Cleve

Elastic Cartilage Location

Elastic Cartilage Location

The human body is a marvel of biological engineering, composed of various tissues that provide structure, protection, and flexibility. Among these, cartilage stands out as a unique form of connective tissue. While many are familiar with the shock-absorbing properties of hyaline cartilage in joints, the specific elastic cartilage location holds a distinct role in our anatomy. Unlike other forms of cartilage, this tissue is defined by its extreme flexibility and its ability to return to its original shape after being bent or deformed, a property made possible by the dense network of elastic fibers within its matrix.

Understanding the Structure of Elastic Cartilage

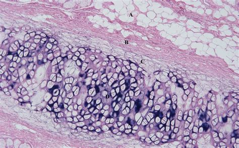
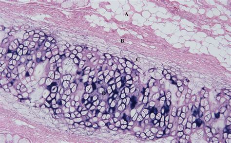
To appreciate the significance of the elastic cartilage location, one must first understand what makes this tissue fundamentally different from its counterparts. Elastic cartilage is characterized by the presence of a yellow, thread-like network of elastin fibers. These fibers permeate the extracellular matrix, which is also populated by chondrocytes—the cells responsible for maintaining the cartilage.

The primary distinguishing features include:

  • High Flexibility: It can withstand significant mechanical deformation without losing its structural integrity.
  • Chondrocyte Density: The cells are more closely packed together compared to hyaline cartilage.
  • Yellow Appearance: Due to the high concentration of elastin fibers, the tissue appears yellowish in a fresh state compared to the pearly white of hyaline cartilage.

The structural composition of this tissue ensures that it can support weight while remaining pliable. This is why it is strategically positioned in parts of the body that require constant movement and the maintenance of a specific, complex shape.

Primary Elastic Cartilage Location Points

When investigating where this specialized tissue resides, we find it in regions where structural support must be balanced with mobility. The most prominent elastic cartilage location points are found in the head and neck region. These areas rely on the unique properties of elastic cartilage to function properly during daily activities such as hearing, breathing, and swallowing.

1. The External Ear (Pinna)

The most recognizable elastic cartilage location is the pinna, or the visible part of the ear. The complex folds and curves of the outer ear are held in place by elastic cartilage. Because this cartilage is flexible, the ear can be folded or pressed without breaking or staying deformed. This ensures that the ear maintains its funnel-like shape to capture sound waves effectively while being resilient to external pressure.

2. The Eustachian Tube

Deep within the ear, the auditory tube (or Eustachian tube) utilizes elastic cartilage to maintain its patency. By providing a flexible framework, the cartilage allows the tube to open and close during swallowing or yawning, which is essential for equalizing pressure between the middle ear and the external environment.

3. The Epiglottis

The epiglottis is a flap-like structure located at the base of the tongue. Its primary role is to act as a lid for the larynx during swallowing. Whenever you swallow food or liquid, the epiglottis folds down over the glottis to prevent aspiration. The elastic cartilage location here is vital because it allows the epiglottis to snap back into its upright position immediately after swallowing, ensuring the airway remains unobstructed for breathing.

4. Parts of the Larynx

Beyond the epiglottis, several smaller cartilages within the larynx, specifically the corniculate and cuneiform cartilages, are composed of elastic cartilage. These play a supporting role in the structure of the voice box, aiding in the complex movements required for phonation and breathing.

Location Primary Function
External Ear (Pinna) Sound collection and structural shape
Eustachian Tube Pressure equalization
Epiglottis Airway protection during swallowing
Laryngeal Cartilages Support for vocal fold mobility

💡 Note: While elastic cartilage is highly durable, it lacks a direct blood supply (it is avascular), which means that if damaged, it heals very slowly compared to other tissues in the body.

Clinical Significance and Maintenance

Because the elastic cartilage location is often in exposed or functional areas, it is susceptible to specific types of trauma. Piercing the ear, for example, involves puncturing through the skin and the underlying elastic cartilage. Due to the lack of vascularity, these piercings require careful aftercare to prevent infection and allow the tissue to settle.

Protecting these areas involves general health practices that support connective tissue integrity:

  • Hydration: Cartilage is largely composed of water; staying hydrated helps maintain its elasticity.
  • Balanced Nutrition: Collagen-rich foods and Vitamin C are essential for the health of all cartilage types.
  • Trauma Avoidance: Activities that might crush or severely twist the external ear should be managed with protective gear.

Recognizing the elastic cartilage location in the body highlights how anatomy is perfectly adapted to function. Without the specific elastic properties of the cartilage in the epiglottis, we would struggle to eat safely. Without the cartilage in the pinna, our ability to localize sound would be compromised. The persistence of these structures throughout life underscores the necessity of maintaining connective tissue health through proper lifestyle choices and awareness of physical risks.

In the final analysis, understanding where elastic cartilage is found offers a deeper appreciation for the human body’s complex design. From the delicate curves of the ear to the life-saving mechanism of the epiglottis, this tissue is a cornerstone of our physiological success. By respecting the vulnerabilities and requirements of these specialized zones, we can better appreciate the intricate balance between structural strength and necessary flexibility that defines our physical existence.

Related Terms:

  • elastic cartilage under microscope
  • elastic connective tissue
  • elastic cartilage shape
  • hyaline cartilage location
  • fibrous cartilage function
  • elastic cartilage definition