Cleve

Drusen Of Optic Nerve Head

Drusen Of Optic Nerve Head

Discovering that you have an abnormality in your eye can be a daunting experience, particularly when it involves the delicate structures at the back of the eye. One such condition that often appears during routine eye examinations is Drusen Of Optic Nerve Head. These are essentially small, calcified deposits that accumulate within the optic nerve head, the point where the nerve fibers exit the eye to transmit visual information to the brain. While the name might sound intimidating, understanding what these deposits are and how they impact your ocular health is the first step toward managing your vision effectively.

What Exactly Are Drusen Of The Optic Nerve Head?

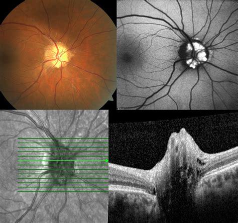
To put it simply, Drusen Of Optic Nerve Head, often referred to as optic disc drusen (ODD), are hyaline-like, calcified bodies that reside within the optic disc. Unlike the "drusen" you might hear about in the context of age-related macular degeneration—which occur in the retina—optic nerve drusen are distinct. They are typically bilateral, meaning they appear in both eyes, and they develop slowly over time. As these deposits grow, they can become more prominent, potentially crowding the optic nerve head and leading to a clinical appearance that mimics optic disc swelling, a condition known as papilledema.

Most individuals with these deposits are born with a predisposition to them, as the optic nerve head is often slightly smaller than average, leaving less room for the optic nerve fibers. This anatomical configuration, known as a "crowded disc," makes it more likely for these calcium deposits to become trapped as they calcify over the years.

Also read: Bad Face Plastic Surgery

Symptoms and Clinical Presentation

In the vast majority of cases, Drusen Of Optic Nerve Head are asymptomatic. Patients are often unaware of their existence until an optometrist or ophthalmologist detects them during a routine dilated fundus examination. However, because these deposits occupy space within the nerve head, they can cause subtle changes to the eye:

  • Visual Field Loss: Some individuals may experience mild, peripheral visual field defects as the drusen put pressure on the nerve fibers.
  • Transient Visual Obscurations: Occasionally, patients report brief episodes of blurred or dimmed vision, particularly when changing position or performing strenuous activity.
  • Mimicry of Papilledema: The most significant clinical challenge is that the elevated appearance of the disc can look like swelling caused by increased intracranial pressure, requiring careful diagnostic differentiation.

Diagnostic Methods and Clinical Evaluation

When a doctor suspects Drusen Of Optic Nerve Head, they must differentiate between "true" nerve swelling (which can indicate serious underlying medical issues) and these benign calcifications. Several imaging techniques are considered the "gold standard" for diagnosis:

Diagnostic Tool Purpose
B-Scan Ultrasonography Highly sensitive at detecting calcified material within the optic disc.
Optical Coherence Tomography (OCT) Provides high-resolution cross-sectional images to identify the sub-surface deposits.
Fundus Autofluorescence (FAF) Calcified drusen exhibit a bright, hyper-autofluorescent appearance.

💡 Note: While these diagnostic tools are excellent, your eye care provider may also use a visual field test to ensure that the drusen are not causing any progressive damage to your peripheral vision.

Complications Associated with Optic Nerve Drusen

While the condition is usually benign, there are rare complications that patients should be aware of. Because the presence of Drusen Of Optic Nerve Head can impact the vascular health of the optic nerve, they are occasionally associated with complications such as Non-Arteritic Anterior Ischemic Optic Neuropathy (NAION) or peripapillary subretinal neovascularization. These conditions occur when blood flow to the optic nerve or retina is compromised, or when abnormal blood vessels grow underneath the retina.

It is important to emphasize that these complications are uncommon. Most people live their entire lives with optic disc drusen without ever experiencing a significant loss of vision or requiring invasive treatment.

Management and Monitoring

Because there is no known treatment to "dissolve" or remove the calcium deposits once they have formed, the primary focus is on long-term monitoring. If you have been diagnosed with this condition, your eye doctor will likely establish a baseline for your ocular health. Regular check-ups are essential to ensure that the vision remains stable and that the optic nerve is not experiencing any undue stress.

  • Annual Eye Exams: A thorough examination of the optic nerve head is recommended once or twice a year.
  • Visual Field Monitoring: Periodic testing helps document any changes in the peripheral vision.
  • Monitoring Blood Pressure: Because vascular health is linked to the rare complications of optic nerve drusen, managing systemic conditions like high blood pressure is a proactive step in protecting your optic nerve.

💡 Note: If you experience sudden vision loss, persistent headaches, or visual disturbances, consult an ophthalmologist immediately, as these symptoms should not be attributed solely to existing drusen without a fresh evaluation.

Lifestyle Considerations and Future Outlook

Living with Drusen Of Optic Nerve Head generally does not require major lifestyle changes. The most important takeaway is maintaining a consistent relationship with your eye care professional. By keeping a record of your visual field and the physical appearance of the optic disc, you and your doctor can distinguish between the stable nature of the drusen and any potential new developments that might require attention. Staying informed about your eye health empowers you to advocate for yourself during medical appointments and keeps your vision protected for the long term.

Ultimately, while the presence of these deposits is a permanent anatomical feature of your eyes, they rarely progress to a stage that impacts daily activities. Focus on maintaining a healthy lifestyle, avoiding smoking, and keeping cardiovascular risk factors under control. With routine screenings and professional guidance, you can manage this condition effectively and maintain healthy vision throughout your life. The key lies in understanding that these deposits are often an incidental finding that, while requiring observation, does not typically lead to blindness or severe impairment. Trusting in the diagnostic capabilities of modern ophthalmology will ensure that any changes are caught early, though the likelihood of such changes is quite low for most individuals.

Related Terms:

  • optic nerve head drusen eyewiki
  • optic nerve head drusen oct
  • optic nerve head drusen faf
  • optic disc drusen
  • optic nerve head drusen autofluorescence
  • optic nerve head drusen treatment