Cleve

Duct Cyst Thyroglossal

Duct Cyst Thyroglossal

Discovering a lump in the neck can be an alarming experience, often prompting immediate concern regarding its origin and potential health implications. One of the most common congenital neck masses encountered in clinical practice is the Duct Cyst Thyroglossal, also known as a thyroglossal duct cyst (TGDC). These fluid-filled sacs arise from the remnants of the developmental process of the thyroid gland. While they are frequently diagnosed during childhood, they can occasionally present in adulthood, often requiring medical evaluation to distinguish them from other cervical pathologies. Understanding the nature, symptoms, and treatment options for this condition is essential for patients and caregivers navigating a diagnosis.

Understanding the Embryological Origin

To grasp why a Duct Cyst Thyroglossal forms, one must look at fetal development. During the early stages of gestation, the thyroid gland begins its journey at the base of the tongue and descends through the neck to its final resting position in front of the windpipe. This path is known as the thyroglossal duct.

In a healthy developmental process, this duct typically disappears or obliterates before birth. However, if segments of this duct remain and do not close, they can fill with fluid, mucus, or debris, gradually expanding into a cyst. Because of this shared path, these cysts are almost always located along the midline of the neck, usually between the chin and the thyroid cartilage.

Common Symptoms and Clinical Presentation

The hallmark of a Duct Cyst Thyroglossal is a painless, smooth, and cystic mass situated along the midline of the neck. Because of its anatomical connection to the hyoid bone, the mass often moves upward when the patient swallows or protrudes their tongue. This movement is a critical diagnostic sign for clinicians.

  • Asymptomatic presentation: Many patients may not notice the cyst until it becomes enlarged or infected.
  • Infection: If the cyst becomes infected, it can cause localized pain, redness, swelling, and potential discharge if the skin breaks down to form a sinus tract.
  • Difficulty swallowing or breathing: Large cysts may occasionally exert pressure on the airway or esophagus, leading to discomfort or a sensation of “fullness.”

⚠️ Note: If you notice a sudden increase in the size of a neck mass or experience fever and significant tenderness, seek medical evaluation promptly, as these may be signs of a secondary infection.

Diagnostic Procedures and Evaluation

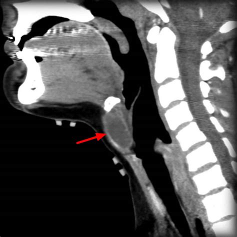
When a physician suspects a Duct Cyst Thyroglossal, they will perform a physical examination to check the cyst’s mobility and location. To confirm the diagnosis and rule out other conditions like lymphadenopathy or branchial cleft cysts, diagnostic imaging is generally required.

Diagnostic Tool Purpose
Ultrasound The primary imaging modality; effective at identifying the fluid-filled nature and location relative to the hyoid bone.
CT Scan Provides detailed anatomical mapping; often used to determine the extent of the cyst if infection is present.
Fine Needle Aspiration Used sparingly; done if the diagnosis is unclear or to rule out malignancy in atypical cases.

Treatment Options: The Sistrunk Procedure

The definitive treatment for a Duct Cyst Thyroglossal is surgical excision. Because these cysts have a high rate of recurrence if only the cyst itself is removed, surgeons typically perform a procedure known as the Sistrunk Operation.

During the Sistrunk procedure, the surgeon removes not only the cyst but also the middle portion of the hyoid bone and a tract of tissue extending to the base of the tongue. This comprehensive approach is vital because remnants of the thyroid duct often weave through or around these structures. By removing this entire “path,” surgeons significantly reduce the probability that the cyst will return.

Post-Operative Care and Recovery

Recovery from the surgical removal of a Duct Cyst Thyroglossal is generally straightforward. Patients are typically monitored for signs of infection and given guidance on wound care. Most individuals can return to their daily routines within a few weeks, though physical activity may be restricted during the initial healing phase.

  • Keep the incision site clean and dry as instructed by your medical team.
  • Monitor for any swelling or unusual discharge near the scar.
  • Follow up with your surgeon to ensure the healing process is progressing correctly.

💡 Note: While surgical recurrence is low with the Sistrunk procedure, it is important to adhere strictly to post-operative instructions to minimize the risk of complications such as seromas or wound infections.

Potential Complications of Untreated Cysts

Leaving a Duct Cyst Thyroglossal untreated can lead to repeated bouts of inflammation and infection. Chronic infection can lead to the formation of a sinus tract, which is a small opening in the skin that constantly drains fluid. This not only complicates future surgical removal but also increases the risk of scarring and persistent discomfort. Furthermore, while extremely rare, there have been documented cases where chronic inflammation associated with long-standing cysts has been linked to the development of thyroid carcinoma within the cyst walls. Therefore, professional medical monitoring is highly recommended.

Managing a condition like a Duct Cyst Thyroglossal involves understanding its unique embryological background and the necessity of specialized surgical intervention. While the prospect of surgery can be daunting, the Sistrunk procedure provides a high success rate and a long-term solution for patients. By recognizing the symptoms early, such as the characteristic movement of the mass during swallowing, individuals can work effectively with healthcare providers to obtain an accurate diagnosis and treatment plan. Through proper surgical removal and attentive post-operative care, most patients successfully resolve the issue and prevent future complications, ensuring long-term health and wellness. Always rely on a qualified medical professional to assess any persistent neck masses, as personalized care remains the cornerstone of effective management.

Related Terms:

  • thyroglossal cyst management
  • thyroglossal cyst in adults nhs
  • thyroglossal duct cyst tongue
  • thyroglossal duct cyst adult
  • thyroglossal duct cyst ent uk
  • thyroglossal cyst patient information