rp

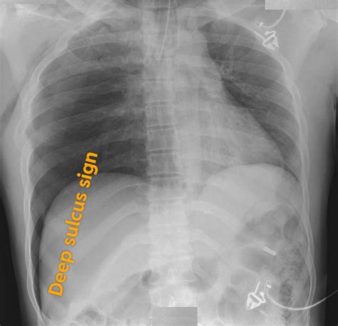
Deep Sulcus Sign

Deep Sulcus Sign

In the high-stakes environment of emergency medicine and diagnostic radiology, identifying subtle signs of pathology can mean the difference between life and death. One such critical indicator often encountered during the evaluation of portable chest radiographs is the Deep Sulcus Sign. This radiologic finding is a key marker for a pneumothorax—a condition where air leaks into the space between the lung and the chest wall—specifically when the patient is in a supine position. Because supine patients cannot have air rise to the apex of the lung as it would in an upright individual, the air instead collects anteriorly and inferiorly, creating a distinct visual marker that clinicians must be trained to recognize instantly.

Understanding the Deep Sulcus Sign

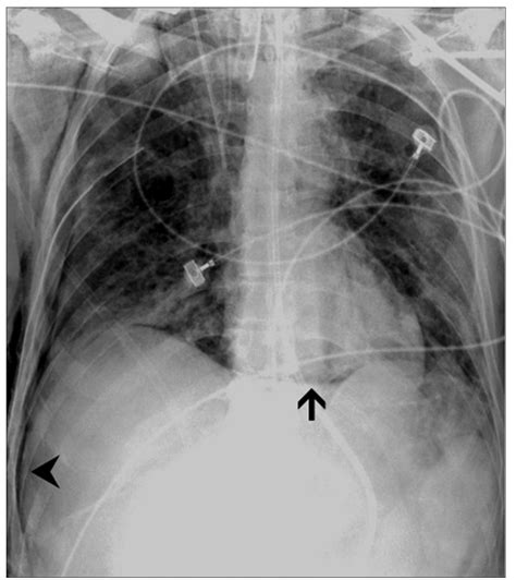
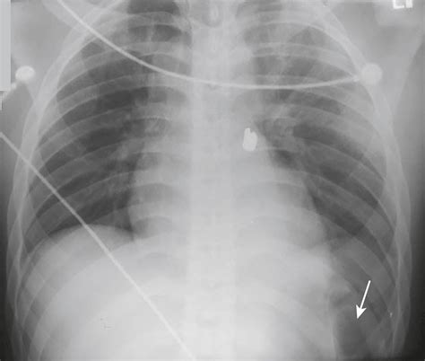
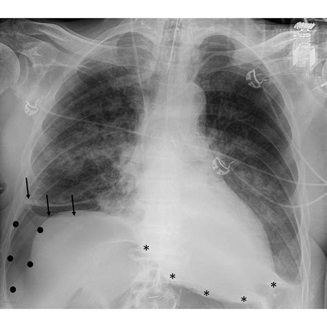
The Deep Sulcus Sign is characterized by an abnormally deep and lucent (dark) costophrenic angle on a supine chest X-ray. Under normal circumstances, the costophrenic angle—the sharp point where the diaphragm meets the ribs—should be relatively shallow. When a pneumothorax occurs in a supine patient, the free air tracks to the most non-dependent part of the pleural space, which, in this position, is the anterior and lateral costophrenic sulcus.

This accumulation of air causes the costophrenic angle to appear hyperlucent and deeper than usual, often extending further inferiorly than the contralateral side. Recognizing this sign is paramount because, in supine radiography, standard signs of pneumothorax—such as the visualization of a visceral pleural line—are frequently absent or obscured, leading to a high rate of missed diagnoses.

Clinical Significance in Emergency Settings

The clinical utility of identifying the Deep Sulcus Sign cannot be overstated, particularly in trauma centers and intensive care units (ICUs). Patients undergoing portable chest imaging are often critically ill, immobilized, or suffering from polytrauma, making upright imaging impossible. In these scenarios, the clinician relies almost entirely on the supine film.

A missed pneumothorax can rapidly progress into a tension pneumothorax, a life-threatening medical emergency. Tension pneumothorax occurs when the trapped air creates increasing pressure, causing the mediastinum to shift, compressing the heart and major blood vessels, and leading to obstructive shock. By detecting the Deep Sulcus Sign early, medical teams can intervene with needle decompression or chest tube placement before the patient’s hemodynamic stability deteriorates.

