Cleve

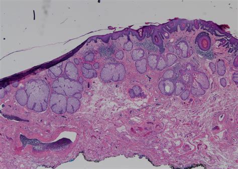
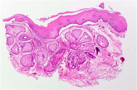
Fordyce Granules Vulva

Fordyce Granules Vulva

Discovering unexpected bumps on your body can be a source of significant anxiety, especially when they appear in intimate areas. Many women often panic when they first notice small, pale, or skin-colored elevations on their genital area, immediately fearing the worst regarding their sexual health. However, one of the most common and completely benign conditions you might encounter is the presence of Fordyce granules vulva. These tiny, harmless sebaceous glands are a natural part of human anatomy, yet they are frequently misidentified due to a lack of public awareness. Understanding exactly what these spots are, why they appear, and how to distinguish them from other conditions is essential for peace of mind and reproductive health literacy.

What Exactly Are Fordyce Granules?

Fordyce granules, also known as Fordyce spots, are essentially visible sebaceous glands that have migrated to the surface of the skin. Unlike typical sebaceous glands that are attached to hair follicles and produce oil to lubricate hair, Fordyce granules exist independently. In the context of the vulva, they appear as small, painless, yellowish-white or skin-colored bumps that are typically 1 to 3 millimeters in diameter.

These spots are present at birth, but they often become much more prominent during puberty when hormonal shifts trigger the glands to enlarge and become more visible. It is important to emphasize that they are not an infection, they are not contagious, and they are not considered a sexually transmitted disease. They are a perfectly normal anatomical variant found in a large percentage of the population.

Characteristics and Appearance

When identifying Fordyce granules vulva, there are specific visual markers to look for. Recognizing these can help you differentiate them from other skin conditions that might require medical attention. Common characteristics include:

  • Texture: They usually feel like tiny, raised bumps or feel slightly rough to the touch.
  • Color: They often appear as pale, off-white, yellowish, or flesh-toned dots.
  • Symmetry: They frequently appear in small clusters or patches, often symmetrically on both sides of the vulva.
  • Painless: They do not typically cause itching, burning, or pain unless they are physically irritated by tight clothing.

Because these spots can look similar to other conditions, it is helpful to have a point of reference. Below is a comparison table to help visualize how they differ from other common concerns.

Condition Visual Appearance Associated Symptoms
Fordyce Granules Tiny, pale, painless clusters None
Genital Warts Cauliflower-like or raised bumps Potential itching or tenderness
Ingrown Hairs Red, inflamed, tender bump Pain and localized swelling
Molluscum Contagiosum Dome-shaped with a central dimple May be itchy or inflamed

Why Do They Appear on the Vulva?

The skin of the vulva is highly specialized and is home to a high density of glands. Since Fordyce granules are simply ectopic sebaceous glands—meaning they are in a place where they don't produce hair—their presence is entirely natural. During periods of hormonal fluctuation, such as puberty, pregnancy, or during the menstrual cycle, these glands can become slightly more enlarged or noticeable.

Most dermatologists and gynecologists agree that these granules do not require any medical intervention. They are not a sign of poor hygiene, nor are they caused by anything you have done or failed to do. They are simply a biological characteristic of your skin’s architecture.

How to Manage and Treat Them

Because Fordyce granules are non-pathological, there is no medical requirement to "treat" or remove them. However, if the appearance of these spots causes you significant cosmetic distress or psychological discomfort, you may be tempted to seek removal options. It is crucial to approach this with caution.

Common cosmetic approaches that some dermatologists might consider include:

  • Laser Treatment: Certain CO2 lasers can be used to flatten the tissue, though this carries a risk of scarring.
  • Cryotherapy: Freezing the area, though this is rarely recommended for such delicate tissue.
  • Topical Agents: Some physicians may experiment with retinoids or specialized chemical peels, though results are often temporary and not highly effective.

💡 Note: Never attempt to squeeze, pop, or perform "bathroom surgery" on these bumps. Doing so will not make them disappear and can lead to painful secondary infections, inflammation, and unnecessary scarring in sensitive tissue.

When to Consult a Healthcare Professional

While Fordyce granules vulva are benign, it is always a smart practice to prioritize your sexual health. You should schedule an appointment with your gynecologist or a dermatologist if you notice any of the following changes:

  • The bumps suddenly change in size, shape, or color.
  • You experience persistent itching, burning, or bleeding from the area.
  • You notice sores or ulcers that do not heal.
  • The appearance of the bumps does not match the description of Fordyce spots and causes you ongoing anxiety.

When visiting a doctor, you can be straightforward about your concerns. Simply mentioning that you have noticed "small bumps" in the genital area is enough for a medical professional to perform a standard examination. In most cases, a simple physical inspection is all that is needed for a diagnosis, and the doctor will likely provide instant reassurance regarding the harmless nature of the granules.

Final Thoughts on Genital Skin Health

Navigating the nuances of our own bodies can be overwhelming, but knowledge is your most powerful tool. Understanding that Fordyce granules vulva are a normal, common, and harmless occurrence is the first step toward reducing unnecessary medical anxiety. By monitoring your body for changes and seeking professional guidance when you feel unsure, you can maintain both your physical health and your mental well-being. Remember that your skin, including the delicate skin of the vulva, is unique, and small variations like these are simply a part of your individual anatomy. If you feel confident that the bumps you see align with the characteristics of Fordyce spots, you can rest assured that they require nothing more than simple observation and normal hygiene. Embracing the reality of your body’s natural state allows you to focus on overall wellness rather than worrying over harmless, everyday biological features.

Related Terms:

  • Fordyce Granules Buccal Mucosa
  • Fordyce Granules Mouth
  • Fordyce Granules Intraoral
  • Fordyce Granules Gingiva
  • Fordyce Granules Lip
  • Fordyce Granules On Gums