Cleve

Fuchs Corneal Dystrophy

Fuchs Corneal Dystrophy

Fuchs Corneal Dystrophy is a progressive eye condition that affects the cornea, the clear front surface of the eye. This hereditary disorder primarily impacts the endothelium, which is the innermost layer of the cornea responsible for maintaining proper fluid balance. When this delicate layer begins to deteriorate, fluid accumulates in the cornea, causing it to swell and become cloudy. This condition typically develops slowly over many years and most commonly affects people in their 50s and 60s, though early signs may appear much earlier. Understanding this condition is crucial for early detection and proper management to preserve vision quality.

Understanding the Anatomy and Function of the Corneal Endothelium

The corneal endothelium plays a vital role in maintaining corneal clarity and optimal vision. This single layer of cells acts as a pump mechanism, continuously removing excess fluid from the cornea to keep it clear and at the proper thickness. In healthy eyes, these endothelial cells work efficiently throughout a person's lifetime. However, in Fuchs Corneal Dystrophy, these cells gradually deteriorate and die off prematurely.

As endothelial cells are lost, the remaining cells cannot adequately pump fluid out of the cornea. This leads to corneal edema, or swelling, which causes the cornea to thicken and lose its transparency. The condition affects both eyes, though one eye may be more severely affected than the other. The progressive nature of this dystrophy means that symptoms worsen over time as more endothelial cells are lost.

Also read: Face Plus Plastic Surgery Clinic

Stages and Progression of Fuchs Corneal Dystrophy

Fuchs Corneal Dystrophy typically progresses through several distinct stages, each characterized by specific changes in the cornea and corresponding symptoms. Understanding these stages helps patients and healthcare providers anticipate the disease course and plan appropriate interventions.

Early Stage: During the initial phase, patients may be completely asymptomatic. An eye care professional might detect small deposits called guttae on the corneal endothelium during a routine examination. These guttae are excrescences of abnormal collagen that form on Descemet's membrane, the layer just above the endothelium. At this stage, vision typically remains unaffected, and many people are unaware they have the condition.

Moderate Stage: As the disease progresses, patients begin experiencing symptoms, particularly in the morning. Vision may be blurry upon waking because fluid accumulates in the cornea overnight while the eyes are closed. This morning blur typically improves as the day progresses and tears evaporate some of the excess corneal fluid. Glare and light sensitivity become more noticeable, especially when driving at night or in bright sunlight.

Advanced Stage: In severe cases, vision remains consistently blurry throughout the day. The cornea may develop painful epithelial bullae, which are fluid-filled blisters on the corneal surface. When these blisters rupture, they cause significant pain and increase the risk of infection. At this stage, corneal transplantation may become necessary to restore vision and alleviate discomfort.

Common Symptoms and Warning Signs

Recognizing the symptoms of Fuchs Corneal Dystrophy early can lead to timely intervention and better outcomes. The symptoms typically develop gradually and may include:

  • Blurred or hazy vision: Particularly noticeable in the morning, improving as the day progresses in early stages
  • Glare and halos: Seeing halos around lights, especially at night, making driving challenging
  • Light sensitivity: Increased discomfort in bright lighting conditions
  • Eye pain or discomfort: Occurring when epithelial blisters form and rupture in advanced stages
  • Foreign body sensation: Feeling like something is in the eye, particularly when blisters are present
  • Fluctuating vision: Vision quality that varies throughout the day

👁️ Note: If you experience persistent morning blur that gradually improves during the day, schedule an appointment with an eye care professional for a comprehensive examination.

Risk Factors and Genetic Considerations

Fuchs Corneal Dystrophy has several known risk factors that increase the likelihood of developing this condition. Understanding these factors can help identify individuals who may benefit from regular monitoring.

