Cleve

Eagle Syndrome Symptoms

Eagle Syndrome Symptoms

Have you been experiencing unexplained throat pain, difficulty swallowing, or recurring earaches that seem to have no obvious cause? While these issues are often attributed to common ailments like sore throats or ear infections, they may sometimes point toward a lesser-known condition called Eagle Syndrome. Understanding Eagle Syndrome symptoms is the first crucial step in navigating the path toward an accurate diagnosis and effective treatment. This condition, caused by an elongated styloid process or a calcified stylohyoid ligament in the neck, can compress vital structures, leading to a variety of debilitating sensations in the throat, face, and head area.

What Is Eagle Syndrome?

Eagle Syndrome occurs when the styloid process—a thin, pointed bone just below the ear—becomes abnormally long or when the ligament connecting it to the hyoid bone in the neck calcifies. While many people have an elongated styloid process without experiencing any discomfort, for some, this anatomical variation irritates nearby nerves and blood vessels. When this compression occurs, it triggers a distinct set of symptoms that can significantly impact a person's quality of life.

Because the symptoms often mimic other conditions, such as temporomandibular joint (TMJ) disorders, chronic tonsillitis, or neuralgia, it is frequently misdiagnosed. Recognizing the specific nature of these symptoms is essential for patients to advocate for themselves and seek the appropriate medical evaluation, usually involving an otolaryngologist (ENT specialist) or a maxillofacial surgeon.

Common Eagle Syndrome Symptoms

The clinical presentation of Eagle Syndrome can vary widely between individuals, depending on which nerves or vascular structures are being compressed. Most patients report a combination of localized pain and referred pain to surrounding areas. Below are the most frequently reported Eagle Syndrome symptoms:

  • Persistent throat pain: A dull, nagging ache or a sharp, shooting pain in the throat, often aggravated by swallowing.
  • Foreign body sensation: The feeling that something is stuck in the throat, leading to frequent swallowing or clearing of the throat.
  • Difficulty swallowing (Dysphagia): Pain or discomfort when moving food or liquid down the throat.
  • Ear pain (Otalgia): Referred pain in the ear, despite there being no actual infection within the ear canal itself.
  • Neck pain: Tenderness or aching along the side of the neck or near the angle of the jaw.
  • Headaches: Dull, radiating headaches that may stem from the neck or jaw area.
  • Jaw pain: Discomfort that can mimic TMJ issues, making it difficult to open or close the mouth fully.

It is important to note that these symptoms can fluctuate in intensity. Some patients may experience them constantly, while others might notice them only when turning their head, talking, or yawning.

Classification of Symptoms

To better understand how these symptoms manifest, medical professionals often categorize Eagle Syndrome into two primary types based on the cause of the symptoms. The following table illustrates the key differences:

Type of Syndrome Primary Mechanism Common Manifestations
Classic Eagle Syndrome Nerve irritation (usually cranial nerves) following a tonsillectomy or trauma. Severe throat pain, swallowing difficulties, foreign body sensation, ear pain.
Vascular Eagle Syndrome Compression of the carotid artery (internal or external). Dizziness, syncope (fainting), transient ischemic attacks, vision changes, carotid artery dissection.

⚠️ Note: Vascular Eagle Syndrome is considered a medical emergency. If you experience dizziness, fainting spells, or sudden neurological changes, seek immediate medical attention.

Diagnosing the Condition

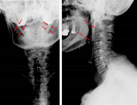
Diagnosing this condition requires more than just a physical examination of the throat. Because the root cause is structural, medical imaging is necessary to confirm the elongation of the styloid process or the calcification of the stylohyoid ligament.

If you suspect you have this syndrome, your doctor may recommend the following:

  • Physical Exam: The doctor may palpate the tonsillar fossa to see if it triggers the characteristic pain or a sensation of a foreign object.
  • Computed Tomography (CT) Scan: This is the gold standard for diagnosis. A 3D CT scan of the neck clearly reveals the length, angulation, and thickness of the styloid process.
  • Diagnostic Nerve Block: In some cases, injecting a local anesthetic near the styloid process can temporarily relieve symptoms, confirming that the area is indeed the source of the pain.

Treatment Options

Treatment for Eagle Syndrome symptoms is typically divided into conservative management and surgical intervention. For mild cases, doctors often start with conservative measures, but if the pain is severe or functional impairment is significant, surgery is usually required to resolve the issue.

Conservative Management

These methods aim to manage pain but do not correct the underlying anatomical cause:

  • Medication: Non-steroidal anti-inflammatory drugs (NSAIDs) to reduce inflammation, or nerve pain medications like gabapentin if neuralgia is present.
  • Physical Therapy: Specialized exercises focusing on neck mobility may help reduce muscle tension surrounding the area.
  • Injections: Local anesthetic or steroid injections can provide temporary relief from acute pain flares.

Surgical Intervention

When conservative treatments fail, a surgical procedure known as a styloidectomy is often the definitive solution. This procedure involves removing the elongated portion of the styloid bone to eliminate the compression on the nerves and blood vessels.

The surgery can be performed via two main approaches:

  • Transoral approach: The surgeon accesses the styloid process through the mouth. This approach is less invasive but offers limited visibility for the surgeon.
  • Transcervical approach: The surgeon accesses the styloid process through a small incision in the neck. This provides better visualization of the surrounding vital structures, particularly the carotid artery and nerves, reducing the risk of accidental injury during surgery.

💡 Note: The choice of surgical approach depends on the patient's specific anatomy, the length of the styloid process, and the proximity to major blood vessels.

Living with the Condition

While dealing with these symptoms can be frustrating, especially when diagnosis takes time, understanding your body and communicating effectively with specialists is key. Keep a detailed log of your symptoms—note what triggers the pain, how long it lasts, and what activities seem to exacerbate it. This information will be invaluable to your ENT surgeon when planning potential treatment.

It is also beneficial to seek out supportive communities or forums where individuals share their experiences with this condition. While medical advice should always come from a qualified professional, hearing from others who have navigated the diagnostic process can provide significant emotional support and practical tips for managing daily life.

Final Thoughts

Recognizing the symptoms of Eagle Syndrome is the essential bridge between enduring chronic, unexplained pain and finding a pathway to relief. By staying informed about the nature of this condition—ranging from the classic throat-based symptoms to the more complex vascular manifestations—you are better equipped to discuss your concerns with a healthcare professional. Whether your journey involves conservative management or surgical intervention, understanding that your pain has a legitimate, treatable cause is a empowering realization. If you suspect your symptoms align with what has been discussed, prioritize scheduling an evaluation with a specialist who has experience identifying and treating this specific anatomical abnormality.

Related Terms:

  • styloid bone in neck
  • eagle syndrome neurological symptoms
  • eagle syndrome nhs
  • who diagnoses eagle syndrome
  • eagles disease symptoms
  • types of eagle syndrome