Cleve

Gingivitis Self Care

Gingivitis Self Care

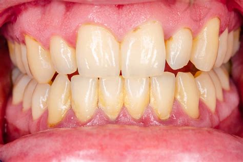
Gingivitis is the earliest stage of gum disease, characterized by red, swollen, and often bleeding gums. While it can be alarming to see blood when you brush or floss, the good news is that this condition is usually reversible with consistent Gingivitis Self Care. By improving your oral hygiene habits and making targeted lifestyle adjustments, you can stop the progression of inflammation before it develops into periodontitis, a more severe form of gum disease that can lead to tooth loss. Understanding the root cause—plaque buildup—is the first step toward reclaiming your gum health.

The Causes and Symptoms of Gingivitis

Dental health and tooth care

Gingivitis is primarily caused by the accumulation of plaque, a sticky film of bacteria that constantly forms on your teeth. When plaque isn’t removed through daily brushing and flossing, it releases toxins that irritate the gum tissue. Over time, this leads to an inflammatory response. Recognizing the early signs allows you to intervene before permanent damage occurs.

Common symptoms to watch for include:

Also read: Face Cosmetic Surgery Cost
  • Gums that bleed easily during brushing or flossing.
  • Red, puffy, or swollen gum tissue.
  • Persistent bad breath (halitosis) that doesn't go away.
  • Gum recession, making teeth look longer than usual.
  • Tenderness or sensitivity in the gum line.

Effective Gingivitis Self Care Strategies

The foundation of Gingivitis Self Care lies in meticulous plaque removal. Your mouth is a complex environment, and bacteria love hiding in tight spaces where a standard toothbrush might miss. To reverse gingivitis, you must be disciplined and thorough in your routine.

1. Master the Brushing Technique

Brushing is not just about frequency; it is about efficiency. Use a soft-bristled toothbrush to avoid further irritating your inflamed gums. Hold your brush at a 45-degree angle toward the gum line and use gentle, circular motions. Aim to brush for at least two minutes, twice a day, ensuring you reach the back molars and the inner surfaces of your teeth.

2. The Necessity of Flossing

Brushing only cleans about 60% of your tooth surfaces. The space between teeth is a breeding ground for bacteria. Flossing daily is non-negotiable for anyone suffering from gum inflammation. If you find traditional string floss difficult to manage, consider using interdental brushes or a water flosser, which are highly effective at flushing out debris from periodontal pockets.

3. Incorporate Antimicrobial Mouthwash

While mouthwash cannot replace mechanical cleaning (brushing and flossing), an antimicrobial rinse can help reduce the bacterial load in your mouth. Look for products that are alcohol-free to prevent drying out your oral tissues, which can actually exacerbate bad breath and discomfort.

💡 Note: If you have been diagnosed with advanced gum disease, consult your dentist before relying solely on mouthwash, as it may mask symptoms that require professional medical intervention.

Comparing Oral Hygiene Tools

Selecting the right tools can significantly improve your self-care success rate. Here is a breakdown of how different tools assist in your routine:

Tool Primary Benefit Frequency
Soft-Bristle Toothbrush Gentle plaque removal without gum abrasion Twice daily
Fluoride Toothpaste Strengthens enamel and kills surface bacteria Twice daily
Interdental Brushes Cleans wide gaps between teeth Once daily
Water Flosser Cleans periodontal pockets and massages gums Once daily

Lifestyle Factors That Influence Gum Health

Beyond cleaning, your daily habits play a pivotal role in Gingivitis Self Care. What you put into your body directly affects your immune system’s ability to fight off gum infections. Smoking, for instance, significantly impairs blood flow to the gums, slowing down the healing process and making it much harder to recover from gingivitis.

Dietary choices also matter. Excessive sugar intake provides fuel for the bacteria that cause plaque. Instead, opt for a diet rich in vitamins C and D, which are essential for gum repair and bone health. Staying hydrated is equally important, as saliva acts as a natural cleanser that neutralizes acids and washes away food particles throughout the day.

💡 Note: High stress levels have been linked to increased inflammation in the body, which can make your gums more susceptible to infection and slower to heal.

When to Seek Professional Help

While Gingivitis Self Care is highly effective for mild cases, it is not a replacement for professional dental care. If you have followed a strict oral hygiene routine for two weeks and notice no improvement—or if your symptoms worsen—you must schedule a professional cleaning. A dental hygienist can remove tartar (hardened plaque) that cannot be removed at home, which is often the primary reason gum inflammation persists despite your best efforts.

If you experience signs of periodontitis, such as loose teeth, pus between the teeth, or significant gum recession, do not wait. Early professional intervention is the only way to prevent irreversible tissue and bone loss. Remember that even with a perfect home routine, routine dental checkups every six months are essential for long-term oral health and disease prevention.

Maintaining healthy gums is a lifelong commitment that starts with your daily routine. By staying consistent with your brushing and flossing techniques, choosing the right tools, and making healthy lifestyle adjustments, you can successfully manage and reverse the effects of gingivitis. Pay close attention to what your body is telling you, and prioritize these small, daily habits to protect your smile for years to come. Staying proactive is the most effective way to ensure your gums stay pink, firm, and healthy, allowing you to avoid the more complex and costly treatments that come with advanced periodontal disease.

Related Terms:

  • how to reverse gingivitis
  • how to treat gingivitis fast
  • what is gingivitis treatment
  • gingivitis treatment at home
  • can you treat gingivitis
  • gingivitis symptoms and treatment