Risk Factor Description Impact Level
Family History Hereditary condition with autosomal dominant inheritance pattern High
Gender Women are affected more frequently than men Moderate
Age Typically manifests after age 50, though early signs may appear in 30s-40s High
Ethnicity More common in Caucasian populations Moderate
Smoking May accelerate disease progression Low to Moderate

The genetic basis of Fuchs Corneal Dystrophy has been extensively studied, with researchers identifying several genes associated with the condition. The most common genetic abnormality involves the TCF4 gene, though mutations in other genes like COL8A2 and SLC4A11 have also been linked to the disease. Genetic testing may be available for families with a strong history of the condition, though it is not routinely performed for diagnosis.

Diagnostic Procedures and Examinations

Accurate diagnosis of Fuchs Corneal Dystrophy requires specialized ophthalmic examinations and imaging techniques. Eye care professionals use several methods to assess the cornea and determine the extent of endothelial damage.

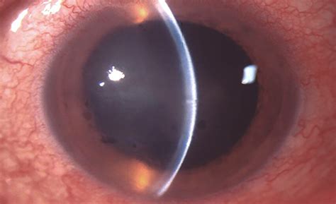
Slit Lamp Examination: This is the primary tool for diagnosing Fuchs Corneal Dystrophy. The ophthalmologist uses a specialized microscope with a bright light to examine the cornea in detail. Guttae appear as small, drop-like excrescences on the endothelium and are the hallmark sign of this condition. The doctor can also assess corneal thickness and the presence of edema.

Specular Microscopy: This non-invasive imaging technique provides detailed photographs of the corneal endothelium, allowing doctors to count endothelial cells and assess their shape and size. A significant decrease in endothelial cell density confirms the diagnosis and helps determine disease severity.

Pachymetry: This test measures corneal thickness using ultrasound or optical methods. An abnormally thick cornea indicates fluid accumulation and helps monitor disease progression over time.

Optical Coherence Tomography (OCT): Advanced imaging technology that creates cross-sectional images of the cornea, revealing the extent of edema and structural changes in different corneal layers.

Treatment Options and Management Strategies

Treatment for Fuchs Corneal Dystrophy depends on the stage and severity of the condition. Management strategies range from conservative approaches in early stages to surgical intervention in advanced cases.

Conservative Management

In the early stages of Fuchs Corneal Dystrophy, when symptoms are mild, several non-surgical approaches can help manage discomfort and improve vision:

  • Hypertonic saline drops and ointments: These concentrated salt solutions help draw excess fluid out of the cornea, reducing swelling and improving clarity, especially when used in the morning
  • Hair dryer technique: Holding a hair dryer at arm's length on a low, cool setting and directing it toward the eyes can help evaporate surface moisture and reduce morning blur
  • Reducing eye rubbing: Avoiding eye rubbing prevents further trauma to the already compromised corneal surface
  • Managing environmental factors: Using humidifiers and avoiding dry environments can help minimize corneal dehydration

💡 Note: Hypertonic saline solutions are available over-the-counter, but consult with your eye care provider about the appropriate concentration and frequency of use for your specific condition.

Surgical Interventions

When conservative measures no longer provide adequate symptom relief or vision improvement, surgical options become necessary. Modern surgical techniques have significantly improved outcomes for patients with advanced Fuchs Corneal Dystrophy.

Descemet Stripping Endothelial Keratoplasty (DSEK): This partial-thickness corneal transplant procedure replaces only the diseased endothelium and Descemet's membrane while preserving the healthy outer layers of the cornea. DSEK offers faster visual recovery and fewer complications compared to traditional full-thickness transplants. The procedure involves removing the damaged endothelium and replacing it with healthy donor tissue, which is positioned using an air bubble.

Descemet Membrane Endothelial Keratoplasty (DMEK): An even more refined technique that transplants only the Descemet's membrane and endothelium, without any stromal tissue. DMEK provides superior visual outcomes and faster recovery than DSEK, though it requires more surgical expertise and has a higher risk of graft detachment requiring repositioning.

Penetrating Keratoplasty (PK): Traditional full-thickness corneal transplant that replaces all layers of the cornea. While still performed in certain cases, this procedure has largely been replaced by the newer endothelial keratoplasty techniques due to their superior outcomes and faster recovery times.

