Rp

Ectopic Pregnancy By Ultrasound

Ectopic Pregnancy By Ultrasound

Receiving an unexpected diagnosis during early pregnancy can be an overwhelming experience. Among the various concerns expectant mothers may face, an ectopic pregnancy is one that requires immediate medical attention. Identifying an ectopic pregnancy by ultrasound is the gold standard in diagnostic medicine, as it allows healthcare professionals to visualize the location of the pregnancy and determine the safest course of action. Because an ectopic pregnancy—where a fertilized egg implants outside the main cavity of the uterus—cannot proceed normally, early detection is vital for the health and safety of the patient.

What Is an Ectopic Pregnancy?

An ectopic pregnancy occurs when a fertilized egg implants and grows outside the main uterine cavity. In the vast majority of cases, this happens in a fallopian tube, which is why it is often referred to as a "tubal pregnancy." However, implantation can also occur in the cervix, ovary, or abdominal cavity. Because these areas are not designed to support a growing fetus, the tissue can rupture, leading to life-threatening internal bleeding.

The primary challenge with ectopic pregnancies is that they can mimic the symptoms of a normal, early pregnancy, such as missed periods, breast tenderness, and nausea. This makes ectopic pregnancy by ultrasound imaging not just a diagnostic tool, but a life-saving necessity during the first trimester.

The Role of Ultrasound in Diagnosis

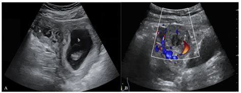
When a physician suspects an ectopic pregnancy, they often perform a transvaginal ultrasound. This procedure uses a specialized wand to provide a high-resolution view of the reproductive organs. By visualizing the uterus, ovaries, and the surrounding areas, radiologists and OB/GYNs look for specific clinical markers.

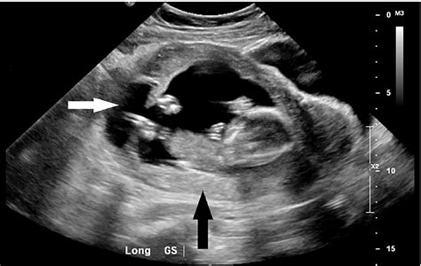
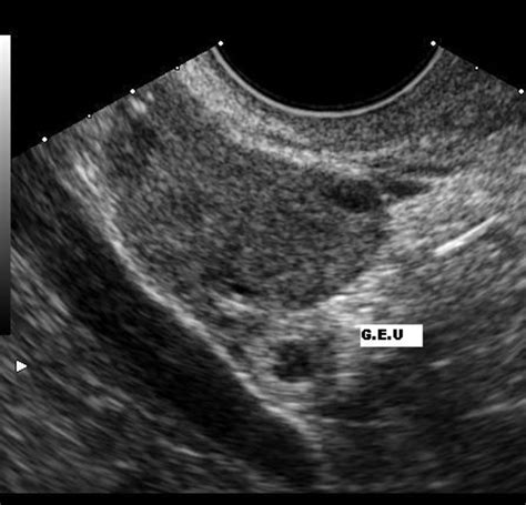
When doctors look for an ectopic pregnancy by ultrasound, they are essentially looking for an "empty" uterus where there should be a pregnancy sac. The diagnostic process typically involves:

  • Identifying the Gestational Sac: In a healthy pregnancy, an intrauterine gestational sac should be visible by the time the human chorionic gonadotropin (hCG) levels reach a certain threshold.
  • Locating Adnexal Masses: A mass outside the uterus in the adnexal region (where the fallopian tubes and ovaries are located) often suggests an ectopic implantation.
  • Checking for Free Fluid: The presence of free fluid in the pelvic cavity, especially in the pouch of Douglas, can indicate internal bleeding caused by a rupture.

⚠️ Note: If an ultrasound cannot definitively confirm the location of the pregnancy, doctors will often monitor hCG levels over 48 hours to determine if the pregnancy is progressing normally or if it is failing.

