Rp

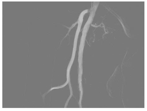
Digital Subtraction Angiography

Digital Subtraction Angiography

Medical imaging technology has revolutionized the way clinicians diagnose and treat complex vascular conditions, providing clarity where traditional methods often fall short. Among these advanced techniques, Digital Subtraction Angiography (DSA) stands out as the gold standard for visualizing blood vessels. By isolating blood vessels from surrounding structures—such as bones and soft tissues—DSA provides high-resolution images that are essential for planning delicate surgical interventions and diagnosing vascular abnormalities with pinpoint accuracy.

Understanding Digital Subtraction Angiography

At its core, Digital Subtraction Angiography is a fluoroscopic technique that uses a computer-aided process to subtract the background image from a subsequent image taken after the injection of a contrast agent. The process begins with a "mask" image, which captures the anatomy of the target area without any contrast. Once the radiopaque contrast dye is injected into the bloodstream, a second set of images is captured. The computer then mathematically subtracts the mask from the contrast-filled images, leaving only the opacified vessels visible on the screen.

This process effectively removes visual "noise," allowing interventional radiologists to see even the smallest branches of an artery. Because of its superior contrast sensitivity and spatial resolution, it remains the preferred method for assessing conditions like aneurysms, stenosis, and arteriovenous malformations.

Clinical Indications and Diagnostic Utility

The utility of Digital Subtraction Angiography spans various medical specialties, particularly neurology, cardiology, and vascular surgery. Its ability to provide real-time feedback during procedures makes it indispensable for minimally invasive treatments.

  • Cerebrovascular Imaging: Used extensively to map the blood supply to the brain, helping detect aneurysms, carotid artery stenosis, or ischemic strokes.
  • Peripheral Vascular Disease: Assists in identifying blockages in the legs or abdomen that may require angioplasty or stent placement.
  • Tumor Embolization: Helps surgeons navigate to the precise blood supply feeding a tumor, allowing for targeted treatment.
  • Vascular Mapping: Essential for pre-operative planning, ensuring surgeons understand the patient's unique vascular anatomy.

The following table outlines the comparative benefits of DSA against other imaging modalities:

Feature Digital Subtraction Angiography Computed Tomography (CTA) Magnetic Resonance (MRA)
Resolution Superior/Excellent Good Moderate
Invasive Yes (Catheter required) No No
Real-time Guidance Yes No No
Ionizing Radiation High Moderate None

The Procedure: What to Expect

The Digital Subtraction Angiography procedure is typically performed in a dedicated interventional suite. Patients are usually awake but may receive a mild sedative for comfort. The process follows a standardized clinical workflow:

  1. Preparation and Access: After local anesthesia is applied, a thin, flexible tube known as a catheter is inserted into a large blood vessel, usually the femoral artery in the groin or the radial artery in the wrist.
  2. Navigation: Using real-time fluoroscopic guidance, the physician carefully maneuvers the catheter to the specific area of the vascular system being studied.
  3. Contrast Injection and Imaging: A contrast medium is injected through the catheter while the digital imaging equipment captures a rapid sequence of X-ray images.
  4. Processing: The DSA software processes the data to create the "subtracted" images, highlighting the vasculature.
  5. Intervention: If a blockage or abnormality is found, the physician may perform an intervention, such as balloon angioplasty or stent deployment, immediately during the same session.

⚠️ Note: Patients should inform their medical team of any allergies to iodine-based contrast agents or pre-existing kidney conditions, as these may impact the safety and protocols of the procedure.

Benefits of Digital Subtraction Angiography

Why do physicians continue to choose Digital Subtraction Angiography despite the rise of non-invasive alternatives? The answer lies in its diagnostic precision and the capacity for therapeutic action. Unlike a simple scan, which only provides a static picture, DSA allows for "dynamic" assessment. Physicians can observe the flow of blood in real-time, identifying issues like turbulent flow or slow circulation that might be missed by static cross-sectional imaging.

Furthermore, because the procedure is often done by the same specialist performing the intervention, it streamlines the patient care journey. A patient can be diagnosed and treated in a single visit, significantly reducing the time spent in the hospital and accelerating the recovery process.

Safety and Considerations

While Digital Subtraction Angiography is highly effective, it is an invasive procedure that carries inherent risks, including bleeding at the puncture site, allergic reactions to the contrast dye, or risks related to arterial catheterization. These risks are minimized through the use of ultrasound-guided vascular access and rigorous post-procedural monitoring.

Radiation exposure is another critical consideration. Because DSA requires multiple X-ray images, physicians adhere strictly to the ALARA (As Low As Reasonably Achievable) principle. By using modern digital technology, the necessary radiation doses have been significantly lowered over the past decade without sacrificing the high quality of the diagnostic images.

💡 Note: Hydration is critical before and after the procedure to help the kidneys process the contrast material efficiently.

The landscape of Digital Subtraction Angiography continues to evolve with the integration of artificial intelligence and 3D reconstruction technologies. New systems are now capable of overlaying high-resolution DSA images onto live fluoroscopy, acting almost like a "GPS" for the surgeon. This 3D road-mapping technology reduces the amount of contrast dye required and improves the accuracy of placing complex endovascular devices.

As interventional techniques become more sophisticated, the role of high-fidelity imaging remains the cornerstone of modern vascular medicine. The transition toward hybrid operating rooms, where advanced DSA equipment is integrated directly into the surgical theater, further demonstrates the vital importance of this technology in saving lives and improving surgical outcomes.

In summary, Digital Subtraction Angiography remains a fundamental pillar of modern medical imaging. Its unparalleled ability to provide clear, real-time views of the vascular system makes it an essential tool for both the accurate diagnosis of complex diseases and the precise execution of life-saving interventions. By balancing clinical risks with significant therapeutic benefits, this technique continues to empower medical professionals to address vascular issues with a level of detail that was once impossible, ultimately improving the quality of care for patients across the globe.

Related Terms:

  • what is dsa medical term
  • digital subtraction angiography procedure
  • what is a dsa scan
  • digital subtraction angiography definition
  • how is dsa performed
  • digital subtraction angiography dsa