Cleve

Gingival Recession Surgery

Gingival Recession Surgery

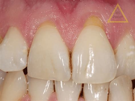
Discovering that your gums are pulling away from your teeth can be a startling experience, often accompanied by increased sensitivity and aesthetic concerns. This condition, medically known as gum recession, occurs when the margin of the gum tissue that surrounds the teeth wears away or pulls back, exposing more of the tooth or the tooth's root. When conservative treatments like deep cleaning or lifestyle adjustments are insufficient, a periodontist may recommend Gingival Recession Surgery. This procedure is designed to protect your teeth from damage and decay while restoring a healthy, balanced smile.

Understanding the Causes and Risks of Gum Recession

Before diving into the surgical solutions, it is essential to understand why this condition develops. Gum recession is rarely a sudden event; rather, it is usually a gradual process. Common causes include aggressive tooth brushing, periodontal (gum) disease, genetic susceptibility, hormonal changes, and even tobacco use. When left untreated, the exposed root surfaces become vulnerable to plaque buildup and decay, as they lack the protective enamel found on the crown of the tooth. Over time, this can lead to tooth sensitivity, structural damage, and, in severe cases, tooth loss.

What is Gingival Recession Surgery?

Gingival Recession Surgery, often referred to as gum grafting, is a collective term for various periodontal procedures aimed at repairing receding gums. The primary goal is to cover the exposed tooth root, reduce sensitivity, and prevent further recession. By reinforcing the thin or damaged gum tissue, the surgery restores both the health and the appearance of the gingival line.

Common Techniques for Gum Grafting

There are several methods a periodontist may use depending on the severity of the recession and the amount of healthy tissue available. Each technique offers specific advantages:

  • Connective Tissue Graft: This is the most common method. A small flap of skin is cut at the roof of the mouth, and tissue from under the flap is removed and stitched to the gum tissue around the exposed root.
  • Free Gingival Graft: Similar to a connective tissue graft, but instead of taking tissue from under the skin, a small amount of tissue is taken directly from the roof of the mouth and attached to the gum area. This is often used for patients who have naturally thin gums.
  • Pedicle Graft: In this procedure, the surgeon does not take tissue from elsewhere. Instead, they use tissue from the gum adjacent to the affected tooth. A portion of the tissue is partially cut away and pulled over to cover the exposed root, then stitched into place.

The following table outlines the key differences between these common approaches to help you prepare for your consultation:

Technique Source of Tissue Best For
Connective Tissue Graft Underlying palate tissue Exposed roots and root coverage
Free Gingival Graft Surface palate tissue Thickening thin or fragile gum tissue
Pedicle Graft Adjacent gum tissue Minor recession with healthy nearby gums

⚠️ Note: Always consult with a board-certified periodontist to determine which surgical technique is most appropriate for your specific anatomy and the stage of your recession.

Preparing for Your Procedure

Once you and your specialist have scheduled your Gingival Recession Surgery, preparation is key to a smooth recovery. You should arrange for someone to drive you home if you are receiving sedation. It is also advisable to stock up on soft foods such as yogurt, applesauce, and lukewarm soups, as you will need to avoid chewing hard or crunchy foods for several days following the operation.

The Post-Surgery Recovery Process

Recovery typically takes one to two weeks, during which you must be diligent about oral hygiene and activity restrictions. Your periodontist will provide specific instructions, but general guidelines usually include:

  • Avoid Brushing the Site: Do not brush or floss the treated area until your periodontist confirms it is safe to do so. You may be prescribed a special antimicrobial mouthwash to keep the area clean.
  • Follow a Soft Diet: Avoid hot, spicy, or crunchy foods that could irritate the surgical site or interfere with the healing tissue.
  • Manage Discomfort: Use prescribed pain medications or over-the-counter anti-inflammatories as directed by your healthcare provider.
  • Minimize Physical Activity: Strenuous exercise can increase blood flow to the head and potentially cause bleeding or swelling; it is best to rest for the first few days.

💡 Note: Should you experience excessive bleeding, fever, or signs of infection such as pus or intense, worsening pain, contact your periodontist immediately for an urgent follow-up.

Long-Term Maintenance and Prevention

Successfully completing Gingival Recession Surgery is a significant milestone for your oral health, but it is not the end of the journey. To ensure the longevity of the results, you must address the root cause of the recession. This involves using a soft-bristled toothbrush with gentle pressure, treating underlying gum disease through regular professional cleanings, and considering a night guard if you suffer from bruxism (teeth grinding). Maintaining a consistent partnership with your dental professional will ensure that any future issues are caught and treated early.

Choosing to undergo surgical intervention for receding gums is a proactive step toward protecting your oral health and preventing further complications. By understanding the available techniques, preparing for the recovery process, and committing to lifelong oral care, you can effectively stop the progression of gum recession. While the prospect of surgery may seem daunting, the functional and aesthetic benefits—including reduced sensitivity and a healthier, more confident smile—are well worth the effort. With modern surgical advancements, these procedures are highly predictable, safe, and designed to restore the natural beauty of your gums, allowing you to maintain a healthy foundation for your teeth for years to come.

Related Terms:

  • gum grafting procedure and recovery
  • gum graft surgery healing time
  • gum graft surgery recession treatment
  • gum graft surgery recovery time
  • gum graft for receding gums
  • gum procedure for receding gums