Cleve

Gingival Recession Treatments

Gingival Recession Treatments

Gingival recession is a common dental concern that many individuals face, often without realizing it until their teeth begin to feel sensitive or look longer than usual. When the gum tissue surrounding the teeth pulls back or wears away, it exposes more of the tooth structure—or even the root—creating gaps between the gum line and the teeth. If left unaddressed, this condition can lead to significant oral health issues, including increased risk of decay, tooth loss, and severe sensitivity. Fortunately, there are various Gingival Recession Treatments available today, ranging from non-invasive lifestyle adjustments to advanced surgical interventions, designed to restore both the aesthetics of your smile and the health of your gums.

Understanding the Causes of Gum Recession

Before exploring the available Gingival Recession Treatments, it is essential to understand why this condition occurs. Identifying the root cause is a critical first step in preventing further damage and choosing the most appropriate therapeutic approach. Common factors that contribute to receding gums include:

  • Aggressive Toothbrushing: Brushing too hard or using a hard-bristled toothbrush can wear away the gum tissue over time.
  • Periodontal Disease: Bacterial gum infections are the primary cause of gum recession, as they destroy the gum tissue and the supporting bone.
  • Genetic Predisposition: Some individuals are simply more prone to gum recession due to the thinness of their gum tissue or the positioning of their teeth.
  • Bruxism: Grinding or clenching your teeth puts immense pressure on the gums and supporting bone.
  • Poor Oral Hygiene: Inadequate brushing and flossing allow plaque to build up and harden into tartar, which damages gum health.
  • Tobacco Use: Smoking or using smokeless tobacco products interferes with the healthy blood flow to the gums, making them more susceptible to recession.

Image placeholder: A diagram illustrating the stages of gum recession from healthy gums to exposed roots.

Common Non-Surgical Treatment Options

For early-stage gum recession, dentists often recommend non-surgical approaches to stop the recession from progressing. These Gingival Recession Treatments focus on eliminating the underlying cause rather than actively repairing the gum tissue.

Professional Dental Cleaning: A deep cleaning, technically known as scaling and root planing, removes the plaque and tartar buildup both above and below the gum line. This helps to reduce inflammation and allows the gums to heal and potentially reattach to the tooth surface.

Antibiotic Therapy: If the recession is caused by an active infection, your dentist might prescribe topical or oral antibiotics to help eliminate the bacteria that are contributing to the disease.

Improving Oral Hygiene Habits: Often, the simplest treatment is correcting the way you clean your teeth. Switching to a soft-bristled toothbrush, adopting a gentler brushing technique, and being consistent with daily flossing can prevent further recession.

⚠️ Note: Non-surgical treatments can halt the progression of recession but will not cause the gum tissue to grow back on its own.

Surgical Interventions for Advanced Recession

When the recession is severe and the tooth roots are exposed, surgical intervention is usually necessary to protect the teeth and improve the appearance of the smile. Modern dentistry offers several highly effective Gingival Recession Treatments that provide predictable results.

Gum Grafting (Connective Tissue Graft)

This is the most common surgical procedure for treating gum recession. During this process, a periodontist takes a small piece of tissue, usually from the roof of the mouth (palate), and stitches it over the exposed root area. Once healed, the graft covers the exposed root, reduces sensitivity, and protects the tooth from further damage.

Pinhole Surgical Technique

The Pinhole Surgical Technique (PST) is a minimally invasive alternative to traditional gum grafting. Instead of using tissue grafts, the dentist creates a tiny hole in the gum tissue above the area of recession. Special instruments are inserted through this hole to gently loosen the gum tissue and slide it down to cover the exposed root. Collagen strips are then placed to help stabilize the gums in their new position.

Treatment Type Invasiveness Primary Benefit
Deep Cleaning Low Stops progression of infection
Gum Grafting High Covers exposed roots with new tissue
Pinhole Technique Minimal Fast recovery, no donor tissue needed

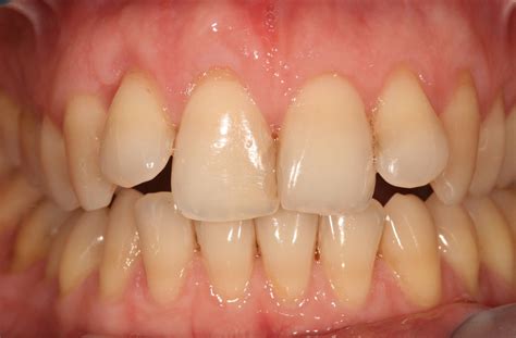
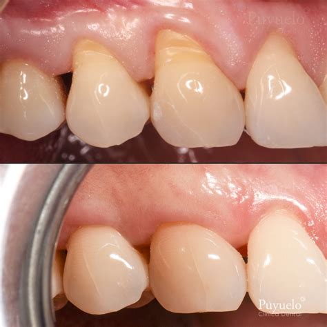
Image placeholder: A side-by-side comparison image showing the results before and after a gum grafting procedure.

Preventing Further Recession

Once you have undergone Gingival Recession Treatments, it is vital to maintain your results to prevent recurrence. Commitment to a stringent oral hygiene routine is non-negotiable. This includes:

  • Using a soft-bristled toothbrush and applying gentle pressure.
  • Scheduling regular dental cleanings every three to six months, depending on your dentist's recommendation.
  • If you suffer from bruxism, wear a night guard to protect your teeth and gums from grinding forces.
  • Avoid all forms of tobacco, as they hinder the body's natural healing ability and worsen gum health.

💡 Note: Always consult with a periodontist or your general dentist to determine which treatment plan is best suited for your specific clinical situation.

Choosing the Right Specialist

When seeking Gingival Recession Treatments, it is highly recommended to consult with a periodontist. A periodontist is a dentist who specializes in the prevention, diagnosis, and treatment of periodontal (gum) disease. Because they have advanced training specifically in the structures surrounding the teeth, they are the most qualified professionals to assess the severity of your recession and provide the most appropriate, evidence-based surgical or non-surgical solutions.

During your consultation, ask about the expected outcomes, potential risks, and the recovery process for the recommended procedure. Understanding what to expect will help you feel more confident in your decision to pursue treatment, ensuring you can enjoy a healthier smile for years to come.

Addressing gum recession promptly is vital for maintaining the longevity of your natural teeth. Whether you require simple adjustments to your daily hygiene routine or more involved surgical procedures like grafting or the Pinhole technique, modern dentistry offers effective solutions tailored to your unique needs. By understanding the causes behind the recession and actively participating in the appropriate treatments, you can protect your oral health, minimize sensitivity, and restore the aesthetics of your gum line. The key to successful, long-term results lies in professional diagnosis, appropriate intervention, and a lifelong commitment to maintaining excellent oral hygiene habits.

Related Terms:

  • can you repair receding gums
  • gum retention treatment near me
  • how to correct receding gums
  • why does gum recession happen
  • gum recession from clenching teeth
  • gum moving away from tooth