Rp

Elbow Joint Effusion

Elbow Joint Effusion

The elbow is a complex hinge joint that allows us to perform a wide range of daily tasks, from lifting groceries to typing on a keyboard. However, when this joint becomes injured or inflamed, the body often reacts by producing excess synovial fluid. This condition is known as an Elbow Joint Effusion. While often referred to colloquially as "water on the elbow," it is a clinical sign that something deeper is affecting the joint’s structural integrity. Understanding the causes, symptoms, and management strategies for this condition is essential for anyone experiencing persistent elbow discomfort.

What is Elbow Joint Effusion?

Elbow Joint Effusion occurs when there is an abnormal accumulation of fluid within the joint capsule. The elbow joint is lined with a thin membrane called the synovium, which produces a small amount of fluid to lubricate the cartilage and allow for smooth movement. When the joint is irritated—due to trauma, infection, or chronic inflammatory diseases—the synovium overproduces this fluid, leading to swelling, stiffness, and restricted range of motion.

Because the elbow joint capsule is relatively tight, even a small increase in fluid volume can cause significant pressure. This pressure is often what leads to the sharp pain or aching sensation patients report. It is important to distinguish effusion from bursitis, as the former occurs inside the joint space, whereas bursitis typically occurs in the bursa sac outside the joint.

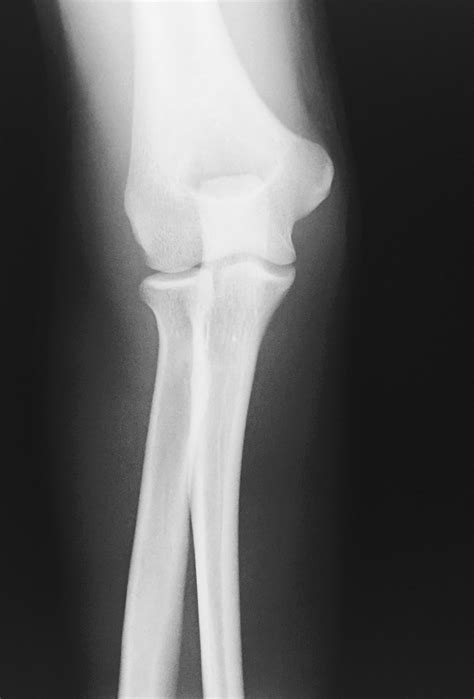
Anatomical representation of the elbow joint

Common Causes and Triggers

Identifying the root cause of an Elbow Joint Effusion is the first step toward effective treatment. The causes can range from acute physical injury to systemic medical conditions. Common triggers include:

  • Traumatic Injury: Fractures (such as a radial head fracture) or dislocations are the most common causes. The body triggers an inflammatory response to protect the area.
  • Rheumatoid Arthritis: This autoimmune condition causes the immune system to attack the joint lining, leading to chronic fluid buildup.
  • Osteoarthritis: Wear and tear of the cartilage can lead to inflammation and subsequent effusion.
  • Infection: A septic joint (bacterial infection) is a medical emergency that can cause rapid, painful swelling.
  • Gout or Pseudogout: The accumulation of crystal deposits in the joint space can trigger intense inflammation.

Signs and Symptoms to Monitor

Patients suffering from this condition often notice a combination of physical and functional changes. Recognizing these signs early can help in seeking timely medical advice. Key indicators include:

  • Visible Swelling: A puffy or bloated appearance around the back or sides of the elbow.
  • Restricted Mobility: Difficulty fully extending or flexing the arm.
  • Tenderness: Pain when applying pressure to the joint.
  • Warmth and Redness: If the area feels hot to the touch, it may indicate an underlying infection or acute inflammation.
  • Stiffness: Particularly noticeable after periods of inactivity, such as upon waking in the morning.

Diagnostic and Comparison Table

Understanding how medical professionals differentiate between types of swelling is vital for patient education. The following table illustrates common diagnostic considerations.

Condition Primary Location Common Diagnostic Tool
Elbow Joint Effusion Intra-articular (Inside the joint) Physical Exam / Ultrasound / MRI
Olecranon Bursitis Extra-articular (Over the bursa) Clinical Examination
Septic Arthritis Intra-articular (Joint space) Joint Aspiration (Fluid Analysis)

💡 Note: If you experience sudden, severe pain, high fever, or an inability to move your arm entirely, seek emergency medical care immediately, as these may be signs of a septic joint or significant fracture.

Treatment Approaches for Effusion

Management of Elbow Joint Effusion is highly dependent on the underlying cause. Treatment plans are generally divided into conservative and procedural interventions.

Conservative Management

For mild cases, physicians often recommend the R.I.C.E. protocol:

  • Rest: Avoiding activities that aggravate the elbow.
  • Ice: Applying cold packs for 15-20 minutes several times a day to reduce inflammation.
  • Compression: Using a light elastic wrap to manage swelling.
  • Elevation: Keeping the arm elevated above the level of the heart.

Medical Interventions

If conservative measures fail, your doctor might suggest more direct treatments:

  • Arthrocentesis: A procedure where a needle is used to drain excess fluid, which also provides a sample for lab analysis to rule out infection or gout.
  • Corticosteroid Injections: Powerful anti-inflammatory medication injected directly into the joint to manage chronic swelling from arthritis.
  • Physical Therapy: Once the acute inflammation subsides, specialized exercises help restore range of motion and strengthen the surrounding muscles.

💡 Note: Always consult with a healthcare provider before starting any new exercise regimen to ensure that you are not causing further irritation to the injured joint.

Preventive Strategies and Long-Term Care

Preventing recurrent Elbow Joint Effusion involves maintaining joint health through lifestyle modifications. Ergonomic adjustments at workstations are particularly effective for those who perform repetitive motions. Ensuring that your desk, chair, and keyboard are at the appropriate height can significantly reduce unnecessary stress on the elbow joint. Furthermore, engaging in regular, low-impact exercise helps keep the joint lubricated and the supporting muscles strong, which stabilizes the joint against sudden injury.

Nutrition also plays a role in joint health. An anti-inflammatory diet rich in Omega-3 fatty acids, turmeric, and leafy greens can support the body’s natural inflammatory response. Staying hydrated and maintaining a healthy weight can reduce the overall load on your joints, preventing the wear and tear that leads to degenerative conditions like osteoarthritis, a common precursor to chronic effusion.

Final Thoughts on Recovery

Dealing with Elbow Joint Effusion requires a balanced approach of patience and professional guidance. While the swelling itself is merely a symptom, addressing the underlying cause is the key to regaining full functionality in your arm. Whether the fluid buildup is due to a minor repetitive strain or an underlying systemic condition, early diagnosis is almost always associated with a better prognosis. By monitoring symptoms closely, utilizing conservative home care methods when appropriate, and working alongside a physical therapist or orthopedist, most individuals can successfully manage the condition and return to their normal daily activities without lingering pain or limitations. Remember that your body’s reaction to injury is its way of communicating; listening to that feedback is the most important part of your healing journey.

Related Terms:

  • joint effusion treatment
  • elbow joint effusion without fracture
  • elbow joint effusion x ray
  • elbow effusion recovery time
  • painless elbow effusion
  • elbow bursitis vs effusion