Key Indicators for Suspicion

Clinicians should maintain a high index of suspicion for pneumothorax in patients who present with:

  • Blunt or penetrating chest trauma.
  • Sudden onset of dyspnea or hypoxia.
  • Asymmetrical breath sounds on auscultation.
  • Recent invasive procedures, such as central venous catheter placement or positive-pressure ventilation.

Radiographic Comparison: Normal vs. Deep Sulcus Sign

Distinguishing between a normal costophrenic angle and the Deep Sulcus Sign requires a keen eye for subtle asymmetries. The following table highlights the primary differences observed on imaging.

Feature Normal Supine X-Ray Deep Sulcus Sign
Costophrenic Angle Sharp, acute, and symmetrical. Abnormally deep and hyperlucent.
Diaphragm Margin Clearly defined and continuous. Diaphragm appears pushed down; anterior margin is sharp.
Lung Fields Uniform vascular markings to the edge. Presence of a hyperlucent area at the base.
Mediastinal Shift Midline position. Possible shift if tension is present.

⚠️ Note: Always compare the suspicious area with the contralateral side. Asymmetry is often the most reliable indicator when a baseline study is unavailable for comparison.

Diagnostic Challenges and Limitations

While the Deep Sulcus Sign is highly specific for pneumothorax, it is not infallible. Radiologists and emergency physicians must be aware of "mimics" that can simulate the appearance of increased lucency. For instance, overlying skin folds, patient rotation during the X-ray, or differences in soft tissue thickness can sometimes lead to diagnostic errors. Furthermore, the sensitivity of supine radiographs for pneumothorax is generally lower than that of upright films or CT scans.

If the Deep Sulcus Sign is suspected but the patient's condition is stable, a bedside ultrasound is often the gold standard for confirmation. A focused assessment with sonography for trauma (FAST) exam, specifically looking for the "lung point" or the absence of "lung sliding," can confirm the diagnosis with significantly higher sensitivity than portable radiography.

Procedural Workflow for Suspected Cases

When a physician notices a potential Deep Sulcus Sign, the following steps are generally recommended to ensure patient safety:

  • Immediate Clinical Assessment: Check the patient's vitals, oxygen saturation, and respiratory effort.
  • Request Confirmation: If imaging is ambiguous, immediately perform point-of-care ultrasound (POCUS).
  • Review Prior Imaging: Compare the current film with previous radiographs to determine if the findings are new or chronic.
  • Prepare for Intervention: If tension pneumothorax is suspected, do not delay for further imaging; treat based on clinical presentation.

💡 Note: Do not rely solely on the Deep Sulcus Sign in cases of extreme hemodynamic instability. Clinical diagnosis remains superior to radiographic evidence in life-threatening scenarios.

The Role of Technological Advances

The integration of Artificial Intelligence (AI) in radiology is currently transforming how we identify signs like the Deep Sulcus Sign. AI algorithms are now being trained to detect subtle lucencies in the pleural space that may escape the human eye, especially during long shifts when fatigue might lead to oversight. These tools serve as a "second pair of eyes," flagging suspicious films for urgent radiologist review. However, these tools should be viewed as an adjunct, not a replacement for clinical intuition and fundamental radiologic training.

Educational initiatives focus on training residents to perform a systematic review of the entire image, starting from the periphery inward. This disciplined approach ensures that even if the primary clinical question is related to catheter placement or pneumonia, a secondary scan for signs of pneumothorax is always conducted as a matter of routine practice.

Mastering the identification of the Deep Sulcus Sign is a fundamental competency for any clinician working in acute care. Because supine chest X-rays remain the most common form of imaging for critically ill patients, this sign represents a critical window into the thoracic cavity. By fostering a deep understanding of pleural dynamics and maintaining a consistent, systematic approach to interpreting portable images, healthcare providers can drastically reduce the time to diagnosis for pneumothorax. While diagnostic technologies and ultrasound continue to evolve, the ability to read a simple X-ray with precision remains an irreplaceable skill in the modern medical landscape. Continued vigilance and ongoing training regarding these subtle radiographic markers will undoubtedly lead to improved patient outcomes and more effective interventions in the emergency department.

Related Terms:

  • deep sulcus sign knee
  • deep sulcus sign radiopaedia
  • deep sulcus sign radiology
  • deep sulcus
  • deep sulcus sign cxr
  • deep sulcus sign acl