Cleve

Giant Cell Myocarditis

Giant Cell Myocarditis

Giant Cell Myocarditis (GCM) represents one of the most aggressive and rapidly progressing forms of heart muscle inflammation. Unlike more common types of myocarditis, which may resolve on their own or with supportive care, GCM is characterized by the presence of multinucleated giant cells within the myocardial tissue. This rare condition can lead to severe cardiac dysfunction, life-threatening arrhythmias, and cardiogenic shock. Because of its fulminant nature, early recognition and aggressive intervention are critical to improving survival rates in affected patients.

Understanding the Pathophysiology of Giant Cell Myocarditis

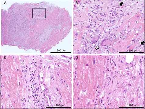
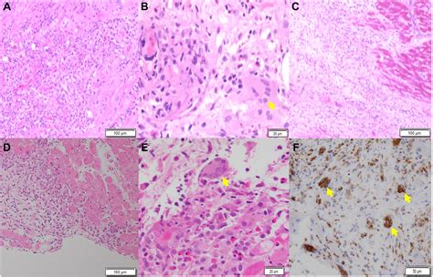
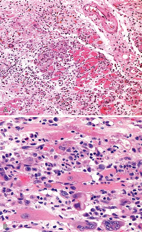
The underlying mechanism of Giant Cell Myocarditis is thought to be an autoimmune process where the body’s immune system mistakenly attacks the heart muscle cells. Under microscopic examination, biopsies reveal focal or diffuse areas of necrosis accompanied by inflammatory infiltrates containing lymphocytes, macrophages, and the hallmark multinucleated giant cells.

These inflammatory infiltrates destroy the structural integrity of the heart, leading to:

  • Reduced pumping efficiency (systolic dysfunction).
  • Disruption of the electrical conduction system.
  • Significant ventricular wall thickening or thinning.
  • Development of malignant ventricular arrhythmias.

Clinical Presentation and Diagnostic Challenges

Patients with Giant Cell Myocarditis often present with symptoms that mimic a heart attack or acute heart failure. The onset is usually sudden, leaving both patients and clinicians with little time to react. Common clinical manifestations include:

  • Acute onset of shortness of breath (dyspnea).
  • Severe chest pain that may not respond to standard anti-anginal therapy.
  • Palpitations or unexplained fainting (syncope).
  • Signs of congestive heart failure, such as leg edema or fatigue.

Diagnosis is challenging because the symptoms overlap with other cardiac conditions. Physicians must maintain a high index of suspicion. A definitive diagnosis is typically achieved through an endomyocardial biopsy, although the patchy nature of the disease can sometimes lead to sampling errors.

Diagnostic Procedures for GCM

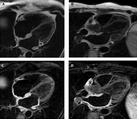
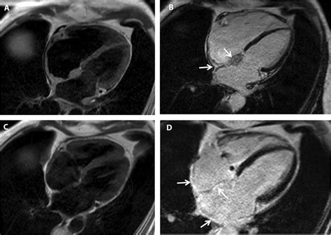
To differentiate GCM from other conditions like sarcoidosis or viral myocarditis, a combination of imaging and biopsy is required. The following table outlines the diagnostic tools commonly employed in clinical settings:

Diagnostic Tool Role in GCM Assessment
Electrocardiogram (ECG) Detects arrhythmias and conduction abnormalities.
Echocardiogram Evaluates cardiac wall motion and ejection fraction.
Cardiac MRI Identifies patterns of myocardial scarring and inflammation.
Endomyocardial Biopsy Provides the gold standard for histological confirmation.

⚠️ Note: Because GCM progresses rapidly, delays in performing a biopsy or seeking specialized cardiology consultation can significantly worsen patient outcomes. Always prioritize immediate stabilization in a center equipped for advanced heart failure care.

Treatment Strategies and Management

The standard of care for Giant Cell Myocarditis involves high-dose immunosuppressive therapy to halt the inflammatory process. Because the condition is so aggressive, patients are often placed on a combination of potent drugs to suppress the immune system effectively.

Immunosuppressive Regimens

The management strategy typically includes:

  • Corticosteroids: Used to provide rapid suppression of inflammation.
  • Cyclosporine or Tacrolimus: Often combined with steroids to prevent further cardiac damage.
  • Antithymocyte Globulin: Sometimes utilized in the most severe cases to achieve rapid immune depletion.
  • Heart Transplantation: For patients who do not respond to medical therapy and progress to refractory end-stage heart failure, a heart transplant may be the only life-saving option.

Long-term Prognosis and Follow-Up

Survival for patients with Giant Cell Myocarditis has improved significantly over the last two decades due to the widespread adoption of aggressive immunosuppression. However, the disease remains serious. Patients require lifelong follow-up with specialized heart failure teams to monitor for recurrence, which can happen even after a successful transplant.

Long-term care involves:

  • Continuous monitoring of cardiac function through regular imaging.
  • Strict adherence to prescribed immunosuppressive medication regimens.
  • Management of any lingering electrical conduction system issues, often requiring an ICD (Implantable Cardioverter-Defibrillator).

💡 Note: While the recurrence of GCM in a transplanted heart is a known risk, it does not necessarily imply a fatal prognosis, provided that the patient is under the care of an experienced transplant team that can adjust immunosuppression promptly.

Current Research and Future Directions

Medical researchers are currently exploring more targeted biological therapies that could address the specific autoimmune triggers of Giant Cell Myocarditis without causing the widespread immunosuppression seen with traditional steroids. Innovations in molecular diagnostics and genomic studies are also aiming to identify genetic predispositions to the disease, which might lead to earlier screening for high-risk families.

Furthermore, the use of mechanical circulatory support, such as Ventricular Assist Devices (VADs), has transformed the management of the acute phase. These devices can stabilize the patient, allowing the heart time to potentially recover or providing a bridge to a stable transplant state. As technology continues to evolve, the outlook for those diagnosed with this rare condition continues to trend upward, shifting from a near-certain terminal diagnosis to a manageable, albeit difficult, chronic condition.

The journey of living with or treating Giant Cell Myocarditis is undeniably complex, demanding rapid action and specialized expertise. By recognizing the warning signs early and utilizing current medical interventions such as aggressive immunosuppression and advanced mechanical support, the prognosis for many individuals has improved substantially. Sustained clinical research and a multidisciplinary approach remain the most effective tools in combating this rare and aggressive disease, ensuring that patients receive the best possible care throughout their recovery journey and long-term management.

Related Terms:

  • giant cell myocarditis symptoms
  • giant cell myocarditis prognosis
  • causes of giant cell myocarditis
  • giant cell myocarditis treatment guidelines
  • giant cell myocarditis pathology outlines
  • diagnosis of giant cell myocarditis