Rp

Focal Nodular Hyperplasia

Focal Nodular Hyperplasia

Discovering a growth in the liver can be an overwhelming experience, often triggering immediate concern about potential malignancies. However, one of the most common benign liver lesions encountered in clinical practice is Focal Nodular Hyperplasia (FNH). Often discovered incidentally during imaging scans for unrelated medical issues, FNH is a non-cancerous mass that rarely causes symptoms or requires aggressive treatment. Understanding what this condition is, how it is diagnosed, and why it generally poses no threat to your health is crucial for alleviating the anxiety that often accompanies a medical report mentioning a liver lesion.

What Exactly is Focal Nodular Hyperplasia?

Focal Nodular Hyperplasia is the second most common benign liver tumor, right after the hepatic hemangioma. It is essentially a regenerative response of the liver to an underlying vascular malformation. Unlike malignant liver tumors, FNH does not represent a precursor to cancer, nor does it have the potential to spread to other parts of the body (metastasize). The lesion is composed of a disorganized, yet benign, arrangement of normal liver cells (hepatocytes), bile ducts, and blood vessels.

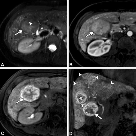
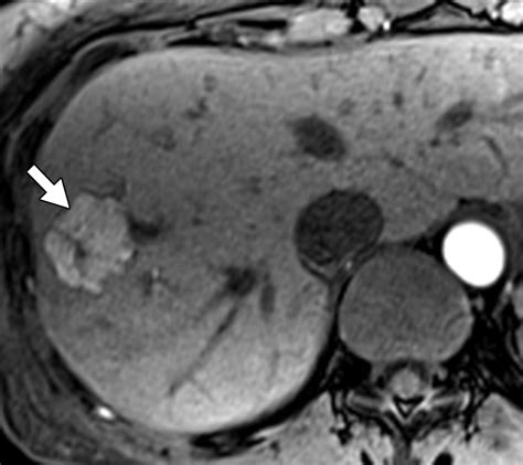
The hallmark of Focal Nodular Hyperplasia is the presence of a central fibrous scar. When radiologists view this mass through imaging technology, this central scar is a key diagnostic feature that helps distinguish it from other types of liver growths, such as hepatocellular adenomas or malignant carcinomas.

Key Characteristics and Differences

To better understand why clinicians prioritize accurate diagnosis, it is helpful to look at how FNH compares to other liver lesions. While FNH is benign and usually stable, other types of lesions may require closer monitoring or surgical intervention.

Feature Focal Nodular Hyperplasia (FNH) Hepatic Adenoma
Malignant Potential None Low to moderate
Association with Oral Contraceptives Weak or none Strong
Appearance on Imaging Central fibrous scar Often heterogeneous, no scar
Symptoms Rarely symptomatic Can cause pain or bleeding

Why Does FNH Develop?

The exact cause of Focal Nodular Hyperplasia remains somewhat elusive, but the prevailing theory among medical researchers is the "vascular theory." This suggests that a localized vascular injury or malformation leads to an increase in blood flow to a specific part of the liver. The liver tissue in that area reacts to this increased blood flow by undergoing a regenerative, hyperplastic growth, which results in the nodular mass we define as FNH.

While historically it was believed that estrogen played a major role in the development of Focal Nodular Hyperplasia, current evidence is less definitive. Unlike liver adenomas, which have a clear link to the use of oral contraceptives or anabolic steroids, FNH does not show a strong correlation with exogenous hormone use. Consequently, women diagnosed with FNH are not necessarily advised to discontinue contraceptive use, though individual medical advice from a hepatologist is always recommended.

Clinical Symptoms and Diagnosis

In the vast majority of cases, Focal Nodular Hyperplasia is entirely asymptomatic. Most patients are unaware they have the condition until an ultrasound, CT scan, or MRI is performed for an unrelated reason, such as checking for gallstones or abdominal pain. When symptoms do occur—usually only in very large lesions—they may include mild abdominal discomfort or a sense of fullness in the upper right quadrant of the abdomen.

Diagnostic imaging is the cornerstone of confirming FNH. Radiologists look for specific signatures:

  • MRI (Magnetic Resonance Imaging): This is the gold standard for diagnosing Focal Nodular Hyperplasia. Using specific contrast agents (like gadoxetate disodium), doctors can observe the unique way the mass absorbs and excretes the contrast, which is highly characteristic of FNH.
  • CT Scan: Often shows a typical arterial enhancement pattern.
  • Ultrasound: Generally the first line of detection, though it may not provide enough detail to distinguish FNH from other lesions, leading to follow-up cross-sectional imaging.

⚠️ Note: Biopsies are rarely performed for FNH today. Because imaging techniques have become so precise, the risk of a biopsy—which includes bleeding or potential infection—is usually considered unnecessary compared to the diagnostic certainty provided by an MRI.

Management and Follow-Up

Because Focal Nodular Hyperplasia is a benign process, the standard approach is "watchful waiting" or simple clinical observation. If the imaging is conclusive, there is no need for surgical removal, chemotherapy, or radiation. Unlike adenomas, which may rupture or transition into cancer, FNH is stable and does not regress or grow significantly in most adult patients.

Follow-up protocols vary, but often include:

  • Initial Confirmation: A high-quality MRI with contrast to confirm the diagnosis.
  • Monitoring: Some clinicians may suggest a follow-up scan after 6 to 12 months to ensure stability, though many guidelines suggest that if the diagnosis is clear and the patient is asymptomatic, further imaging is not strictly necessary.
  • Symptom Management: If the lesion is large and causes significant discomfort or pressure on nearby organs, surgical resection or interventional radiology procedures may be discussed, though this is rare.

Lifestyle and Long-Term Outlook

For individuals living with Focal Nodular Hyperplasia, the long-term prognosis is excellent. It is a non-progressive condition that does not affect liver function. Patients are not typically required to follow a specific diet or restrict physical activity. The primary impact of this diagnosis is psychological; knowing that a "mass" in the liver is not cancer is often the most important step in the patient's journey.

It is important to maintain regular check-ups with a primary care physician or a gastroenterologist to ensure that any new symptoms are addressed. However, because FNH carries no malignant risk, it generally does not alter one’s life expectancy or overall quality of life. The best approach is to view the FNH as an incidental anatomical variation rather than a chronic disease that requires active treatment.

Finding out you have a liver lesion can feel like a daunting diagnosis, but it is essential to remember that Focal Nodular Hyperplasia is a benign, non-progressive finding that is commonly seen in healthy adults. Because it lacks the capacity to turn into cancer and rarely causes functional issues for the liver, medical providers usually adopt a conservative strategy of observation. By relying on high-resolution imaging to confirm the identity of the mass, patients can avoid unnecessary procedures and find peace of mind. Ultimately, this condition serves as a reminder of the liver’s remarkable ability to regenerate and adapt to its vascular environment, and in the case of FNH, this process is entirely harmless for the vast majority of people.

Related Terms:

  • focal nodular hyperplasia surveillance
  • focal nodular hyperplasia causes
  • focal nodular hyperplasia symptoms
  • focal nodular hyperplasia liver
  • focal nodular hyperplasia pregnancy
  • focal nodular hyperplasia treatment