Cleve

Gingival Recession Selfcare

Gingival Recession Self-Care

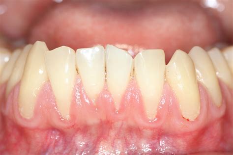
Discovering that your gums are pulling away from your teeth can be a startling experience, often leading to immediate worry about the future of your smile. This condition, known clinically as gingival recession, occurs when the margin of the gum tissue that surrounds the teeth wears away or pulls back, exposing more of the tooth or the tooth's root. While it is important to consult a dental professional to address the underlying cause, implementing a consistent and effective routine of Gingival Recession Selfcare is a crucial component in managing the condition and preventing further advancement.

Understanding the Causes of Gum Recession

Before diving into self-care strategies, it is essential to understand why this is happening. Gum recession rarely has a single cause; it is often a combination of factors. Recognizing these triggers is the first step toward effective management.

  • Aggressive Toothbrushing: Using a hard-bristled brush or brushing with excessive force can physically wear away the gum tissue.
  • Poor Oral Hygiene: Inadequate brushing and flossing allow plaque to build up and harden into tartar, which eventually leads to gum disease (periodontitis), a primary cause of recession.
  • Genetics: Some individuals are simply more susceptible to gum disease due to their genetic makeup, regardless of how well they brush.
  • Hormonal Changes: Fluctuations in female hormone levels, such as during puberty, pregnancy, or menopause, can make gums more sensitive and vulnerable to recession.
  • Tobacco Use: Smoking and chewing tobacco make it difficult for gum tissue to heal and are directly linked to periodontal issues.
  • Grinding or Clenching Teeth: Excessive force (bruxism) can stress the gums and cause them to recede over time.

The Fundamentals of Daily Gingival Recession Selfcare

Managing gum recession requires a shift in how you approach your daily oral hygiene. The goal is to stop further damage while creating an environment where your remaining gum tissue can thrive. The following practices are pillars of Gingival Recession Selfcare.

Mastering the Gentle Brushing Technique

The most common error patients make is brushing too hard. To reverse the damage caused by aggressive brushing, you must adopt the “soft touch” method:

  • Switch to a Soft-Bristled Brush: Always use a toothbrush labeled "extra-soft" or "ultra-soft." Hard and medium bristles are too abrasive for sensitive gum tissue.
  • Adopt the 45-Degree Angle: Hold your toothbrush at a 45-degree angle toward the gumline. Use gentle, short, circular motions rather than sawing back and forth.
  • Light Pressure: Imagine you are cleaning a fragile piece of china rather than scrubbing away stains. If you have an electric toothbrush, let the device do the work; do not press it against your teeth.

Strategic Flossing and Interdental Cleaning

While often neglected, cleaning between the teeth is vital for stopping the inflammation that drives recession. When you have receding gums, you may notice larger gaps between your teeth where food can easily trap.

  • Be Gentle with the Gumline: When flossing, avoid snapping the floss against the gums. Instead, gently slide it up and down the side of each tooth in a C-shape.
  • Consider Interdental Brushes: If traditional floss is difficult to use, interdental brushes are often more effective at cleaning the space between teeth and are gentler on the gums.

Lifestyle Adjustments to Support Gum Health

Your oral health is intrinsically linked to your overall lifestyle. Integrating specific habits into your day can significantly aid your Gingival Recession Selfcare efforts by reducing inflammation and supporting tissue repair.

Habit Impact on Gum Health
Balanced Diet Vitamin C and CoQ10 promote gum tissue healing and strength.
Smoking Cessation Improves blood flow to the gums, facilitating better healing.
Stress Management Reduces the likelihood of teeth clenching (bruxism), which stresses gums.
Hydration Increases saliva production, which naturally washes away harmful bacteria.

💡 Note: While these lifestyle adjustments support gum health, they cannot fully reverse significant recession that has already occurred. Always prioritize regular professional check-ups to monitor the progression of the condition.

When to Seek Professional Intervention

Self-care is a powerful tool for prevention and maintenance, but it has limitations. If you notice your teeth appearing longer, experience increased sensitivity to hot or cold, or notice bleeding while brushing, it is time to visit a dentist or periodontist.

There are situations where professional treatment is necessary to stop the recession from worsening or to restore lost tissue. These may include:

  • Scaling and Root Planing: A deep cleaning procedure that removes plaque and tartar from below the gumline and smooths the root surfaces to allow gums to reattach.
  • Gum Grafting: A surgical procedure where tissue is taken from another part of the mouth and used to cover the exposed tooth root.
  • Pinhole Surgical Technique: A minimally invasive option that uses a small hole in the gum tissue to loosen and reposition the gums over the exposed root.

⚠️ Note: Avoid over-the-counter "gum regrowth" products that make bold promises. There is no scientifically proven topical gel or rinse that can naturally regrow lost gum tissue. Rely on established dental procedures instead.

Reflecting on Your Oral Health Journey

Taking control of your dental health through consistent Gingival Recession Selfcare is an empowering way to protect your smile for years to come. By adopting gentle brushing techniques, maintaining rigorous interdental hygiene, and making supportive lifestyle changes, you create a foundation that prevents further gum loss. While self-care is indispensable for halting the progression of recession, remember that it works best in tandem with professional guidance. Regular monitoring by a dentist ensures that any underlying issues are caught early, allowing you to maintain healthy, resilient gums and a confident smile throughout your life.

Related Terms:

  • how common is gum recession
  • gingival recession types
  • types of gum recession
  • definition of gingival recession
  • what causes teeth recession
  • gum recession symptoms and treatment