Cleve

Fractured Knee Symptoms

Fractured Knee Symptoms

A knee injury can be a life-altering experience, often leaving individuals wondering if they have merely pulled a muscle or suffered something more structural. Recognizing fractured knee symptoms early is crucial for effective treatment and preventing long-term mobility issues. The knee joint, which connects the thigh bone (femur) to the shin bone (tibia) and the kneecap (patella), is a complex structure susceptible to high-impact trauma. Whether you are an athlete, a weekend warrior, or someone who recently experienced a fall, understanding the physiological warning signs of a broken bone in this area is the first step toward recovery.

Understanding Knee Fractures

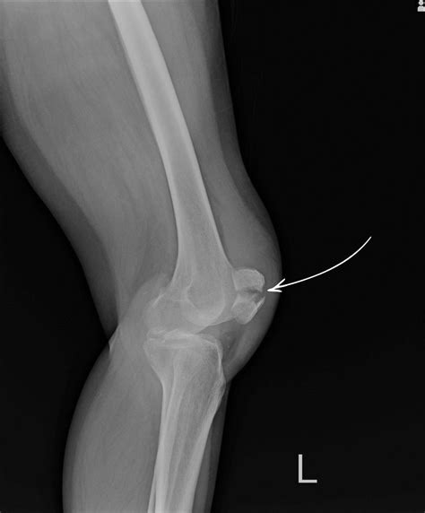
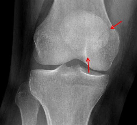
A knee fracture occurs when one or more of the bones forming the knee joint are cracked or shattered. This injury can range from small, hairline fractures to severe, comminuted breaks where the bone is crushed into multiple pieces. Because the knee bears the entire weight of your body, even a minor break can lead to significant discomfort and functional limitations. It is essential to distinguish between simple soft tissue injuries, like ligament tears, and bony fractures, as the treatment paths differ drastically.

Key Fractured Knee Symptoms to Watch For

While only an X-ray or MRI can definitively diagnose a fracture, certain clinical signs are strongly associated with broken bones in the knee area. If you notice a combination of these, seek medical attention immediately.

  • Sudden, Sharp Pain: This is usually the first and most immediate symptom. The pain is often localized to the point of impact and may intensify when trying to move the joint.
  • Rapid Swelling: Fluid buildup, known as hemarthrosis (blood in the joint), often happens within minutes or hours of the injury, causing the knee to look tight and shiny.
  • Inability to Bear Weight: A classic sign of a fracture is the complete inability to stand or walk on the affected leg. If you feel that your knee is “giving out,” it could be a sign of structural failure.
  • Deformity: In more severe cases, you may notice that the knee joint appears crooked or the patella is misaligned.
  • Bruising: Significant skin discoloration or purplish bruising often develops as blood leaks into the surrounding tissue.
  • Limited Range of Motion: You may find it physically impossible to fully straighten or bend your knee due to pain and mechanical blockage from bone fragments.
  • Tenderness to the Touch: If the bone is fractured, pressing directly on the site will result in exquisite, sharp pain.

⚠️ Note: If you experience numbness, tingling, or the foot below the injured knee turns cold or pale, seek emergency medical care immediately, as these may indicate nerve or vascular damage.

Comparison of Symptoms: Fracture vs. Sprain

Distinguishing between a fracture and a soft tissue injury like an ACL tear or a meniscus injury can be difficult. The following table provides a quick reference to help you gauge the severity of your injury.

Symptom Typical Fracture Typical Sprain/Strain
Pain Intensity Severe, immediate, sharp Dull or sharp, may fluctuate
Weight Bearing Usually impossible Often possible with a limp
Swelling Immediate and pronounced Can be delayed (hours later)
Deformity Possible Rare
Crepitus (Grinding) Often present Occasional

Immediate First Aid Steps

If you suspect a fracture, your primary goal is to prevent further damage before you reach a healthcare professional. Follow the RICE method cautiously:

  • Rest: Do not attempt to walk on the injured leg. Use crutches or enlist the help of others to move.
  • Ice: Apply an ice pack wrapped in a cloth for 15–20 minutes to reduce inflammation. Do not apply ice directly to the skin.
  • Compression: Use an elastic bandage to minimize swelling, but ensure it is not too tight to cut off circulation.
  • Elevation: Keep your knee elevated above the level of your heart to assist with drainage and reduce throbbing.
  • Immobilization: Keep the leg as straight as possible. Do not attempt to “pop” the knee back into place if it appears misaligned.

Diagnosing and Treating the Injury

When you arrive at the clinic or hospital, the medical team will likely perform a physical examination followed by diagnostic imaging. An X-ray is the gold standard for identifying fractures, but a CT scan may be required to assess the extent of the damage if the fracture extends into the joint space. Once the extent of the fractured knee symptoms is mapped, the doctor will determine whether non-surgical intervention—such as casting and bracing—or surgical fixation is required.

💡 Note: Early mobilization under medical supervision is often encouraged after the initial healing phase to prevent joint stiffness and muscle atrophy.

Risk Factors and Prevention

Certain populations are at higher risk for knee fractures. Older adults with osteoporosis are significantly more vulnerable to fractures from low-energy falls. Conversely, younger, active individuals are more susceptible to high-energy trauma, such as car accidents or contact sports. Maintaining strong quadriceps and hamstring muscles provides a protective cushion for the knee joint. Additionally, improving balance through proprioception training can drastically reduce the likelihood of the falls that lead to these painful injuries.

Long-term Outlook

Recovery from a fractured knee is a marathon, not a sprint. Patients can expect a period of immobilization followed by a rigorous physical therapy program. The goal of physical therapy is to restore the natural range of motion and rebuild the strength necessary to support the joint. While the prospect of a long recovery might seem daunting, adhering strictly to your orthopedic surgeon’s rehabilitation plan is the best way to regain full function. Most patients can return to their daily activities and even sports, provided they allow sufficient time for the bone to knit back together correctly and the soft tissues to heal.

In summary, recognizing the signs of a knee fracture is a critical skill for anyone dealing with an unexpected injury. By paying close attention to symptoms like the inability to bear weight, rapid swelling, and intense localized pain, you can make informed decisions about your health. Always prioritize professional medical assessment over self-diagnosis, as prompt care is the single most important factor in ensuring a successful recovery. Through patience, appropriate medical intervention, and diligent rehabilitation, the majority of people can recover effectively and return to their normal levels of physical activity.

Related Terms:

  • fractured knee treatment
  • broken knee cap recovery time
  • fractured knee recovery time
  • did i fracture my knee
  • can a fractured knee hurt
  • signs of a fractured knee