Rp

Distal Phalanx Fracture

Distal Phalanx Fracture

A distal phalanx fracture is one of the most common injuries encountered in emergency departments and orthopedic clinics. This type of break involves the bone located at the very tip of the finger or toe—the final segment that supports the nail bed and the fleshy fingertip. Because our hands are our primary tools for interacting with the world, sustaining an injury to the fingertip can be incredibly disruptive to daily activities. Whether caused by a crush injury, a sports mishap, or a simple household accident, understanding the symptoms, treatment options, and recovery timeline is essential for ensuring proper healing and restoring function to the digit.

Understanding the Distal Phalanx

The distal phalanx is the smallest bone in the finger, yet it plays a critical role in fine motor tasks, grip, and tactile sensation. Anatomically, this bone is closely associated with the nail matrix, the nail bed, and the delicate skin of the fingertip. When a distal phalanx fracture occurs, it often involves more than just the bone; it frequently impacts the surrounding soft tissues, leading to significant swelling, pain, and sometimes subungual hematoma (blood trapped under the nail).

These fractures are typically categorized based on the mechanism of injury and the nature of the break:

  • Tuft Fractures: These occur at the very tip of the finger, often resulting from a crush injury, such as slamming a finger in a door.
  • Shaft Fractures: These involve the mid-section of the distal phalanx and are often caused by direct impact.
  • Intra-articular Fractures: These breaks extend into the distal interphalangeal (DIP) joint, which can be more complex and potentially lead to long-term stiffness if not managed correctly.

Common Symptoms to Watch For

Recognizing the signs of a distal phalanx fracture early can help prevent complications such as infection or improper bone alignment. Symptoms often present immediately following an injury and may include:

  • Intense, throbbing pain at the fingertip.
  • Significant swelling and tenderness upon touch.
  • Bruising or discoloration under the fingernail.
  • Visible deformity or an unnatural angle of the fingertip.
  • Numbness or tingling if nerves have been compressed.

⚠️ Note: If you notice the skin turning pale or blue, or if you have an open wound with exposed bone, seek medical attention immediately, as these may indicate severe nerve damage or an open fracture requiring urgent surgical intervention.

Diagnosis and Medical Evaluation

When you visit a healthcare professional, the diagnostic process is usually straightforward. The physician will perform a physical examination to check for stability and nerve function. To confirm the diagnosis of a distal phalanx fracture, the doctor will order an X-ray. Radiographic imaging is crucial because it allows the medical team to see the exact location and pattern of the break.

Assessment Stage Purpose
Clinical Exam Checks for neurovascular integrity and joint stability.
X-ray Imaging Confirms the fracture site and determines if surgery is needed.
Hematoma Drainage Relieves pressure if there is blood under the fingernail.

Treatment Options for Distal Phalanx Fractures

The vast majority of distal phalanx fracture cases are managed conservatively, meaning they do not require surgery. Because the tip of the finger is relatively stable, the bone can often heal quite well with simple protection and immobilization.

Non-Surgical Management

For most tuft or shaft fractures, the primary goal is protection. This involves:

  • Splinting: A small aluminum or plastic splint is used to immobilize the fingertip, keeping it straight and protecting it from accidental bumps during the healing process.
  • Ice Therapy: Applying ice packs to the area for the first 48 hours helps manage inflammation and reduces the throbbing sensation.
  • Pain Management: Over-the-counter anti-inflammatory medications are generally effective in managing discomfort.

Surgical Intervention

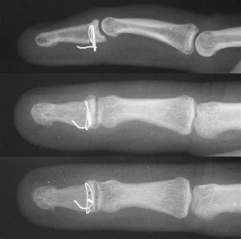
Surgery is typically reserved for complex, displaced, or intra-articular fractures. If the bone fragments are significantly separated or if the nail bed is severely damaged, an orthopedic surgeon may perform an internal fixation procedure using pins or screws to hold the bone in the correct anatomical position.

Recovery and Rehabilitation

Healing time for a distal phalanx fracture varies depending on the severity of the break. On average, most patients can expect to see significant improvement within 4 to 8 weeks. However, the fingertip may remain sensitive to cold or pressure for several months after the bone has fully knit together.

Once the splint is removed, your doctor may recommend gentle range-of-motion exercises to ensure that the DIP joint does not become stiff. Gradually returning to normal activity is key; avoid heavy lifting or high-impact activities with the injured finger until a healthcare provider gives you the green light.

💡 Note: Always keep your splint clean and dry. If you notice signs of infection, such as increased redness, warmth, or pus, contact your doctor immediately as this could indicate an infection of the bone or nail bed.

Preventing Future Finger Injuries

While accidents are sometimes unavoidable, there are ways to mitigate risks. Wearing proper protective gloves during sports, construction work, or heavy lifting can provide a cushion that may prevent a distal phalanx fracture. Additionally, maintaining good situational awareness when working with heavy doors or machinery is vital to protecting the digits.

Recovering from an injury to the hand requires patience and adherence to medical guidance. While the pain associated with a broken fingertip can be acute, the prognosis for a distal phalanx fracture is generally excellent. By seeking prompt diagnosis, following the recommended splinting protocol, and engaging in gentle rehabilitative exercises, most individuals regain full function and sensation in their affected finger. If you experience persistent pain or loss of motion long after your injury, consulting with a hand specialist can provide further insight into long-term management and physical therapy options to ensure the best possible outcome for your recovery journey.

Related Terms:

  • distal phalanx fracture splint
  • distal phalanges fracture
  • open distal phalanx fracture
  • distal phalanx fracture thumb
  • dorsal base distal phalanx fracture
  • distal phalanx fracture treatment