Cleve

Early Gum Disease

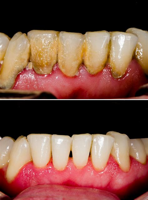
Early Gum Disease

Many people tend to overlook the subtle warning signs of oral health issues until they escalate into painful, costly problems. One of the most common yet frequently ignored conditions is early gum disease, medically known as gingivitis. Because the mouth is often considered separate from the rest of the body’s health, minor symptoms like bleeding while brushing are often dismissed as insignificant. However, recognizing these early indicators is crucial, as gingivitis is the only stage of periodontal disease that is completely reversible. By understanding what to look for and how to intervene, you can protect your smile and maintain long-term oral health.

Understanding Early Gum Disease: What Is It?

Person brushing teeth

Early gum disease occurs when plaque—a sticky film of bacteria—builds up along the gumline. If this plaque is not removed through daily brushing and flossing, it hardens into tartar, which causes irritation and inflammation of the gums. Unlike advanced periodontitis, which can destroy the bone supporting your teeth, gingivitis is a localized inflammation. It serves as your body’s alarm system, signaling that your current oral hygiene routine is not sufficient to keep harmful bacteria at bay.

Left untreated, the inflammation can spread from the soft tissue to the bone, eventually leading to deep pockets between the teeth and gums. These pockets become reservoirs for more bacteria, accelerating the decline of your dental health. Therefore, catching the condition at the earliest possible stage is the most effective way to avoid surgical interventions later in life.

Also read: Face Fat Removal Without Surgery

Common Symptoms to Watch For

The progression of early gum disease is often painless, which is why it is often called a “silent” condition. However, there are specific physical changes that you should never ignore:

  • Bleeding gums: Noticeable blood on your toothbrush or dental floss is the most common early indicator.
  • Swelling and tenderness: Your gums may look puffy, red, or dark purple rather than a healthy, firm pink.
  • Persistent bad breath: Chronic halitosis is often caused by the accumulation of bacteria that thrive in inflamed gum pockets.
  • Gum recession: If your teeth start to look “longer,” it may be a sign that your gums are pulling away from the tooth surface.

💡 Note: While these symptoms are classic signs of gingivitis, they can sometimes indicate other systemic health issues. Always consult with a dental professional if symptoms persist for more than two weeks despite improved oral hygiene.

The Impact of Lifestyle Choices

Your daily habits play a significant role in the development of early gum disease. Genetics can play a role, but the environment you create in your mouth is the primary driver. Poor nutrition, high sugar intake, and stress can all weaken your immune system, making it harder for your gums to fight off bacterial infection.

Furthermore, smoking and tobacco use are major risk factors. Tobacco use impedes blood flow to the gums, which masks the symptoms of infection. Many smokers do not realize they have early gum disease because their gums do not bleed as readily as they would in a non-smoker, leading to a false sense of security while the disease progresses beneath the surface.

Habit Impact on Gum Health
Skipping Flossing Allows bacteria to colonize in tight, unreachable spaces.
High Sugar Diet Provides fuel for plaque-producing bacteria.
Smoking Reduces oxygen flow, slowing down tissue healing.
Inconsistent Exams Misses the window for early, non-invasive treatment.

Preventative Strategies and Reversal

Reversing early gum disease is entirely possible with a committed approach to oral hygiene. The goal is to disrupt the bacterial colonies that are causing the inflammation. By removing the source of irritation, your gums can regain their health within one to two weeks.

  • Master the 2-2-2 Rule: Brush twice a day for two minutes, and visit the dentist twice a year.
  • Floss Daily: Brushing only cleans about 60% of your tooth surfaces. Flossing reaches the spaces between teeth where early gum disease most often begins.
  • Use Antimicrobial Mouthwash: An alcohol-free, therapeutic mouthwash can help reduce the bacterial load in your mouth between cleanings.
  • Professional Cleaning: Even if you are diligent, you cannot remove hardened tartar. A professional scaling session is often necessary to provide a “clean slate” for your home care routine.

💡 Note: When you first start a more rigorous flossing routine, you might notice an increase in bleeding. This is normal and usually indicates that your gums are inflamed and adjusting to the removal of long-term plaque deposits.

Why Regular Dental Visits Are Essential

Even with the best home habits, professional intervention is vital. A dental hygienist uses specialized tools to reach areas below the gumline that your toothbrush cannot touch. Regular check-ups allow your dentist to track changes in your gum health, such as changes in the depth of gum pockets, before you can see or feel them yourself.

Identifying early gum disease during a routine exam can save you from complex restorative procedures. Treatment at this stage is typically limited to a deep cleaning or a simple adjustment in your home care routine. When you view these appointments as a proactive investment rather than a reactive chore, you effectively shield your wallet and your health from the consequences of advanced periodontal neglect.

The path to a healthy smile is paved with consistency and awareness. By paying close attention to your gums, you can identify the signs of early gum disease long before they transform into systemic health concerns. Prioritizing daily flossing, choosing an effective brushing technique, and scheduling routine cleanings are simple yet powerful steps to ensure your gums remain firm and healthy. Remember that your oral health is intrinsically linked to your overall well-being; treating your gums with care is, in essence, an investment in your entire body. When you take the initiative to act at the first sign of redness or sensitivity, you empower yourself to keep your natural teeth for a lifetime, maintaining the confidence that comes with a vibrant and healthy smile.

Related Terms:

  • first signs of gum disease
  • early symptoms of gum disease
  • signs of infected gums
  • early signs of gum disease
  • stages of gum disease
  • signs of a gum infection