Mayo

Front Dental Implants

Front Dental Implants

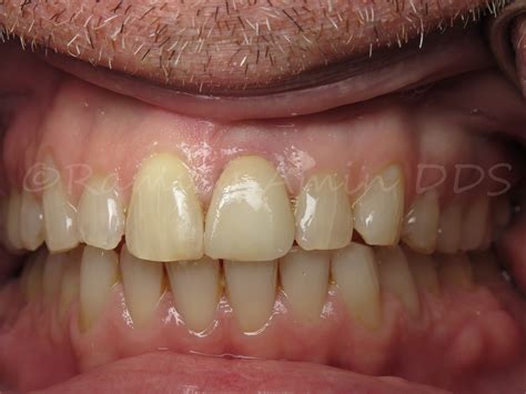
Losing a tooth in your smile line can be a deeply unsettling experience, impacting not only your ability to chew and speak clearly but also your self-confidence. When faced with this issue, many patients turn to front dental implants as the premier solution for restoring both form and function. Unlike traditional bridges or dentures, which sit on top of the gums, dental implants serve as a permanent replacement for the entire tooth structure, from the root to the crown. By mimicking the natural tooth’s anatomy, these implants offer unparalleled stability and a remarkably lifelike aesthetic that is essential for front-facing teeth.

Why Choose Front Dental Implants for Smile Restoration?

When replacing a front tooth, precision is paramount. The area is highly visible when you smile, speak, or laugh, making the cosmetic outcome just as important as the functional result. Front dental implants are specifically engineered to address the unique challenges of the anterior (front) jaw, where bone density and gum tissue aesthetics are critical.

  • Natural Appearance: Modern implant crowns are crafted from high-quality porcelain or zirconia, which mimics the translucency and color of natural teeth.
  • Bone Preservation: Because the implant post stimulates the underlying jawbone, it helps prevent the bone resorption (loss) that typically occurs after a tooth extraction.
  • No Damage to Adjacent Teeth: Unlike a dental bridge, which requires grinding down healthy adjacent teeth to support the prosthetic, an implant stands alone, preserving the integrity of your remaining natural teeth.
  • Long-Term Durability: With proper oral hygiene and regular dental check-ups, a front dental implant can last a lifetime, making it a cost-effective solution over the long run.

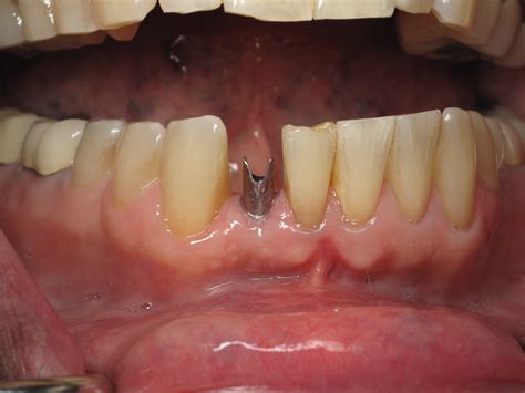
The success of an implant in the front of the mouth often depends on the quality of the surrounding gum tissue. Surgeons pay special attention to the "emergence profile," which is how the crown emerges from the gum line, ensuring it looks identical to a natural tooth rather than a prosthetic attachment.

Understanding the Procedure: From Consultation to Crown

The journey to restoring your smile with front dental implants is a multi-step process that requires careful planning. While the timeline can vary depending on your individual bone health, the general roadmap remains consistent for most patients.

Procedure Step Focus
Comprehensive Exam Digital imaging (CBCT scans) to assess bone density and nerve positioning.
Implant Placement Surgical insertion of the titanium post into the jawbone.
Osseointegration A healing period of 3–6 months where the bone fuses to the implant.
Abutment & Crown Attaching the connector and the final, custom-made ceramic crown.

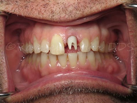
💡 Note: If you have significant bone loss at the site of the missing front tooth, your dentist may recommend a bone grafting procedure before the implant can be placed to ensure a stable foundation.

Maintaining Your Smile After the Procedure

One of the most significant advantages of front dental implants is that they do not require special gadgets for cleaning. Because they are not susceptible to cavities, they are often easier to maintain than natural teeth. However, they are still susceptible to gum disease, which can compromise the bone supporting the implant. Maintaining a rigorous oral hygiene routine is essential to protect your investment.

To keep your implant in peak condition, consider these daily practices:

  • Brushing: Use a soft-bristled toothbrush twice daily to remove plaque from around the gum line.
  • Flossing: Use dental floss or an interdental brush specifically designed for implants to clean the spaces where a toothbrush cannot reach.
  • Avoid Abrasives: Stay away from highly abrasive toothpaste that could scratch the surface of your custom crown.
  • Regular Check-ups: Visit your dental professional at least twice a year to ensure the crown is properly seated and the surrounding gum tissue is healthy.

Furthermore, avoid using your front teeth to bite into hard objects like ice, pens, or hard candies. While the titanium post is incredibly strong, the ceramic crown on top can chip or fracture under excessive pressure.

Common Questions About Front Tooth Replacements

It is natural to have questions regarding the comfort and appearance of front dental implants. Many patients worry about the pain associated with the surgery. In reality, most patients report that the discomfort is minimal and easily managed with over-the-counter pain medication. The procedure is performed under local anesthesia, ensuring you remain comfortable throughout the process.

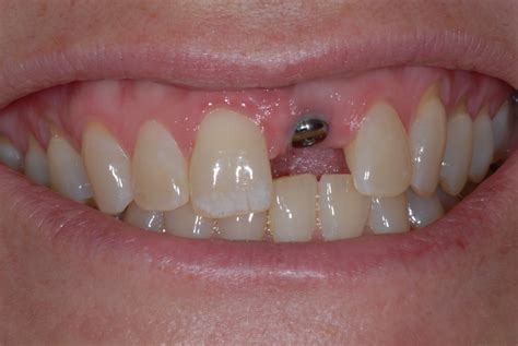
Another common concern is the "temporary" phase. Because the front area is visible, dentists often provide a temporary prosthetic (such as a flipper or a temporary crown) immediately after the surgery. This ensures that you do not have to walk around with a visible gap while the underlying bone and gum tissue heal.

The Impact of Technology on Aesthetic Outcomes

Advances in digital dentistry have revolutionized how front dental implants are placed. Today, dentists utilize guided implant surgery, which uses 3D models of your jaw to map out the exact position, angle, and depth of the implant before the procedure even begins. This level of precision minimizes surgical trauma and drastically improves the aesthetic result. By choosing a provider who utilizes these digital tools, you are ensuring the highest possible level of care for your smile.

Restoring a missing front tooth is an investment in your self-esteem and your long-term oral health. By selecting dental implants, you are choosing a solution that is durable, aesthetically pleasing, and biologically compatible with your natural anatomy. Whether you have lost a tooth due to injury, decay, or periodontal disease, consulting with an experienced implant specialist can help you determine if you are a candidate for this life-changing procedure. Remember that every smile is unique, and personalized treatment plans are the key to achieving that perfect, natural-looking result you desire. Taking the step to replace your missing tooth will not only enhance your smile but will also provide the structural support your mouth needs for years to come.

Related Terms:

  • dental implant for front teeth
  • replacing two bottom front teeth
  • dental implants 6 front teeth
  • dental implants two front teeth
  • single front tooth dental implant
  • dental implants 2 front teeth