Rp

Developmental Venous Anomaly

Developmental Venous Anomaly

The discovery of an incidental brain finding can be an unsettling experience for anyone receiving a radiology report. Among the various vascular anomalies identified during routine imaging, a Developmental Venous Anomaly (DVA), formerly known as a venous angioma, is one of the most common. It is vital to understand that despite the clinical-sounding name, a DVA is generally considered a benign congenital variant of normal brain anatomy. It represents a persistent embryonic drainage pathway rather than a true neoplasm or a dangerous malformation that requires immediate surgical intervention.

Understanding What a Developmental Venous Anomaly Is

Medical imaging of the brain

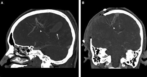
A Developmental Venous Anomaly is essentially a collection of small, radially arranged medullary veins that converge into a single, enlarged central draining vein. This pattern is often referred to in radiological literature as a “caput medusae,” resembling the head of Medusa from Greek mythology. These structures exist to provide venous drainage for healthy brain tissue in regions where the normal deep or superficial venous systems may not have formed correctly during fetal development.

Because these anomalies are congenital, they are present from birth. They typically do not grow or change over time, which distinguishes them from progressive vascular lesions. Most individuals live their entire lives without ever knowing they have a DVA, as they are usually asymptomatic and are only discovered when a patient undergoes an MRI or CT scan for unrelated symptoms, such as headaches or minor trauma.

Clinical Significance and Symptoms

In the vast majority of cases, a Developmental Venous Anomaly is clinically insignificant. Research indicates that these anomalies function as a compensatory mechanism, ensuring that blood is drained properly from the surrounding brain parenchyma. Because they are structurally stable, they are not typically associated with the high-pressure shunting seen in more aggressive vascular malformations like Arteriovenous Malformations (AVMs).

However, patients often search for symptoms that might be attributed to their DVA. While the anomaly itself is rarely the primary cause of neurological deficits, doctors may investigate them if a patient presents with:

  • Seizures: While rare, there is a low-level statistical association between DVAs and epilepsy, though the DVA is often considered an incidental bystander.
  • Headaches: These are rarely caused by the DVA itself, though they may be the reason the patient received the imaging in the first place.
  • Incidental discovery: The vast majority of cases are found during scans for unrelated medical concerns.

Differentiating DVA from Other Vascular Malformations

It is crucial for medical professionals to accurately identify a Developmental Venous Anomaly to avoid unnecessary treatments. The imaging characteristics of a DVA are distinct, and radiologists can typically differentiate them from more concerning lesions using contrast-enhanced MRI or MRA.

Feature Developmental Venous Anomaly (DVA) Arteriovenous Malformation (AVM)
Blood Flow Slow venous flow High-flow arterial-venous shunting
Clinical Risk Generally benign; very low hemorrhage risk Significant risk of hemorrhage
Treatment Conservative observation Often requires surgical or endovascular intervention
Brain Tissue Contains normal brain parenchyma between veins Abnormal vascular nidus

💡 Note: The presence of normal brain tissue between the radicles of a DVA is a key diagnostic feature that helps radiologists confirm the lesion is a benign anomaly rather than a pathological tumor or AVM.

Diagnostic Imaging Protocols

The standard for evaluating a Developmental Venous Anomaly is Magnetic Resonance Imaging (MRI). On T1-weighted images, the DVA may appear as a subtle enhancement, while on T2-weighted or susceptibility-weighted imaging (SWI), the enlarged draining vein becomes very prominent due to the deoxygenated blood flow.

When a DVA is detected, the following protocols are typically followed:

  • Review of prior scans: To confirm that the lesion has remained stable over time.
  • Contrast administration: Gadolinium is often used to visualize the “caput medusae” pattern clearly.
  • Correlation with symptoms: Ensuring that the location of the DVA matches any neurological symptoms the patient might be experiencing.

Management and Long-term Outlook

The most important takeaway for any patient diagnosed with a Developmental Venous Anomaly is that intervention is almost never required. Because these vessels provide essential drainage for the brain, attempting to remove, embolize, or “fix” the DVA can actually cause localized venous congestion or ischemic damage to the healthy brain tissue it serves.

Management usually consists of:

  • Routine Monitoring: In some cases, a follow-up scan may be ordered after a set interval to confirm the stability of the lesion.
  • Reassurance: Educating the patient that the DVA is an anatomical variant, not a disease.
  • Avoiding Invasive Procedures: Avoiding stereotactic radiosurgery or resection, which are reserved only for cases where the DVA is associated with medically intractable epilepsy or recurrent hemorrhage—scenarios that are exceptionally rare.

💡 Note: Always consult with a neurologist or neurosurgeon who specializes in vascular anomalies if you have concerns regarding your specific imaging results, as each case must be assessed in the context of your overall health history.

Final Perspectives

Understanding the nature of a Developmental Venous Anomaly helps shift the perspective from anxiety to clarity. As a stable, congenital feature of the cerebral venous system, it functions as a silent, specialized drainage system for the brain. Knowing that these structures are benign and generally do not require surgical intervention allows most individuals to go about their lives without fear of progression. Advances in modern neuroimaging have made it easier than ever for radiologists to confirm the diagnosis, providing peace of mind to patients who might otherwise worry about the implications of an incidental finding. By focusing on observation and avoiding unnecessary, risky interventions, the medical community continues to support the long-term health and well-being of those who carry these common, yet harmless, vascular variations.

Related Terms:

  • small developmental venous anomaly brain
  • developmental venous anomaly brain symptoms
  • right frontal developmental venous anomaly
  • developmental venous anomaly symptoms
  • right parietal developmental venous anomaly
  • incidental small developmental venous anomaly