Mayo

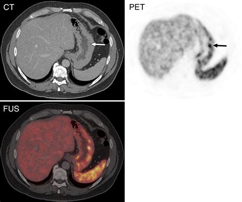
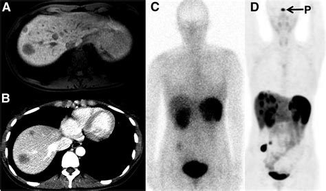
Dotatate Pet Scan

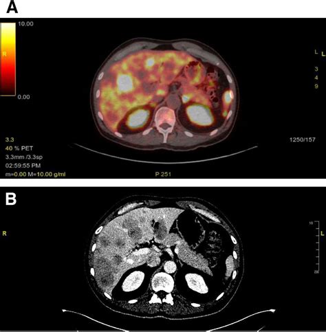
Dotatate Pet Scan

When dealing with complex medical diagnoses, specifically concerning neuroendocrine tumors (NETs), precision in imaging is paramount. One of the most advanced and highly effective diagnostic tools available in modern oncology is the Dotatate PET scan. By utilizing a specialized radioactive tracer that targets specific receptors on tumor cells, this imaging technique provides doctors with unprecedented clarity, allowing for earlier detection, more accurate staging, and better-informed treatment plans. Understanding how this scan works, why it is ordered, and what to expect during the procedure can significantly reduce anxiety and help patients navigate their diagnostic journey with confidence.

What Exactly Is a Dotatate PET Scan?

A Dotatate PET scan—often formally referred to as a Gallium-68 (Ga-68) DOTATATE PET/CT scan—is a sophisticated type of molecular imaging. Unlike conventional scans like CT or MRI, which primarily look at the size and shape of body structures, a PET scan focuses on how cells function at a molecular level.

The "Dotatate" component is a radioactive pharmaceutical agent. It acts as a targeted seeking device that binds to somatostatin receptors. These receptors are often found in high concentrations on the surface of neuroendocrine tumor cells. Because these tumors "light up" when the tracer binds to them, the PET scan creates a vivid map of where these tumors are located throughout the body, even those that are too small to be detected by standard imaging.

Your healthcare provider might recommend a Dotatate PET scan for several critical reasons related to the management of neuroendocrine tumors. Its primary function is to provide a comprehensive look at the extent of the disease.

  • Accurate Staging: It helps doctors determine how far a tumor has spread (metastasized) from its original site.
  • Treatment Planning: By identifying precisely where the tumors are, surgeons or oncologists can better decide on the most effective course of treatment, such as surgery, radiation, or specialized medical therapies like peptide receptor radionuclide therapy (PRRT).
  • Monitoring Progress: It can be used to assess how well a current treatment is working or to check for recurrence after treatment has been completed.

Comparing Imaging Modalities

To understand the superiority of the Dotatate PET scan in this specific context, it is helpful to compare it with other common diagnostic tools.

Imaging Type Primary Strength Limitations for NETs
Standard CT Scan Excellent anatomical detail. May miss very small tumors or differentiate between scar tissue and tumors.
MRI Great for soft tissue detail. Can be time-consuming; less sensitive to systemic disease spread.
Dotatate PET Scan High molecular sensitivity. Specific to tumors with somatostatin receptors.

Preparing for Your Scan

Preparation is key to ensuring the accuracy of your Dotatate PET scan. While specific instructions may vary slightly depending on your medical center, there are general guidelines to follow to ensure the best possible imaging results.

  • Medication Review: Inform your doctor about all medications and supplements you are taking. Specifically, mention if you are on long-acting somatostatin analogs (like octreotide). These may need to be timed carefully around your scan to prevent them from "blocking" the tracer from binding to the tumor.
  • Hydration: Staying well-hydrated is crucial. You may be encouraged to drink plenty of water leading up to the appointment.
  • Dietary Adjustments: Follow any fasting instructions provided by your clinic, which are typically required for a few hours before the scan.
  • Comfort: Wear comfortable, loose-fitting clothing that does not contain metal (like zippers or buttons) to avoid interfering with the scan quality.

💡 Note: Always consult with your medical team regarding your specific medication regimen, particularly regarding somatostatin analogs, as stopping or timing these medications incorrectly can affect the scan results.

The Procedure: What to Expect

The actual process for a Dotatate PET scan is relatively straightforward, although it does take some time to complete. Understanding the workflow helps demystify the experience.

  1. Injection: Upon arrival, a small amount of the radioactive tracer (Gallium-68 DOTATATE) is injected into your vein, usually in your arm.
  2. Uptake Phase: You will need to wait for about 45 to 90 minutes. During this time, the tracer travels through your body and binds to the somatostatin receptors on the neuroendocrine tumor cells. You will be asked to rest quietly during this period.
  3. The Scan: You will be positioned on the scanner table. The scanner looks like a large donut. The machine will move you through the opening slowly. It is essential to remain as still as possible to prevent blurred images.
  4. Completion: The scanning process itself usually takes about 20 to 45 minutes, depending on the equipment and the areas being imaged.

Safety and Radiation Exposure

It is natural to feel concerned about the term "radioactive tracer." However, the radiation exposure from a Dotatate PET scan is generally considered low and safe. The tracer has a very short half-life, meaning it decays rapidly and is eliminated from your body naturally through your urine within a short period after the scan.

To further minimize radiation, you should:

  • Drink plenty of fluids immediately following the scan to help flush the tracer out of your system.
  • Limit close, prolonged contact with small children or pregnant women for a few hours following the procedure, just as a standard precaution.

⚠️ Note: If you are pregnant or breastfeeding, it is imperative that you notify your doctor before scheduling the scan, as this procedure may not be recommended or may require special precautions.

Interpreting the Results

Once the scan is complete, the images are sent to a radiologist or nuclear medicine physician who specializes in interpreting these complex studies. They will analyze the images to identify areas of high tracer uptake, which indicate the presence of neuroendocrine tumor cells. The results are typically combined with findings from other tests and your clinical history to provide a comprehensive summary of your condition.

It can often take a few days for the final report to be prepared and shared with your primary oncology team. When you meet with your doctor to review the findings, do not hesitate to ask questions. Understanding the extent of the disease and what the images show is vital for feeling empowered in your treatment decisions.

In wrapping up this overview, it is clear that the Dotatate PET scan represents a significant leap forward in oncological imaging. By offering a high-resolution, targeted view of neuroendocrine tumors, it minimizes the guesswork in diagnosis and enables a more personalized, precise approach to care. While the procedure requires some preparation and a brief waiting period, its ability to pinpoint disease sites with accuracy makes it an invaluable asset in the fight against these conditions. By working closely with your healthcare team and following the necessary protocols, you can utilize this diagnostic tool to gain the clarity needed to move forward with the most appropriate and effective treatment strategy for your specific situation.

Related Terms:

  • dotatate pet scan paraganglioma
  • dotatate pet scan cost
  • dotatate pet scan for meningioma
  • dotatate pet scan cpt code
  • dotatate pet scan pronunciation
  • dotatate pet scan cpt