Rp

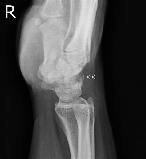
Fracture Triquetral Bone

Fracture Triquetral Bone

The wrist is a complex network of small bones, ligaments, and tendons that allow for intricate movements. Among the eight carpal bones located in the wrist, the triquetrum sits on the ulnar side, playing a crucial role in wrist stability and motion. A fracture triquetral bone is a relatively common injury in orthopedics, often occurring as a result of a fall onto an outstretched hand or a high-impact collision. While it is the second most common fracture among the carpal bones, it is frequently misdiagnosed due to the subtlety of the symptoms and the difficulty of detecting small cracks on standard X-rays.

Understanding the Triquetral Bone

The triquetrum is a pyramidal-shaped bone located on the ulnar side of the wrist, just distal to the ulna. It articulates with the lunate bone, the hamate bone, and the triangular fibrocartilage complex (TFCC). Because of its unique anatomical position, a fracture triquetral bone often occurs at the dorsal aspect of the bone. These fractures are typically classified as either an avulsion fracture—where a small piece of bone is pulled away by a ligament—or a body fracture resulting from direct trauma.

Common Causes and Risk Factors

Most instances of a fracture triquetral bone occur due to acute trauma. When an individual falls, the natural instinct is to extend the hand to break the impact. This sudden compression can force the carpal bones against one another, leading to a break. Common scenarios include:

  • Sports injuries: High-impact sports like football, basketball, or mountain biking often result in wrist trauma.
  • Motor vehicle accidents: The sudden impact of an accident can cause severe strain on the wrist joint.
  • Falls: Tripping or slipping on uneven surfaces remains the leading cause of carpal bone injuries across all age groups.

Signs and Symptoms of a Triquetral Fracture

Identifying this type of injury early is vital for successful recovery. Because the pain can sometimes feel like a simple sprain, many patients wait too long to seek medical attention. You should be vigilant for the following signs:

  • Localized pain: Tenderness is usually felt specifically on the ulnar (pinky) side of the wrist.
  • Swelling and bruising: Immediate swelling often occurs over the dorsal aspect of the wrist.
  • Pain with movement: Difficulty or pain when flexing or extending the wrist, or while rotating the forearm.
  • Weakness: A noticeable reduction in grip strength.

Diagnostic Procedures

A professional diagnosis is essential to distinguish a fracture triquetral bone from a standard ligament sprain or a different type of wrist injury. Medical professionals typically use a combination of physical examination and diagnostic imaging.

Diagnostic Method Purpose
Physical Exam Checking for specific points of tenderness and range of motion limitations.
X-ray The primary tool for viewing bone breaks, though lateral views are often needed for the triquetrum.
MRI or CT Scan Used if X-rays are inconclusive or to check for associated ligamentous damage.

⚠️ Note: If you experience significant wrist pain following a fall, avoid trying to "push through the pain." Seek an immediate medical evaluation to prevent long-term complications such as chronic instability or early-onset arthritis.

Treatment Options for Fracture Triquetral Bone

The treatment approach for a fracture triquetral bone depends largely on the severity of the break and whether the bone fragments are displaced. Most triquetral fractures are avulsion fractures, which are usually stable and respond well to conservative treatment.

Conservative Management

For minor or non-displaced fractures, the standard approach involves immobilization. This allows the bone to heal without the stress of movement. This usually includes:

  • Splinting or casting: Immobilizing the wrist in a neutral position for four to six weeks.
  • Pain management: Over-the-counter anti-inflammatory medication to reduce swelling and discomfort.
  • Activity modification: Avoiding heavy lifting or high-impact activities while the bone heals.

Surgical Intervention

Surgery is rare but may be required if the fracture is comminuted (broken into several pieces) or if there is significant displacement. In such cases, orthopedic surgeons may use internal fixation, such as pins or small screws, to stabilize the bone fragments. Following surgery, a physical therapy regimen is strictly implemented to regain full wrist functionality.

Rehabilitation and Recovery

Recovery from a fracture triquetral bone requires patience. Once the immobilization period is over, the wrist will likely be stiff and the surrounding muscles weakened. A structured rehabilitation program is essential for a return to normal activity.

Physical therapy typically focuses on:

  • Range of Motion Exercises: Gentle stretching to restore flexibility to the wrist and forearm.
  • Strengthening: Gradual introduction of resistance training to rebuild the grip strength and support muscles.
  • Proprioception training: Exercises designed to improve joint awareness and stability.

ℹ️ Note: Always follow your therapist’s advice regarding the intensity of your exercises. Overtraining during the early stages of recovery can lead to re-injury or delayed healing.

Long-term Outlook and Complications

For the vast majority of patients, the prognosis for a fracture triquetral bone is excellent. With proper immobilization and adherence to follow-up care, most individuals regain full range of motion and return to their pre-injury level of activity. However, failure to address the injury properly can lead to persistent pain, restricted movement, or the development of post-traumatic arthritis. By taking the correct diagnostic and recovery steps, you can minimize these risks and ensure the long-term health of your wrist joint. Always consult with a healthcare professional or an orthopedic specialist to tailor a recovery plan to your specific needs.

Related Terms:

  • triquetral fracture recovery time
  • non displaced triquetral fracture
  • triquetral fracture healing time
  • triquetral bone fracture icd 10
  • mildly displaced dorsal triquetral fracture
  • closed displaced fracture of triquetrum