Cleve

Dermoid Cyst Ovary

Dermoid Cyst Ovary

Discovering that you have a dermoid cyst ovary can be an alarming experience, often filled with questions and uncertainty. While the term "cyst" can sound frightening, understanding what a dermoid cyst actually is can help alleviate unnecessary anxiety. Medically known as a mature cystic teratoma, this type of growth is a common, usually benign ovarian cyst that develops from germ cells—the cells responsible for producing eggs in the ovary. Unlike functional cysts that come and go with your menstrual cycle, a dermoid cyst is formed from embryonic tissue, which is why it can contain diverse structures like hair, teeth, skin, and fat.

What Exactly Is a Dermoid Cyst of the Ovary?

A dermoid cyst ovary is a unique type of growth because of its biological composition. Because they arise from germ cells, these cysts possess the potential to differentiate into various tissue types found throughout the human body. As a result, when a pathologist examines these cysts, they may find complex structures that seem out of place in an ovary.

Most dermoid cysts are discovered incidentally during routine pelvic exams or imaging tests for other concerns. They are generally slow-growing and, in many cases, do not cause any symptoms until they reach a significant size or cause a complication, such as twisting, which is known as ovarian torsion.

Common Symptoms and Indicators

In many instances, a dermoid cyst does not cause any noticeable symptoms, especially when they are small. However, as they grow, they may begin to press against surrounding structures or cause issues within the ovary itself. Being aware of potential warning signs is crucial for early detection.

Common symptoms associated with a dermoid cyst ovary include:

  • Pelvic pain: This may be a dull ache or sharp, sudden pain, particularly if the cyst is large.
  • Abdominal pressure: A feeling of fullness, bloating, or heavy sensation in the lower abdomen.
  • Increased pelvic discomfort during intercourse: Known as dyspareunia.
  • Sudden, severe pain: If the ovary twists (torsion), it causes intense, sharp pain, which is a medical emergency.
  • Changes in bowel or bladder habits: If the cyst is large enough to press on the rectum or bladder, it may cause frequency in urination or difficulty passing stools.

⚠️ Note: If you experience sudden, severe, or debilitating pelvic pain, seek emergency medical care immediately, as this could indicate ovarian torsion, which requires urgent surgical intervention to save the ovary.

Diagnostic Procedures

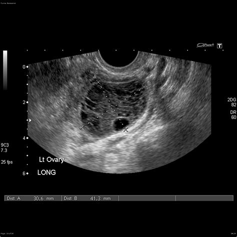
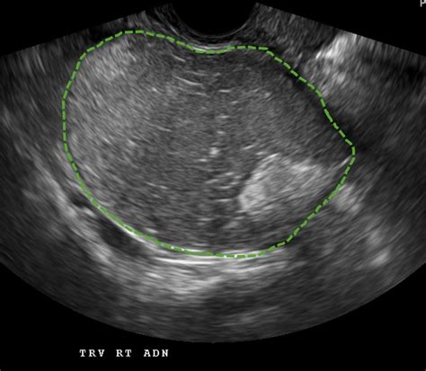
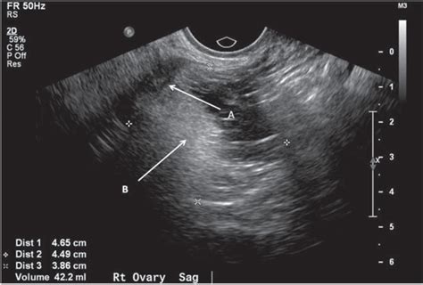
When a physician suspects a dermoid cyst ovary, they will utilize specific diagnostic tools to confirm the presence, size, and location of the mass. Imaging is the gold standard for diagnosis because the specific contents of these cysts—such as fat, calcium (teeth/bone), and fluid—have distinct appearances on scans.

Diagnostic Tool Purpose
Pelvic Ultrasound The primary tool to visualize the cyst and determine if it is solid or fluid-filled.
CT Scan Provides detailed images to assess the composition of the cyst and identify calcifications.
MRI Used to get a clear picture of soft tissue and differentiate the cyst from other types of ovarian masses.
Blood Tests (Tumor Markers) May be performed to rule out malignancy, though dermoid cysts are rarely cancerous.

Treatment Options for Dermoid Cysts

Treatment for a dermoid cyst ovary is highly individualized and depends on the size of the cyst, the presence of symptoms, the age of the patient, and the desire for future fertility. Because these cysts do not disappear on their own, observation or surgical removal are typically the two main paths.

Active Surveillance (Watchful Waiting)

If the cyst is small, asymptomatic, and does not appear to be growing, your healthcare provider may suggest a “watch and wait” approach. This involves periodic pelvic ultrasounds to monitor the cyst for any changes in size or appearance.

Surgical Intervention

Surgery is recommended if the cyst is large, causing pain, growing rapidly, or if there is concern about potential complications like torsion or rupture. The goal is to remove the cyst while preserving the surrounding healthy ovarian tissue, especially in women of reproductive age.

  • Laparoscopy: This is a minimally invasive approach using small incisions. It is often the preferred method, resulting in faster recovery times and less postoperative pain.
  • Laparotomy: A larger incision is made in the abdomen. This is usually reserved for very large cysts or in cases where there is a suspicion of malignancy.
  • Cystectomy: The removal of the cyst alone, allowing the ovary to remain intact.
  • Oophorectomy: In rare cases, if the cyst has severely damaged the ovary, the entire ovary may need to be removed.

Complications and Risks

While most dermoid cysts are benign, they carry potential risks if left untreated for a long period. The most significant risk is ovarian torsion. Because dermoid cysts are often heavy and unbalanced, they can cause the ovary to twist on its ligamentous attachment. This twisting cuts off the blood supply to the ovary, leading to intense pain and potentially the death of the ovarian tissue.

Another, albeit rare, complication is rupture. While infrequent, if a cyst ruptures, its contents can spill into the abdominal cavity, potentially causing severe inflammation and irritation known as chemical peritonitis.

💡 Note: While rare, some dermoid cysts can contain malignant tissue. Following your doctor's recommendation for follow-up imaging or surgical removal is vital for your long-term health and peace of mind.

Final Thoughts

Understanding the nature of a dermoid cyst ovary is the first step toward managing your health effectively. While the diagnosis may feel overwhelming, remember that these cysts are typically benign and highly treatable. By working closely with your gynecologist or a specialist, you can monitor the condition appropriately or opt for surgical removal if necessary to prevent complications. Early detection through regular pelvic exams and prompt evaluation of any new or persistent pelvic symptoms remain the best strategies for maintaining your reproductive health and overall well-being. Should you have any concerns regarding potential symptoms, scheduling a consultation with a healthcare professional will provide the clarity and guidance needed to navigate your specific situation.

Related Terms:

  • dermoid cyst icd 10
  • dermoid cyst ovary icd 10
  • ovarian cysts when to worry
  • dermoid cyst ovary pathology outlines
  • dermoid cyst ovary nhs
  • dermoid cyst ovary mri