Living with Fuchs Corneal Dystrophy

Managing daily life with Fuchs Corneal Dystrophy requires adaptations and lifestyle modifications to maintain quality of life and preserve vision. Patients can take several proactive steps to cope with the condition effectively.

Regular monitoring: Consistent follow-up appointments with an ophthalmologist are essential for tracking disease progression and adjusting treatment plans accordingly. Early detection of worsening symptoms allows for timely intervention.

Lighting adjustments: Using anti-glare screens on computers and electronic devices, wearing polarized sunglasses outdoors, and adjusting indoor lighting to reduce glare can significantly improve visual comfort.

Driving considerations: As the condition progresses, night driving may become increasingly difficult due to glare and halos around lights. Patients should honestly assess their driving abilities and consider limiting driving to daytime hours when necessary.

Medication management: If undergoing cataract surgery or other eye procedures, inform your surgeon about Fuchs Corneal Dystrophy, as it may influence surgical planning and technique selection.

Support networks: Connecting with other patients through support groups or online communities can provide valuable emotional support and practical advice for managing the condition.

Prognosis and Long-Term Outlook

The prognosis for Fuchs Corneal Dystrophy varies significantly depending on the stage at diagnosis, rate of progression, and response to treatment. Many patients with early-stage disease maintain good vision for years or even decades with conservative management alone. The condition progresses at different rates in different individuals, making it difficult to predict the exact timeline for any single patient.

For those who require surgical intervention, modern endothelial keratoplasty techniques offer excellent outcomes. Success rates for DSEK and DMEK procedures exceed 90%, with most patients experiencing significant vision improvement. Graft survival rates are high, with many transplants lasting 10-20 years or longer. However, patients must understand that corneal transplantation, while highly successful, carries risks including graft rejection, infection, and the potential need for repeat surgery in the future.

Advances in research continue to improve our understanding of Fuchs Corneal Dystrophy and may lead to new treatment options in the future. Scientists are investigating regenerative medicine approaches, including the use of stem cells and tissue engineering to restore endothelial function without transplantation. Gene therapy and pharmaceutical interventions targeting the underlying genetic and molecular mechanisms of the disease are also under development.

🔬 Note: Clinical trials for new Fuchs Corneal Dystrophy treatments are ongoing. Patients interested in participating should discuss options with their ophthalmologist or visit clinical trial registries for current opportunities.

Prevention and Early Detection

While Fuchs Corneal Dystrophy cannot be prevented due to its genetic nature, early detection through regular eye examinations can lead to better outcomes. Individuals with a family history of the condition should inform their eye care provider and consider more frequent screenings, particularly as they approach middle age.

Comprehensive eye examinations that include detailed corneal evaluation should be performed regularly, especially for those at higher risk. Early detection allows for monitoring of disease progression and timely implementation of management strategies before significant vision loss occurs. Additionally, maintaining overall eye health through proper nutrition, protection from UV radiation, and avoiding smoking may help slow disease progression, though more research is needed to confirm these benefits specifically for Fuchs Corneal Dystrophy.

Fuchs Corneal Dystrophy represents a significant challenge for affected individuals, but advances in diagnostic techniques and surgical interventions have dramatically improved outcomes over the past decades. Understanding the condition, recognizing symptoms early, and working closely with experienced eye care professionals are key to maintaining vision and quality of life. While the hereditary nature of the disease means it cannot be prevented, modern treatment options offer hope for preserving sight even in advanced cases. As research continues to uncover the genetic and molecular mechanisms underlying this condition, future therapies may offer even more effective solutions for managing and potentially reversing the endothelial damage that characterizes Fuchs Corneal Dystrophy. Patients diagnosed with this condition should remain optimistic about their visual future while staying proactive about their eye care and treatment options.

Related Terms:

  • corneal guttata eye
  • fuchs corneal dystrophy genereviews
  • fuchs corneal dystrophy eyewiki
  • fuchs corneal dystrophy genetics
  • fuchs corneal dystrophy surgery
  • fuchs corneal dystrophy signs