Cleve

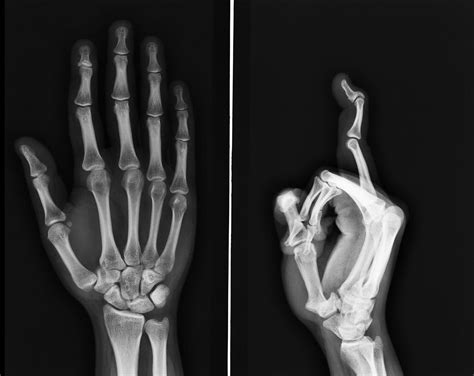
Double Jointed Finger Bones

Double Jointed Finger Bones

Have you ever noticed someone bending their fingers back at an impossible angle, or perhaps you are the one capable of performing such party tricks? Often referred to colloquially as having Double Jointed Finger Bones, this phenomenon is a fascinating aspect of human anatomy that draws both curiosity and concern. While the term itself suggests a structural multiplication of bone segments, the reality is far more nuanced, rooted in the science of joint hypermobility. Understanding why some individuals possess a greater range of motion in their fingers requires a closer look at the connective tissues, genetics, and the physiological structures that hold our skeletal system together.

The Science Behind Hypermobility

Contrary to the popular myth, having Double Jointed Finger Bones does not mean you have extra bones or joints. Instead, the condition is medically classified as joint hypermobility. This means that your joints have a range of motion that exceeds the average for a healthy individual of your age and sex. The primary culprits behind this flexibility are the components of the joint capsule and the surrounding ligaments and tendons.

In most people, ligaments act like sturdy rubber bands that hold bones together while restricting movement to a safe range. In individuals with hypermobility, these tissues—primarily composed of collagen—are more elastic or lax. This inherent "looseness" allows the fingers to hyperextend or bend beyond the typical limits. It is a biological variation that often runs in families, suggesting a strong genetic component influencing the structure of connective tissues throughout the entire body.

Also read: Face Surgery Man
Factor Role in Joint Flexibility
Collagen Structure Determines the elasticity and strength of ligaments.
Joint Shape Determines the mechanical limit of bone movement.
Muscle Tone Provides stability around the joint; low tone increases range.
Proprioception The brain's awareness of joint position; affects stability.

Common Misconceptions About Finger Flexibility

Many people believe that Double Jointed Finger Bones are a sign of superior physical prowess or, conversely, a symptom of serious illness. While it is true that some elite musicians and athletes possess hypermobile joints, it is essential to distinguish between harmless, isolated hypermobility and systemic connective tissue disorders. Often, the ability to bend one’s fingers back is merely an anatomical quirk with no negative health implications.

  • Not Extra Anatomy: No additional bones are created; the bones are simply allowed to move further due to loose ligaments.
  • Prevalence: Hypermobility is relatively common in the general population, especially among children and adolescents.
  • Genetics: It is frequently an inherited trait passed down through generations.
  • Functional Variance: Some people find this trait useful for playing musical instruments like the piano or guitar, while others find it leads to early fatigue.

Health Considerations and Risks

While having Double Jointed Finger Bones might seem like a fun trick, it can occasionally lead to complications if the joints are pushed too far. Because the ligaments are lax, the joints are inherently less stable. Over time, individuals with extreme hypermobility may experience a higher susceptibility to certain issues:

One major concern is joint instability, where the lack of structural support can lead to frequent subluxations (partial dislocations). Additionally, repetitive hyperextension can accelerate osteoarthritis later in life, as the protective cartilage is subjected to unconventional stress patterns. It is vital to maintain muscle strength in the hands and forearms to provide the stability that the ligaments cannot offer on their own.

⚠️ Note: If you experience persistent pain, swelling, or frequent joint locking associated with your hypermobility, consult a physical therapist or rheumatologist to rule out conditions like Ehlers-Danlos Syndrome (EDS) or Marfan syndrome.

Strengthening Exercises for Hypermobile Fingers

If you find that your finger hypermobility causes discomfort or weakness during daily activities, focusing on proprioception and muscle conditioning is key. Exercises should aim to build the strength of the intrinsic muscles of the hand, which act as a secondary support system for the joints.

  • Finger Squeezes: Use a soft stress ball or therapy putty and squeeze rhythmically to engage the small muscles in the palm.
  • Isometric Holds: Press your fingertips against a flat surface, keeping the joints in a neutral position (not hyperextended) for 5-10 seconds.
  • Finger Taps: Tap each finger against your thumb in sequence, focusing on controlled, stable movement rather than speed.
  • Resistance Band Extension: Place a rubber band around your fingers and gently spread them against the resistance, ensuring you do not lock the joints backward.

💡 Note: Always perform these exercises in a pain-free range of motion. Avoid "popping" your joints, as this can exacerbate laxity and inflammation in the long run.

Living with Joint Laxity

Living with what is commonly called Double Jointed Finger Bones is generally a manageable condition. For most, it is a benign trait that requires no medical intervention. However, awareness is crucial. When engaging in high-impact sports or heavy lifting, individuals with hypermobile fingers should be mindful of their grip and hand positioning. Using supportive braces during intense activities can provide the necessary external structure to protect the joints from excessive strain.

Furthermore, maintaining good posture and general body awareness can help. Because hypermobility is often systemic, it is not uncommon for those with flexible fingers to also have flexible shoulders, knees, or hips. Understanding how your body moves and knowing your limits is the best way to leverage your natural flexibility without compromising your long-term joint health.

Embracing the unique architecture of your hands while respecting the biological limits of your ligaments is the best path forward. Whether you possess this trait as an athletic advantage or simply as a curious physiological feature, keeping the surrounding muscles strong and the joints protected will ensure you remain comfortable and functional. By prioritizing stability and mindful movement, you can navigate your daily life without letting the curiosity of your finger flexibility lead to physical strain or chronic injury.

Related Terms:

  • how does double jointedness work
  • are double jointed fingers rare
  • can you be double jointed
  • what makes someone double jointed
  • double jointed middle finger
  • what makes people double jointed