Cleve

Gap In Teeth

Gap In Teeth

A gap in teeth, clinically known as diastema, is a condition where there is a visible space between two or more teeth. While often associated with the two front teeth, these spaces can occur anywhere in the mouth. For some, this characteristic is considered a unique charm or a sign of good luck, while for others, it can be a source of self-consciousness that affects their willingness to smile. Understanding why these gaps occur and the various options available to manage or close them is essential for anyone considering a change in their dental aesthetic.

Understanding the Causes of a Gap in Teeth

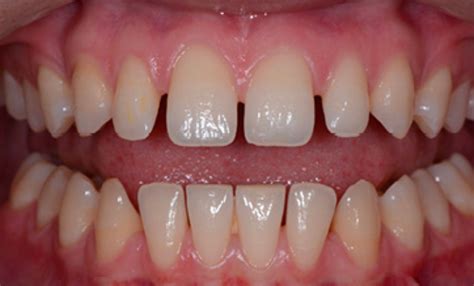
Person smiling showing a gap in teeth

The development of a gap in teeth can stem from a variety of biological and behavioral factors. It is rarely the result of a single cause, but rather an interplay of genetics, development, and oral habits. Recognizing the root cause is the first step in determining whether treatment is necessary or even possible.

  • Size Discrepancy: Often, the jawbone is simply too large for the size of the teeth, leading to natural spacing.
  • Missing Teeth: If teeth are smaller than average or completely absent, adjacent teeth may shift, creating a gap.
  • Frenum Issues: The labial frenum is the tissue that connects your lip to your gums. If this tissue grows too far between the front teeth, it can block natural closure.
  • Oral Habits: Persistent thumb-sucking or tongue-thrusting in childhood can exert constant pressure on the front teeth, pushing them forward and creating spaces.
  • Gum Disease: Inflammation and bone loss caused by periodontal disease can weaken the support structures of the teeth, causing them to loosen and shift, which results in gaps appearing over time.

Health Implications and Considerations

In many cases, a gap in teeth is purely a cosmetic concern. However, it is important to assess whether the spacing is indicative of underlying oral health issues. If the gap has appeared suddenly or has widened over time, it is often a sign of gum disease or bite alignment problems that require professional intervention.

From a functional standpoint, gaps can sometimes make it easier for food particles to become trapped in the gums, potentially leading to discomfort or an increased risk of cavities. Furthermore, depending on the severity, certain types of gaps can occasionally affect speech patterns, particularly with specific consonant sounds.

Comparing Treatment Options

Deciding how to address a gap in teeth depends on the patient’s age, the cause of the gap, and the desired outcome. The following table provides a breakdown of common dental solutions:

Treatment Best For Mechanism
Orthodontics Overall bite alignment Uses braces or clear aligners to move teeth together.
Dental Bonding Small gaps Applies tooth-colored resin to the sides of teeth to fill the space.
Veneers Permanent cosmetic fix Thin porcelain shells bonded to the front of the teeth.
Frenectomy Frenum-related gaps Surgical procedure to remove excess tissue between teeth.

💡 Note: Always consult with a licensed dentist or orthodontist before choosing a treatment path, as some methods require healthy gums and adequate bone density to be successful.

Orthodontic Solutions for Lasting Results

When a gap in teeth is caused by crowded or misaligned dental arches, orthodontics is frequently the most recommended solution. Clear aligners have revolutionized this process by providing a discreet way to gradually pull teeth together without the need for traditional metal brackets.

The primary advantage of orthodontic treatment is that it permanently repositions the teeth, rather than simply masking the gap. While this process takes more time than cosmetic bonding, it addresses the fundamental alignment of the jaw, which can improve overall chewing function and long-term oral health.

Cosmetic Enhancements: Bonding and Veneers

For individuals who want a quicker result, cosmetic dentistry offers effective alternatives. Dental bonding involves the application of a composite resin that matches the color of your teeth. The dentist sculpts this material into the gap and hardens it with a specialized light, effectively “closing” the space in a single visit.

Veneers, on the other hand, are a more robust solution. By placing thin porcelain veneers over the front surface of the teeth flanking the gap, dentists can customize the shape and size of the teeth to eliminate the appearance of the space entirely. This is often preferred by those looking for a complete smile makeover.

Maintaining Your Smile After Treatment

Regardless of the method used to close a gap in teeth, post-treatment care is vital. If you have undergone orthodontic work, wearing a retainer as prescribed is non-negotiable. Without a retainer, your teeth have a natural tendency to drift back toward their original positions, which could cause the gap to reappear.

For those who opt for bonding or veneers, maintaining excellent oral hygiene is key to the longevity of the cosmetic work. Daily flossing and brushing are critical, as the edges where the bonding meets the natural tooth can be susceptible to staining or plaque accumulation if not kept clean.

💡 Note: If you notice any chips, discoloration, or discomfort in the areas where you received dental work, schedule a check-up immediately to ensure the integrity of the restoration.

Addressing a gap in teeth is a personal decision that balances cosmetic preference with dental health requirements. Whether you choose to embrace the space as part of your unique personality, or you prefer to seek corrective procedures like orthodontics, bonding, or veneers, the most important step is seeking a professional evaluation. By understanding the underlying cause of the spacing, you can work with a dental professional to select a solution that aligns with your goals, budget, and lifestyle. Regardless of the path you choose, ensuring your gums remain healthy and your alignment is functional will keep your smile radiant and confident for years to come.

Related Terms:

  • gap in two front teeth
  • what is gap teeth called
  • why are my teeth gaping
  • gap between front teeth called
  • gap in teeth braces
  • closing gap in teeth