Mayo

First Carpometacarpal Joint

First Carpometacarpal Joint

The first carpometacarpal joint, often referred to as the CMC joint of the thumb, is a marvel of human anatomy. It serves as the critical bridge between the trapezium bone in the wrist and the first metacarpal bone of the thumb. Because of its unique saddle-shaped configuration, this joint provides the thumb with an extraordinary range of motion, allowing for opposition—the ability to touch the tip of the thumb to the tips of other fingers. This function is essentially what differentiates human dexterity from that of most other primates, enabling us to grasp, pinch, hold tools, and perform intricate tasks with precision.

Anatomy and Functional Significance

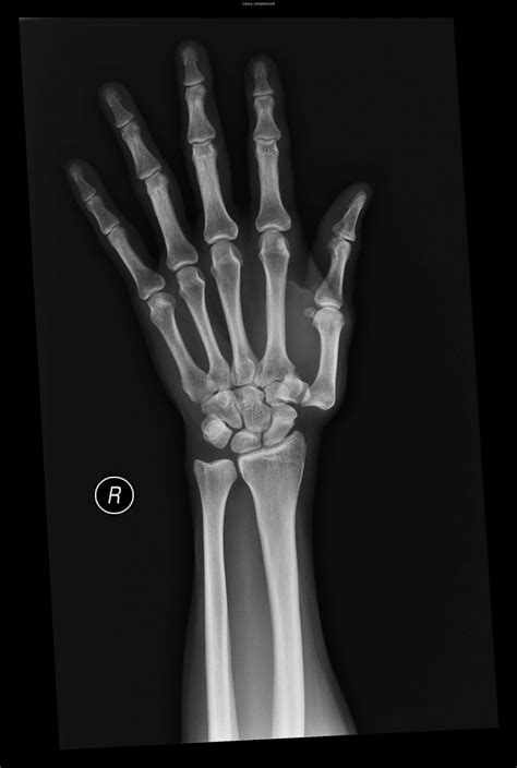
Anatomy of the hand and thumb joint

Understanding the structure of the first carpometacarpal joint requires looking at the complex interaction of bones and ligaments. It is a saddle joint, meaning each articular surface is concave in one direction and convex in the other, fitting together like a rider in a saddle. This geometry allows for movement in multiple planes:

  • Flexion and Extension: Moving the thumb across the palm or away from it.
  • Abduction and Adduction: Moving the thumb away from and toward the index finger.
  • Circumduction: A combination of these movements, creating a conical motion.
  • Opposition: Rotating the thumb to meet the other fingers.

The stability of this joint is maintained not by bony constraints, which are minimal to allow for mobility, but by a complex system of ligaments. The anterior oblique ligament (AOL), also known as the beak ligament, is widely considered the most important stabilizer, preventing the metacarpal from dislocating or shifting improperly during heavy use.

Common Pathologies Affecting the Joint

Due to the high frequency of use and the inherent instability required for its range of motion, the first carpometacarpal joint is highly susceptible to degenerative conditions. As we age, or due to repetitive stress, the cartilage that cushions the joint can wear away, leading to osteoarthritis.

Osteoarthritis of the Thumb

Thumb CMC arthritis is one of the most common causes of hand pain, particularly in women over the age of 50. The degradation of the articular cartilage leads to inflammation, pain at the base of the thumb, and eventually bone-on-bone contact, which causes significant discomfort and loss of function.

Symptoms to Watch For

  • Tenderness or swelling at the base of the thumb.
  • Pain that worsens when gripping or pinching (e.g., turning a key or opening a jar).
  • Reduced strength in pinch and grip.
  • A visible bump or “squared-off” appearance at the base of the thumb.
  • Grinding sensation (crepitus) during movement.

Comparison of Treatment Approaches

Management of conditions affecting the first carpometacarpal joint ranges from conservative lifestyle modifications to surgical intervention, depending on the severity of the symptoms and the level of functional impairment.

Approach Description Best For
Activity Modification Avoiding repetitive pinch movements and using ergonomic tools. Early-stage pain
Splinting/Bracing Wearing a thumb spica or CMC stabilizer to immobilize the joint. Reducing acute inflammation
Physical Therapy Strengthening the intrinsic muscles around the thumb. Improving stability and function
Surgical Intervention Procedures like trapeziectomy or joint fusion. Severe, debilitating arthritis

⚠️ Note: Always consult with a hand specialist or orthopedic surgeon before initiating any splinting regimen to ensure it is appropriate for your specific stage of joint degradation.

Diagnostic Procedures

When you visit a physician regarding persistent pain in the first carpometacarpal joint, they will likely start with a physical examination. The “grind test” is a common clinical maneuver where the doctor applies axial pressure to the thumb metacarpal and rotates it; if this causes pain or grinding, it is a strong clinical indicator of arthritis.

To confirm the diagnosis and assess the severity, imaging is necessary:

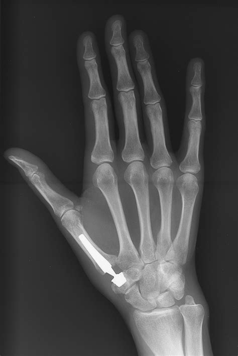
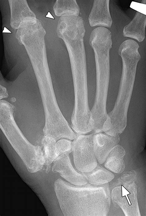
  • X-rays: Standard imaging to look for joint space narrowing, bone spurs (osteophytes), and subluxation.
  • MRI or Ultrasound: Less commonly required for standard arthritis but useful if there is suspicion of ligament tears or soft tissue pathology.

The Role of Occupational Therapy

Occupational therapy plays a pivotal role in managing first carpometacarpal joint dysfunction. A therapist can provide custom splints that offer support without completely restricting the thumb’s utility. They also teach “joint protection techniques,” which focus on using larger joints or adaptive equipment to perform tasks that typically place stress on the base of the thumb. For example, using a jar opener or an ergonomic key turner can drastically reduce the force applied to the CMC joint during daily activities.

💡 Note: Consistent, gentle exercises focused on the thenar muscles can improve joint stability by keeping the ligaments and surrounding tendons engaged and strong.

Surgical Considerations

If conservative treatments fail, surgical options for the first carpometacarpal joint are generally highly successful. The most common procedure is a trapeziectomy, where the trapezium bone is removed, and the remaining space is often filled with a tendon graft to provide stability. While recovery requires patience and rehabilitation, most patients experience significant pain relief and improved thumb function following the procedure.

The first carpometacarpal joint is an essential component of hand function that allows humans to perform the complex, fine-motor tasks necessary for daily living. While it is prone to wear and tear over time, early recognition of symptoms and appropriate management can effectively mitigate pain and preserve function. By balancing rest, targeted exercise, and, if necessary, medical or surgical interventions, individuals can continue to maintain their quality of life despite challenges related to this vital joint. Understanding the anatomy and taking proactive steps early on remains the most effective strategy for ensuring long-term thumb health and hand capability.

Related Terms:

  • carpometacarpal joint anatomy
  • carpometacarpal joint of right hand
  • joint between carpal and metacarpal
  • cmc joint full form
  • 1st carpal metacarpal joint
  • triscaphe and first carpometacarpal joints