Cleve

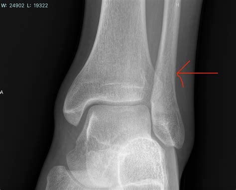
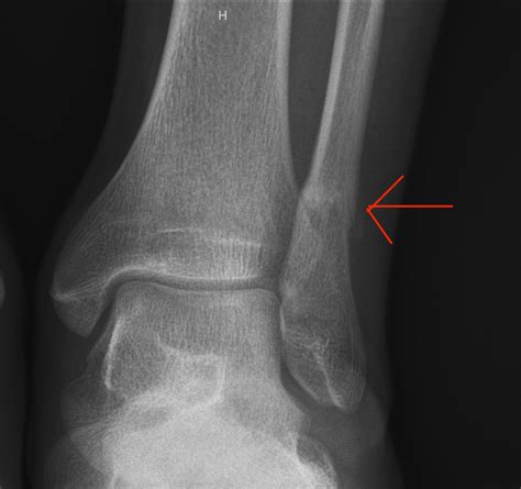
Fibula Stress Fracture

Fibula Stress Fracture

If you are an athlete, a dedicated runner, or someone who has recently ramped up their physical activity, you may have encountered persistent, localized pain in your lower leg. While many people immediately suspect shin splints, one often overlooked but serious injury is a Fibula Stress Fracture. Unlike a standard bone break caused by a single traumatic event, this injury develops gradually over time due to repetitive stress, micro-trauma, and mechanical overloading of the bone. Understanding the nuances of this condition—from identifying the early warning signs to navigating the recovery journey—is essential for anyone looking to return to their peak performance safely and effectively.

Understanding the Fibula Stress Fracture

The fibula is the thin, long bone located on the lateral (outer) side of the lower leg. While it does not bear the majority of your body weight—the tibia carries most of it—the fibula serves as a crucial anchor point for various muscles that control ankle stability and foot movement. A Fibula Stress Fracture occurs when the bone is subjected to repeated force faster than it can remodel and repair itself. Over time, these tiny, microscopic cracks accumulate, leading to structural weakness.

Common risk factors contributing to this injury include:

Also read: Face Surgery Male
  • Increased Training Volume: Suddenly increasing your mileage, intensity, or frequency of exercise.
  • Improper Footwear: Running in worn-out shoes that lack adequate cushioning or structural support.
  • Surface Changes: Transitioning from soft surfaces like grass or trails to hard surfaces like concrete or asphalt.
  • Nutritional Deficiencies: Low levels of Vitamin D or Calcium, which are vital for bone density.
  • Biomechanical Issues: Issues like overpronation or flat feet that alter the distribution of force through the lower limb.

Signs and Symptoms to Watch For

Recognizing the symptoms of a Fibula Stress Fracture early is the best way to prevent a minor issue from becoming a long-term setback. The onset is usually insidious, meaning it develops slowly rather than happening all at once.

Key symptoms include:

  • Localized pain that worsens during activity and improves with rest.
  • Point tenderness, where the pain is centralized in one specific spot along the fibula bone.
  • Mild swelling or redness in the area surrounding the fracture site.
  • Pain that persists even after activity has stopped, or aching during the night.

If you find that the pain persists for more than two weeks despite taking rest days, it is highly recommended to seek a professional medical evaluation, such as an X-ray or MRI, to confirm the diagnosis.

Comparing Stress Injuries

It is easy to confuse a fibula stress fracture with other common leg ailments. The following table provides a quick reference to help distinguish these conditions.

Condition Primary Location Nature of Pain
Fibula Stress Fracture Outer lower leg Sharp, point-specific
Medial Tibial Stress Syndrome Inner shin (tibia) Diffuse, aching
Muscle Strain Muscle belly Burning, associated with movement

💡 Note: While these comparisons are helpful, a professional diagnosis is the only way to be certain. Never attempt to "run through" pain, as this can convert a stress reaction into a full, displaced fracture.

The Road to Recovery and Rehabilitation

Recovery from a Fibula Stress Fracture requires patience and a structured approach. The primary goal is to offload the bone to allow it to heal while preventing muscle atrophy. Typically, the recovery timeline ranges from 6 to 12 weeks, depending on the severity of the stress fracture.

Phases of Recovery:

  1. Rest and Protection: In the initial phase, you must stop the activity that caused the pain. In some cases, a doctor may recommend a walking boot or crutches to limit weight-bearing stress on the fibula.
  2. Gradual Loading: Once the pain subsides, you can introduce low-impact activities like swimming or cycling, which allow for cardiovascular maintenance without pounding the bones.
  3. Strengthening: Focus on the muscles surrounding the lower leg, such as the calves, ankles, and hip stabilizers, to ensure better shock absorption when you return to high-impact training.
  4. Gradual Return to Sport: This is a phased process. Start by alternating walking and light jogging, monitoring the area for any return of pain. If pain persists, take an extra rest day.

💡 Note: Always consult with a physical therapist before reintroducing high-impact sports. They can assess your gait and provide personalized strengthening exercises to address the root cause of the fracture.

Preventing Future Stress Fractures

Once you have healed, the goal shifts to prevention. Strengthening your skeletal system is a lifestyle commitment. Focus on a diet rich in calcium and Vitamin D, which are the building blocks of bone health. Furthermore, ensure you follow the “10% rule”—never increase your weekly training distance or intensity by more than 10% from the previous week. This gives your bones adequate time to adapt to new stresses.

Finally, invest in proper gear. If you are a runner, replace your shoes every 300 to 500 miles. Wear-and-tear on footwear compromises their shock-absorbing capabilities, placing the burden directly back onto your fibula.

Recovering from a fibula stress fracture is undeniably challenging, but it is also an opportunity to reevaluate your physical habits. By listening to your body, prioritizing rest when symptoms arise, and slowly rebuilding your strength through mindful progression, you can successfully return to your favorite activities. Remember that consistency in your recovery and a focus on preventative care will not only help your current injury heal but will also fortify your body against similar injuries in the future. Stay patient, trust the healing process, and ensure your return to activity is as gradual and supported as possible.

Related Terms:

  • fibula stress fracture healing time
  • stress fracture of tibia
  • symptoms of tibial stress fracture
  • stress fracture fibula mri
  • symptoms of fibula stress fracture
  • fibula stress fracture recovery time