Rp

Diverticula Of The Urinary Bladder

Diverticula Of The Urinary Bladder

Understanding the complexities of the human urinary system is essential for recognizing when something might be amiss. Among the various conditions that can affect the bladder, Diverticula Of The Urinary Bladder represent a unique anatomical challenge. A bladder diverticulum is essentially an outpouching or a sac-like protrusion of the bladder wall through a weak point in the muscular layer. These pouches can be congenital, meaning they are present from birth, or acquired, often developing as a result of chronic bladder outlet obstruction. While many patients may remain asymptomatic, others experience recurring issues that necessitate medical intervention. Gaining a comprehensive understanding of what these diverticula are, how they manifest, and how they are managed is crucial for patients and caregivers alike.

Types and Causes of Bladder Diverticula

When discussing Diverticula Of The Urinary Bladder, it is important to categorize them based on their origin. The two primary types are congenital and acquired, each arising from different physiological circumstances.

  • Congenital Diverticula: These are typically solitary and occur in children. They are often the result of a developmental weakness in the bladder wall, specifically at the ureterovesical junction. They are frequently associated with other urinary tract anomalies.
  • Acquired Diverticula: These are much more common in adults, particularly in men. They are typically secondary to chronic bladder outlet obstruction (BOO). Conditions such as benign prostatic hyperplasia (BPH) or urethral strictures increase the pressure within the bladder, forcing the lining of the bladder to push through gaps in the weakened muscle fibers (detrusor muscle).

The distinction between these types is vital, as the treatment approach often depends on whether the obstruction—the root cause—is still present and needs to be addressed alongside the diverticulum itself.

Symptoms and Clinical Presentation

Many individuals living with Diverticula Of The Urinary Bladder may never experience symptoms, and the condition is often discovered incidentally during imaging for other medical issues. However, when symptoms do arise, they are typically linked to the fact that these pouches do not empty properly. Because the diverticulum lacks the muscular wall of the normal bladder, it cannot contract effectively to push urine out.

Common clinical indicators include:

  • Recurrent Urinary Tract Infections (UTIs): Stagnant urine remaining in the diverticulum acts as a breeding ground for bacteria.
  • Urinary Frequency and Urgency: The feeling of needing to urinate often, even shortly after emptying the bladder.
  • Post-micturition Dribbling: The sensation of needing to void again shortly after the initial attempt, caused by urine "draining" from the diverticulum back into the main bladder.
  • Hematuria: The presence of blood in the urine, which can result from stones or tumors forming within the diverticulum.
  • Bladder Stones: Due to urinary stasis, stones can easily form within the diverticular sac.

Diagnostic Approaches

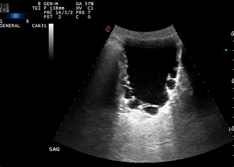
To confirm the presence of Diverticula Of The Urinary Bladder, healthcare professionals rely on a variety of imaging techniques. A thorough diagnostic process ensures that the physician can determine the size, position, and impact of the diverticulum on overall bladder function.

Diagnostic Tool Purpose
Cystography (VCUG) The gold standard; visualizes the bladder during filling and emptying.
Ultrasound Non-invasive; often used as a first-line assessment tool.
CT Urography Provides detailed cross-sectional images to check for surrounding structures.
Cystoscopy Allows direct visualization of the inside of the bladder using a camera.

💡 Note: A cystoscopy is often performed under sedation to allow the urologist to inspect the bladder lining for signs of inflammation, stones, or malignancy that may be hiding within the diverticular sac.

Management and Treatment Strategies

Treatment for Diverticula Of The Urinary Bladder is highly individualized. If the diverticulum is small and the patient is asymptomatic, a "watchful waiting" approach is usually sufficient. Regular monitoring ensures that the condition does not progress or cause new complications.

When intervention is required, the primary goal is to address the underlying cause, especially in cases of acquired diverticula. If there is a bladder outlet obstruction, relieving that obstruction (for instance, treating an enlarged prostate) may alleviate the symptoms caused by the diverticulum.

Surgical intervention, known as diverticulectomy, is indicated in the following scenarios:

  • Persistent or recurrent, severe urinary tract infections.
  • The presence of bladder stones within the diverticulum.
  • Concerns regarding malignancy (cancer) within the pouch.
  • Significant bladder outlet obstruction that is not improved by other means.
  • Symptoms that significantly impact the patient's quality of life.

The surgery can be performed via traditional open methods, laparoscopically, or even robotically, depending on the surgeon's expertise and the specific anatomical features of the diverticulum.

💡 Note: Post-operative care often involves the use of a catheter for a short period to allow the bladder tissue to heal securely after the diverticulum has been removed.

Long-term Outlook and Quality of Life

The prognosis for patients with Diverticula Of The Urinary Bladder is generally favorable, especially when the condition is identified early and managed appropriately. Most patients who undergo surgical correction experience significant relief from their symptoms, particularly the resolution of recurrent infections and improved bladder emptying. Even those who do not require surgery can maintain a healthy lifestyle by adhering to regular check-ups and following medical advice regarding fluid intake and voiding habits.

Living with this condition requires an ongoing partnership with a urology specialist. By staying informed about the nature of these diverticula and recognizing the early warning signs of complications, patients can take proactive steps toward maintaining urinary health. It is essential to remember that while the bladder wall has its limits, modern medical technology offers robust solutions to restore normal function and prevent long-term damage to the kidneys and the rest of the urinary tract.

In summary, while the presence of a bladder diverticulum may sound concerning, it is a manageable condition with well-established diagnostic and therapeutic pathways. Whether it requires simple observation or surgical correction, the medical community is well-equipped to handle the anatomical challenges presented by these structures. By prioritizing regular screening, addressing underlying obstructions, and seeking prompt treatment for symptoms like persistent infections, individuals can effectively manage their condition and protect their long-term urinary wellness.

Related Terms:

  • urinary bladder diverticulum treatment
  • urinary bladder diverticulum symptoms
  • large left urinary bladder diverticula
  • what is urinary bladder diverticulum
  • left sided bladder diverticulum
  • how to treat bladder diverticulum