Fs

Face Change Sarpe Surgery

Face Change Sarpe Surgery

The pursuit of aesthetic perfection and the desire to correct facial anomalies have led to significant advancements in medical science. Among the various procedures available today, the term Face Change Sarpe Surgery often surfaces in discussions regarding complex jaw and facial reconstructions. While many people confuse this with purely cosmetic alterations, it is primarily a corrective orthodontic-surgical procedure designed to address significant maxillary transverse deficiency. Understanding what this surgery entails is crucial for patients who have been diagnosed with a narrow upper jaw, which can cause severe bite issues, breathing difficulties, and unwanted changes in facial aesthetics.

Understanding the Mechanics of SARPE

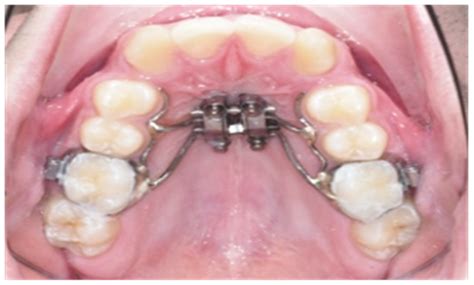
Illustration of the upper jaw expansion process

SARPE stands for Surgically Assisted Rapid Palatal Expansion. It is a specialized procedure that bridges the gap between traditional orthodontics and orthognathic surgery. Unlike non-surgical expansion, which is typically reserved for growing children whose palatal sutures have not yet fused, SARPE is specifically designed for adults or adolescents who have passed the developmental growth spurt.

The core objective is to widen the maxillary (upper) jaw. When the upper jaw is too narrow, the teeth do not align correctly with the bottom jaw, often leading to a crossbite. Furthermore, a narrow palate can contribute to a constricted airway, which may increase the risk of sleep apnea and persistent mouth breathing. By widening the jaw, surgeons can improve dental occlusion, facial symmetry, and overall respiratory function.

The Clinical Benefits and Candidates

Candidates for Face Change Sarpe Surgery typically present with a narrow maxilla that cannot be corrected by orthodontic appliances alone. Without surgical intervention, the resistance from the hardened mid-palatal suture would make simple expansion nearly impossible or result in significant dental damage. The benefits of the procedure extend far beyond just straightening teeth:

  • Enhanced Airway Capacity: By widening the floor of the nasal cavity, patients often experience improved nasal airflow.
  • Correction of Crossbites: Aligning the upper and lower arches ensures proper chewing function and prevents uneven wear of the enamel.
  • Aesthetic Improvement: A wider smile can significantly change the facial profile, often creating a more harmonious and balanced appearance.
  • Resolution of Crowding: Creating more space in the dental arch allows crowded teeth to shift into their proper positions.

⚠️ Note: It is essential to consult with both an orthodontist and a maxillofacial surgeon, as the planning process requires a multidisciplinary approach to ensure the expansion is stable and aligned with the patient's long-term dental health goals.

The Surgical Process: What to Expect

The procedure is typically performed under general anesthesia. During the surgery, the surgeon makes precise cuts, known as osteotomies, in the maxillary bone. These cuts are designed to release the tension of the fused sutures, allowing the palate to be moved outward. Once the bone is released, a distractor device is often placed across the palate.

Phase Description
Pre-operative Planning using 3D imaging and creating the custom expansion appliance.
Surgery Performing osteotomies to mobilize the maxilla.
Activation Gradually turning the expander to move the bone segments apart.
Retention Stabilizing the new position while the bone heals.

After the initial surgical phase, there is a waiting period—usually about a week—before the patient begins to "activate" the expansion device. This involves turning a screw in the appliance according to the surgeon's protocol, which applies a gentle force to the jaw segments, encouraging new bone growth in the space created.

Managing Recovery and Post-Surgical Care

Recovery from Face Change Sarpe Surgery is a marathon, not a sprint. Patients typically experience significant swelling during the first 72 hours, which is a normal response to the procedure. Pain management is handled through prescribed medication, and patients are usually advised to follow a soft-food diet for several weeks to avoid placing unnecessary stress on the healing jaw.

Maintaining oral hygiene is paramount during the activation phase. Because the expander sits against the roof of the mouth, it can trap food particles. Regular use of an irrigation syringe and antiseptic mouthwash is usually recommended to prevent infection and inflammation of the gum tissue.

💡 Note: Do not rush the activation phase. Following the specific turning schedule provided by your surgeon is critical; turning too fast can cause unnecessary discomfort or instability in the bone segments.

Long-term Orthodontic Integration

Once the desired expansion is achieved, the appliance is kept in place as a retainer to ensure that the bone consolidates correctly. After the consolidation period, the focus shifts back to traditional orthodontics. Most patients will require braces or clear aligners to finish closing any spaces that appeared between the front teeth during the expansion process and to finalize the alignment of the dental arches.

The synergy between the surgical expansion and subsequent orthodontic treatment is what ultimately yields the "face change" results many patients seek. By addressing the skeletal base first, orthodontists can achieve results that were previously considered impossible for adult patients. This comprehensive approach ensures that the teeth are not only straight but also supported by a stable, healthy bone structure.

Embarking on the journey toward a corrected jaw structure is a significant medical commitment, but for many, it is a life-changing decision. By understanding the nuances of the procedure, from the initial surgical intervention to the meticulous planning of the expansion phase, patients can better prepare themselves for the transformative experience ahead. Success in this field relies heavily on the collaboration between skilled medical professionals and the patient’s commitment to post-operative care, including oral hygiene and consistent appliance management. Ultimately, the integration of skeletal correction and orthodontic alignment paves the way for improved health, better functional performance, and a more confident smile, marking a milestone in both oral health and overall physical well-being.

Related Terms:

  • sarpe changes appearance reddit
  • sarpe effect on face
  • sarpe reddit
  • Sarpe Procedure
  • Sarpe Surgery Before and After
  • Sarpe Ortho