Rp

Diverticulum On Bladder

Diverticulum On Bladder

A diverticulum on bladder is a condition where a small pouch or sac forms in the wall of the urinary bladder. These pouches can occur either due to structural weaknesses present from birth (congenital) or develop later in life (acquired) due to increased pressure within the bladder. While many people may live with a bladder diverticulum without experiencing any significant symptoms, others may face complications that require medical attention. Understanding the nature, causes, and treatment options for this condition is essential for managing urinary health effectively.

What Causes a Diverticulum on Bladder?

The development of a bladder diverticulum is generally categorized into two main types: congenital and acquired. Knowing the underlying cause helps urologists determine the most appropriate course of action.

  • Congenital Diverticula: These are present at birth and are often caused by a structural weakness in the bladder wall. They are frequently associated with other urinary tract abnormalities and are more commonly diagnosed in children.
  • Acquired Diverticula: These are much more common in adults and usually develop as a result of chronic bladder outlet obstruction. Conditions such as an enlarged prostate (Benign Prostatic Hyperplasia - BPH), urethral strictures, or chronic constipation can lead to high pressure within the bladder, forcing the bladder lining to herniate through weak spots in the muscular wall.

When the bladder consistently works harder to push urine out against an obstruction, the muscular wall may thicken and eventually develop these outpouchings. Over time, these pouches can become large and act as reservoirs for stagnant urine.

Common Symptoms and Clinical Presentation

Many patients with a diverticulum on bladder may be asymptomatic, often discovering the condition incidentally during imaging for other issues. However, when symptoms do occur, they are typically related to the complications of urine stasis within the diverticulum.

Key symptoms to watch for include:

  • Recurrent Urinary Tract Infections (UTIs): Stagnant urine in the pouch acts as a breeding ground for bacteria.
  • Difficulty Urinating: A sensation that the bladder is not fully emptying, or the need to urinate a second time shortly after the first (double voiding).
  • Hematuria: Blood in the urine, which may result from stones forming in the diverticulum or inflammation of the bladder lining.
  • Lower Abdominal Pain: Discomfort or a feeling of heaviness in the lower pelvic region.

⚠️ Note: If you experience sudden, severe pain, high fever, or significant blood in your urine, seek immediate medical evaluation as these could indicate a severe infection or obstruction.

Diagnostic Procedures

To accurately diagnose a diverticulum on bladder, healthcare providers utilize several imaging techniques to assess the size, location, and impact of the pouch on bladder function. Accurate diagnosis is crucial because treatment depends on whether the diverticulum is symptomatic or causing complications.

Diagnostic Tool Purpose
Cystoscopy Allows a doctor to look inside the bladder using a thin, flexible tube with a camera.
Voiding Cystourethrogram (VCUG) An X-ray procedure that shows the bladder filling and emptying; excellent for identifying diverticula.
Ultrasound A non-invasive way to visualize the shape of the bladder and detect large pouches.
CT Urography Provides detailed 3D images to assess the surrounding structures and confirm diagnosis.

Management and Treatment Options

Treatment for a diverticulum on bladder is not always necessary, especially if the diverticulum is small and asymptomatic. If the condition is causing issues, the approach typically focuses on addressing the underlying cause of the bladder pressure and, if necessary, surgical removal of the diverticulum.

Conservative Management

For individuals who are not surgical candidates or those with minimal symptoms, doctors may recommend:

  • Watchful Waiting: Regular monitoring through follow-up imaging to ensure the pouch is not growing or causing recurring infections.
  • Antibiotic Therapy: Prophylactic or acute treatment for recurrent UTIs.
  • Addressing Underlying Obstruction: Treating conditions like BPH with medication (e.g., alpha-blockers) to reduce bladder pressure.

Surgical Intervention

Surgical removal, known as a diverticulectomy, is usually reserved for cases involving:

  • Persistent or severe, recurrent UTIs.
  • Formation of bladder stones within the diverticulum.
  • Large diverticula that prevent effective bladder emptying.
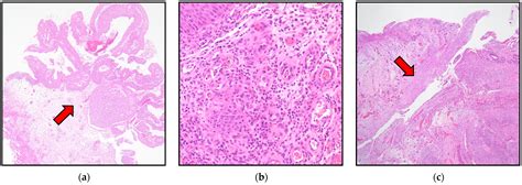
  • Suspicion of malignancy (cancer) within the pouch wall.

Surgery can often be performed using minimally invasive techniques, such as laparoscopic or robotic-assisted surgery, which offer smaller incisions, reduced pain, and faster recovery times compared to traditional open surgery.

💡 Note: The success of surgery often depends on simultaneously correcting any bladder outlet obstruction. If the pressure that caused the diverticulum is not relieved, the bladder wall remains at risk for future issues.

Lifestyle Considerations for Urinary Health

Managing urinary health goes beyond medical interventions. For patients with a diverticulum on bladder, lifestyle adjustments can help reduce the frequency of symptoms and improve overall quality of life. Maintaining good hydration is critical; drinking adequate water helps flush the urinary tract and prevents the concentration of urine that might encourage bacterial growth. Furthermore, practicing "double voiding"—waiting a few minutes after urinating and then attempting to void again—can help ensure the bladder empties more completely, potentially reducing the amount of urine that pools in the diverticulum.

Dietary adjustments may also play a role, particularly if the diverticulum is causing bladder irritation. Avoiding common bladder irritants such as caffeine, alcohol, spicy foods, and acidic beverages can help manage discomfort. Additionally, pelvic floor muscle exercises may assist in better bladder control for some individuals, though it is best to consult with a physical therapist specializing in pelvic floor health before starting a new regimen. By combining medical guidance with proactive daily habits, most people can effectively manage the impact of this condition on their daily lives.

Dealing with a diverticulum on bladder involves a comprehensive approach that starts with an accurate diagnosis and continues with personalized management. While the presence of an outpouching in the bladder wall may sound concerning, it is a manageable condition for the vast majority of patients. By working closely with a urologist to monitor for potential complications like infections or structural changes, patients can prevent more serious health issues. Whether through conservative monitoring or surgical correction when necessary, the ultimate goal remains the restoration of normal bladder function and the improvement of overall well-being. Always prioritize regular check-ups and open communication with your healthcare team to ensure that any changes in your symptoms are addressed promptly and effectively.

Related Terms:

  • how common is bladder diverticulum
  • bladder diverticulum in men
  • how to treat bladder diverticulum
  • treatment for diverticulum in bladder
  • small bladder diverticulum noted
  • bladder diverticulum after birth