Cleve

Focal Segmental Glomerular

Focal Segmental Glomerular

Receiving a diagnosis related to kidney health can be an overwhelming experience, especially when dealing with complex terms like Focal Segmental Glomerular sclerosis, often abbreviated as FSGS. This condition is not a single disease but rather a pathological finding that indicates scarring in the small filters within your kidneys, known as glomeruli. Understanding what this means for your body is the first step toward managing your health effectively and working closely with your medical team to preserve kidney function for as long as possible.

What is Focal Segmental Glomerular Sclerosis?

The term Focal Segmental Glomerular sclerosis describes a specific pattern of damage. "Focal" means that only some of the glomeruli are scarred, while "segmental" indicates that only a portion of each individual glomerulus is affected. Glomeruli are the tiny units in your kidneys responsible for filtering waste and excess fluids from your blood. When these units become scarred, they cannot function correctly, which may lead to the leakage of protein into the urine, a condition known as proteinuria.

There are two primary categories of this condition that doctors distinguish between when planning treatment:

  • Primary FSGS: This occurs spontaneously without a clear external cause, often related to immune system dysfunction or genetic factors.
  • Secondary FSGS: This form develops as a result of other underlying issues, such as obesity, chronic viral infections, hypertension, or the use of certain medications.

Common Symptoms and Clinical Indicators

Many individuals living with Focal Segmental Glomerular issues may not experience noticeable symptoms in the early stages. Often, the condition is discovered during routine physical exams through blood or urine tests. However, as the damage progresses, specific signs may become evident:

  • Edema: Swelling, particularly in the legs, ankles, feet, or sometimes around the eyes, caused by fluid retention.
  • Proteinuria: High levels of protein in the urine, which might cause the urine to appear foamy or bubbly.
  • Fatigue: A general feeling of tiredness resulting from the body struggling to maintain balance.
  • High Blood Pressure: Often both a cause and a consequence of kidney stress.

⚠️ Note: If you notice persistent swelling or changes in your urine, schedule an appointment with a healthcare provider immediately to run a urinalysis and blood pressure assessment.

Diagnostic Procedures

To confirm the presence of Focal Segmental Glomerular damage, medical professionals rely on a specific set of diagnostic tools. Because symptoms overlap with other types of kidney disease, a precise diagnosis is essential for tailoring an effective treatment plan.

Test Type Purpose
Urinalysis To detect protein, blood, or high albumin levels.
Blood Tests To measure creatinine levels and estimate the Glomerular Filtration Rate (GFR).
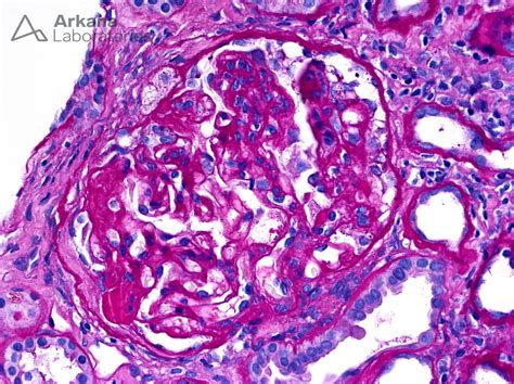
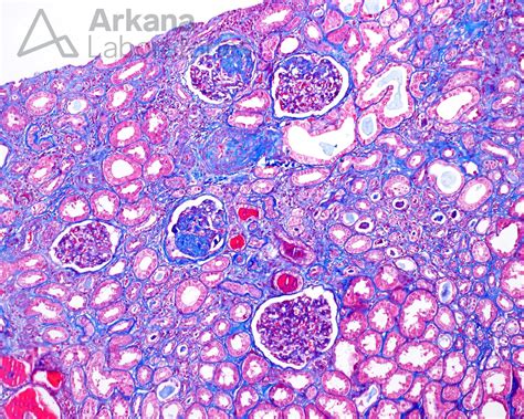
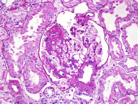
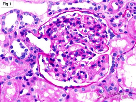
Kidney Biopsy The gold standard to visualize scarring under a microscope.

Treatment Strategies and Management

While there is no "cure" in the traditional sense, the primary goal of managing Focal Segmental Glomerular sclerosis is to slow the progression of scarring and minimize symptoms. Treatment is highly personalized based on the underlying cause and the severity of the damage.

Management strategies often include:

  • ACE Inhibitors or ARBs: These medications are frequently prescribed to lower blood pressure and reduce the amount of protein leaking into the urine.
  • Immunosuppressants: If the condition is thought to be driven by an overactive immune system, these drugs can help quiet the inflammation.
  • Dietary Adjustments: Reducing salt intake is critical to managing blood pressure and fluid retention. Your doctor may also suggest limiting protein intake to reduce the workload on your kidneys.
  • Diuretics: These help the body remove excess fluid to manage swelling.

Living with Kidney Health Challenges

Adopting a lifestyle that supports renal function is vital. This includes regular monitoring of your blood pressure and consistent follow-up appointments. Staying hydrated, maintaining a healthy weight, and avoiding substances that are toxic to the kidneys—such as certain over-the-counter anti-inflammatory drugs—can make a significant difference. Educating yourself about Focal Segmental Glomerular progression allows you to advocate for your own care and participate actively in treatment decisions.

💡 Note: Always consult with a nephrologist before starting any new supplements or herbal remedies, as many can inadvertently strain compromised kidneys.

Monitoring Long-term Progression

Managing the condition is a marathon, not a sprint. Patients are encouraged to keep a log of their blood pressure readings and any physical changes they observe. Tracking the GFR (Glomerular Filtration Rate) over time provides the most accurate picture of how your kidneys are handling their filtration duties. By maintaining a strict adherence to prescribed medication protocols and attending regular checkups, many patients are able to stabilize their condition for extended periods.

The journey with Focal Segmental Glomerular sclerosis requires patience, consistency, and a strong partnership with your medical team. While the diagnosis may feel daunting, modern nephrology offers a variety of tools to manage protein loss, blood pressure, and inflammation. By focusing on consistent monitoring, dietary modifications, and adhering to the therapeutic plan outlined by your specialist, you are taking the most effective steps toward preserving your quality of life and ensuring your long-term health. Remember that you are not alone in this process, and focusing on small, manageable changes each day is the most sustainable way to protect your kidney health into the future.

Related Terms:

  • nephrotic syndrome fsgs
  • focal segmental glomerulosclerosis symptoms
  • focal segmental glomerulosclerosis genetic
  • focal segmental glomerulosclerosis causes
  • glomerulonephritis
  • focal segmental glomerulosclerosis treatment