Cleve

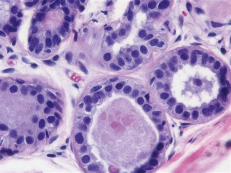
Epithelial Columnar Cells

Epithelial Columnar Cells

The human body is an intricate architectural marvel, composed of various tissue types that work in perfect harmony to sustain life. Among these, epithelial tissues serve as the primary protective barriers and functional interfaces between our internal systems and the external environment. Specifically, Epithelial Columnar Cells represent a specialized category of these tissues, defined by their unique elongated shape and versatile functional capabilities. Understanding these cells is fundamental to grasping how our digestive, respiratory, and reproductive systems absorb nutrients, secrete essential fluids, and provide defensive barriers against pathogens.

The Structural Anatomy of Epithelial Columnar Cells

To identify Epithelial Columnar Cells under a microscope, one must look for their characteristic height. Unlike squamous cells, which are flat, or cuboidal cells, which are equal in length and width, these cells are taller than they are wide, resembling columns standing side-by-side. Their nuclei are typically oval-shaped and are usually positioned near the basal surface of the cell, providing a organized, rhythmic appearance to the tissue layer.

These cells are classified based on their structural configuration:

Also read: Face Plus Plastic Surgery Clinic
  • Simple Columnar Epithelium: A single layer of tall, thin cells, often found in areas requiring high levels of absorption and secretion, such as the lining of the small intestine.
  • Pseudostratified Columnar Epithelium: A variation where the cells appear to be layered due to the varying positions of their nuclei, though every cell makes contact with the basement membrane. These are commonly found in the respiratory tract.
  • Ciliated vs. Non-ciliated: Some columnar cells feature tiny, hair-like projections called cilia on their apical surface, which act to move substances across the tissue surface, such as mucus in the lungs or ova in the fallopian tubes.

Functional Significance in Human Physiology

The strategic placement of Epithelial Columnar Cells within the body is no accident. Because of their vertical orientation, they provide ample space for complex internal machinery, such as extensive Golgi apparatus networks and rough endoplasmic reticulum, making them highly efficient at producing and secreting proteins, enzymes, and mucus.

The primary roles of these cells include:

  • Absorption: In the gastrointestinal tract, columnar cells utilize specialized structures like microvilli—a "brush border"—to exponentially increase the surface area available for nutrient uptake.
  • Secretion: Goblet cells, which are modified columnar cells, synthesize and secrete mucin, which hydrates and protects the underlying tissue.
  • Protection: By forming tight junctions between neighbors, these cells create a selective permeability barrier that prevents harmful substances or bacteria from penetrating into the bloodstream.
Feature Simple Columnar Pseudostratified Columnar
Nuclei Position Basal Varying (Gives layered look)
Primary Location Digestive tract, Stomach Respiratory tract
Function Absorption & Secretion Mucus movement (ciliary action)

⚠️ Note: While simple and pseudostratified columnar tissues share similar cell shapes, their physiological roles are distinct. Always observe the presence of cilia or goblet cells to differentiate their specific anatomical location.

Clinical Relevance and Pathology

When the delicate balance of Epithelial Columnar Cells is disrupted, it can lead to significant health consequences. A common issue is the process of metaplasia, where one type of epithelial cell is replaced by another due to chronic irritation. A classic example is Barrett’s Esophagus, where the squamous cells of the esophagus change into columnar cells to withstand the acid from chronic reflux; while this is an adaptive response, it also increases the risk of further health complications.

Additionally, because these cells have a high turnover rate—meaning they divide frequently to replace damaged tissue—they are sites where cellular replication errors can occur. Understanding how these cells maintain their integrity through junctional complexes and cell signaling is an active and vital area of modern oncological research.

Maintenance and Regenerative Capacity

The body maintains these columnar populations through stem cell niches located at the base of the tissue architecture. In the intestinal lining, for example, stem cells constantly differentiate into new Epithelial Columnar Cells to replace those that have reached the end of their life cycle, which is usually only a few days. This rapid regeneration is essential for repairing the wear and tear caused by passing food particles and exposure to digestive acids.

Supporting the health of these tissues involves:

  • Maintaining adequate hydration to support mucus production.
  • Consuming fiber, which aids in the mechanical health of the gastrointestinal lining.
  • Reducing exposure to chronic irritants like tobacco smoke or excessive alcohol, which can damage the delicate cilia of the respiratory columnar epithelium.

⚠️ Note: Chronic inflammation can impede the regenerative ability of stem cells, potentially leading to a breakdown in the barrier function of the epithelium.

The study of Epithelial Columnar Cells provides a window into the sophisticated design of the human body. From the microscopic microvilli that sustain our metabolism to the rhythmic cilia that clear our airways, these cells serve as the silent workers of our internal biology. By bridging the gap between structure and function, they protect our internal environment while facilitating the vital exchange of nutrients and gases. As scientific inquiry continues to evolve, our understanding of these specialized cells will undoubtedly lead to improved diagnostics and therapies for conditions where epithelial integrity is compromised, reinforcing the importance of keeping these complex, columnar building blocks healthy and functioning as intended.

Related Terms:

  • simple columnar epithelium cells
  • characteristics of simple columnar epithelium
  • what is columnar epithelium
  • what does simple columnar do
  • columnar cell function
  • 3 simple columnar epithelium