Diagnostic Indicators and Clinical Markers

Understanding how a medical professional interprets findings is key to understanding the diagnosis. The following table illustrates the common clinical signs observed during an examination.

Finding Significance in Ectopic Pregnancy
Empty Uterus Suggests the pregnancy is not located where it should be.
Adnexal Mass Often represents the ectopic gestational sac or a blood clot.
Complex Cyst May be mistaken for a corpus luteum cyst but requires further investigation.
Free Pelvic Fluid A critical warning sign of potential tubal rupture or hemorrhage.

Risk Factors and When to Seek Help

While any woman can experience an ectopic pregnancy, certain factors increase the statistical likelihood. Understanding these can help you and your doctor be more vigilant during your first-trimester scans.

  • History of Ectopic Pregnancy: If you have had one previously, your risk for another increases.
  • Tubal Surgery or Damage: Previous surgeries on the fallopian tubes or conditions like pelvic inflammatory disease (PID) can cause scarring that prevents the egg from reaching the uterus.
  • Smoking: Studies have shown that smoking can impair the function of the cilia in the fallopian tubes.
  • Assisted Reproductive Technology (ART): Procedures such as IVF slightly increase the risk of ectopic implantation.
  • Advanced Maternal Age: Women over the age of 35 may have a statistically higher risk.

Interpreting Ultrasound Results

It is important to remember that not all ectopic pregnancies are immediately visible. Sometimes, the pregnancy is too early to be detected by even the most advanced equipment. This is known as a "Pregnancy of Unknown Location" (PUL). In these instances, your doctor will rely heavily on blood tests to track the rise of hCG.

If you are experiencing severe abdominal or pelvic pain, dizziness, shoulder pain, or fainting, you should seek emergency medical care immediately. These are potential signs of a rupture, which is a medical emergency that requires swift intervention, regardless of whether a formal ectopic pregnancy by ultrasound has been confirmed yet.

ℹ️ Note: Always prioritize immediate care if you experience sudden, sharp pain on one side of your abdomen, as this is a hallmark symptom of a tubal pregnancy.

Treatment Options Following Diagnosis

Once a diagnosis is confirmed, your healthcare team will discuss the best course of action based on the size of the ectopic mass, your current symptoms, and your overall health. Options often include:

  • Medical Management: If caught early and the patient is stable, a medication called methotrexate may be used to stop the growth of the pregnancy cells.
  • Surgical Intervention: For cases where a rupture is imminent or has already occurred, surgery (laparoscopy) is necessary to remove the ectopic pregnancy and repair or remove the damaged fallopian tube.
  • Expectant Management: In rare cases where the body appears to be naturally absorbing the pregnancy, doctors may choose to monitor the patient very closely without immediate intervention.

Supporting Your Recovery

Recovery, both physically and emotionally, is a significant part of the journey after experiencing an ectopic pregnancy. Physically, if surgery was performed, you will need time to heal, typically avoiding heavy lifting or strenuous activity for several weeks. Emotionally, it is crucial to recognize that an ectopic pregnancy is a loss. Many patients find comfort in support groups, counseling, or simply taking time to process the experience with their partner.

While the initial news of an ectopic pregnancy can feel devastating, remember that modern medicine is highly effective at identifying these issues through ultrasound. Early detection protects your fertility and your health for the future. Always maintain open communication with your OB/GYN, follow up on all recommended scans, and do not hesitate to ask questions about your specific findings. Your medical team is there to guide you through the process, ensuring you receive the necessary care to recover safely and plan for your future reproductive health.

Related Terms:

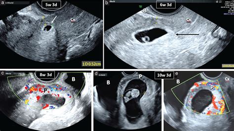
  • 6 week ectopic pregnancy ultrasound
  • 5 week ectopic pregnancy ultrasound
  • types of ectopic pregnancy ultrasound
  • 10 week ectopic pregnancy ultrasound
  • ultrasound picture of ectopic pregnancy
  • ectopic pregnancy detected by ultrasound