Cleve

Focal Glomerulosclerosis Kidney Disease

Focal Glomerulosclerosis Kidney Disease

Receiving a diagnosis related to Focal Glomerulosclerosis Kidney Disease, often medically referred to as Focal Segmental Glomerulosclerosis (FSGS), can be an overwhelming experience for patients and their families. This condition affects the tiny filtering units of the kidneys known as glomeruli, leading to scarring that hinders the body's ability to filter waste products from the blood effectively. Because the disease can progress silently in its early stages, understanding its underlying mechanisms, symptoms, and management strategies is essential for those navigating this health journey.

What is Focal Glomerulosclerosis Kidney Disease?

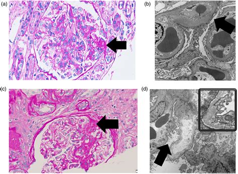
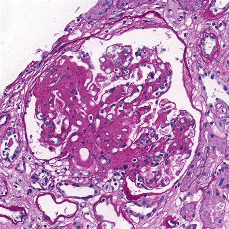
Focal Glomerulosclerosis Kidney Disease is a serious condition characterized by the formation of scar tissue in some, but not all, of the glomeruli in the kidneys. The term "focal" indicates that only a portion of the glomeruli are affected, while "segmental" refers to the fact that only part of an individual glomerulus is scarred. When these filtering units become damaged and scarred, the kidneys begin to leak protein into the urine, a condition known as proteinuria, which is a hallmark sign of the disease.

The condition can be classified into two primary categories:

  • Primary FSGS: This type occurs without a clear underlying cause, often stemming from an autoimmune reaction or genetic factors.
  • Secondary FSGS: This type develops as a result of other health conditions, such as high blood pressure, obesity, viral infections, or the use of certain medications.

Recognizing the Symptoms

Because the initial symptoms of Focal Glomerulosclerosis Kidney Disease are often non-specific, many individuals may not realize they have the condition until routine medical testing reveals an abnormality. However, as the damage to the kidney filters progresses, several common symptoms may manifest:

  • Edema: Swelling, particularly in the legs, ankles, feet, or around the eyes, caused by fluid retention.
  • Proteinuria: Foamy or bubbly urine, which occurs due to the high levels of protein being excreted from the blood into the urine.
  • High Blood Pressure: Hypertension is both a potential cause and a common symptom of worsening kidney function.
  • Fatigue: A general feeling of tiredness or weakness, often associated with a decline in overall health and potential anemia.
  • Weight Gain: Unexpected weight gain due to significant fluid buildup in the body.

⚠️ Note: If you notice persistent swelling or changes in your urine, consult a healthcare provider immediately for a urinalysis and blood pressure assessment.

Diagnostic Procedures

To confirm a diagnosis of Focal Glomerulosclerosis Kidney Disease, physicians rely on a combination of laboratory tests and imaging. Because the scarring is "focal," the diagnosis requires a microscopic examination of kidney tissue.

Diagnostic Test Purpose
Urinalysis Checks for high levels of protein in the urine.
Blood Tests Measures serum creatinine and GFR to estimate kidney function.
Kidney Biopsy Retrieves a small tissue sample to view scarring under a microscope.
Genetic Testing Identifies inherited mutations that may cause the disease.

Management and Treatment Strategies

While there is no single "cure" that works for every patient, the primary goal of managing Focal Glomerulosclerosis Kidney Disease is to reduce proteinuria, protect the remaining healthy kidney function, and prevent the progression to end-stage renal disease (ESRD).

Common therapeutic approaches include:

  • Blood Pressure Control: Using ACE inhibitors or ARBs, which are medications that help reduce pressure within the glomeruli and lower protein levels in the urine.
  • Immunosuppressive Therapy: For primary FSGS, doctors may prescribe corticosteroids or other immune-modulating drugs to stop the immune system from attacking the kidneys.
  • Diuretics: Often referred to as "water pills," these help the body flush out excess fluid to reduce edema.
  • Dietary Adjustments: A low-salt and protein-controlled diet can help reduce the workload on the kidneys and manage blood pressure.

Lifestyle modifications play a crucial role alongside medical treatment. Patients are encouraged to maintain a healthy weight, avoid smoking, and engage in regular, moderate exercise as approved by their nephrologist. Managing secondary factors like diabetes or hypertension is also vital for long-term health outcomes.

Living with the Condition

Living with Focal Glomerulosclerosis Kidney Disease requires a proactive partnership with a dedicated healthcare team. Regular follow-up appointments are necessary to monitor the GFR (Glomerular Filtration Rate) and albumin levels. Because emotional well-being is closely tied to physical health, joining support groups or speaking with counselors can help individuals manage the stress associated with chronic kidney conditions.

Every patient responds differently to treatment. Some individuals may experience periods of remission where protein levels stabilize, while others may require long-term management to slow the disease’s progression. Adherence to prescribed medication regimens and monitoring dietary sodium intake are two of the most significant ways a patient can actively contribute to their own care plan. By remaining informed about current research and adhering strictly to medical advice, many people with this condition continue to lead fulfilling and productive lives while managing their kidney health effectively.

Related Terms:

  • segmental glomerulosclerosis
  • focal segmental glomerulosclerosis
  • focal segmental glomerulosclerosis treatment
  • focal global glomerulosclerosis
  • focal segmental glomerulosclerosis causes
  • focal glomerular sclerosis