Mayo

Gingivitis What Is

Gingivitis What Is

Maintaining a radiant, healthy smile involves far more than just brushing your teeth once in a while. It requires a consistent routine and an understanding of the conditions that can jeopardize your oral health. If you have ever wondered gingivitis what is, you are not alone; it is one of the most common oral health issues worldwide. Often silent in its early stages, gingivitis acts as the warning signal for your gums, indicating that the protective foundation around your teeth is under attack. Understanding how to identify, treat, and prevent this condition is the first step toward lifelong dental health.

Defining Gingivitis and Its Core Causes

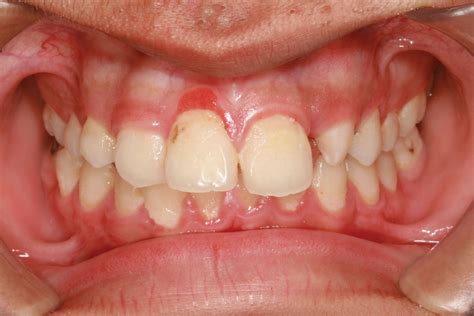
Healthy vs unhealthy gums

At its core, gingivitis is a form of gum disease (periodontal disease) that causes inflammation, irritation, and swelling of the gingiva, the part of your gum tissue that surrounds the base of your teeth. Because it is the mildest form of gum disease, it is usually reversible with professional treatment and good oral hygiene. However, if left ignored, it can escalate into periodontitis, a much more severe condition that can lead to tooth loss.

The primary culprit behind gingivitis is plaque—a sticky, invisible film composed largely of bacteria that forms on your teeth when starches and sugars in food interact with bacteria naturally present in your mouth. If plaque is not removed through daily brushing and flossing, it hardens into tartar (calculus), which becomes a breeding ground for bacteria and irritates the gum line.

Recognizing the Symptoms

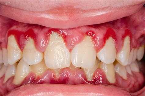
Because gingivitis is often painless in the beginning, many people do not realize they have it until it is well-established. By paying close attention to your mouth’s subtle changes, you can catch it early. Common signs include:

  • Bleeding gums: Noticeable spots of blood on your toothbrush or dental floss after cleaning.
  • Swollen or puffy gums: Gums that appear enlarged or inflamed.
  • Gum discoloration: Gums that have changed from a healthy pink to a dusky red or purple.
  • Persistent bad breath: Chronic halitosis that does not improve with brushing.
  • Gum tenderness: Gums that feel sore to the touch.

Risk Factors and Complications

While poor hygiene is the most common cause, several other factors can increase your risk of developing the condition. Understanding these allows you to be more proactive in your dental care routine:

Category Risk Factor
Lifestyle Smoking or chewing tobacco
Medical Diabetes or hormonal fluctuations
Genetic Family history of gum disease
Medication Certain drugs causing dry mouth or tissue growth

💡 Note: Pregnancy-related gingivitis is common due to hormonal changes that increase gum sensitivity to bacteria, making it essential to maintain extra-vigilant cleaning during this period.

The Path to Treatment and Prevention

When asking gingivitis what is the best treatment, the answer almost always points back to professional intervention combined with rigorous home care. Once you suspect you have gum inflammation, scheduling a professional dental cleaning is the most effective first step. A dental hygienist can remove the hardened tartar that you cannot remove with a toothbrush alone.

Improving Your Home Care Routine

Prevention is vastly superior to treatment. You can keep your gums pink and healthy by following these fundamental habits:

  • Brushing twice daily: Use a soft-bristled toothbrush to clean all surfaces of your teeth, ensuring you reach the gum line gently.
  • Flossing every day: Floss reaches the spaces between teeth where brushes cannot, preventing plaque buildup that leads to localized inflammation.
  • Using antimicrobial mouthwash: A high-quality therapeutic rinse can help reduce the bacterial load in your mouth.
  • Regular dental check-ups: Visiting your dentist every six months ensures that any early signs of disease are addressed before they cause permanent damage.

Lifestyle Adjustments for Oral Health

Beyond the toothbrush, your overall lifestyle plays a massive role in gum health. Your immune system is your primary defense against the bacteria that cause inflammation. A diet rich in vitamins—particularly Vitamin C and Vitamin D—can help your body fight infection. Additionally, quitting smoking is one of the most beneficial steps you can take for your gums, as tobacco use significantly slows the healing process and hides the early warning signs of infection.

⚠️ Note: If you notice sudden, severe pain or pus forming between your teeth and gums, consult your dentist immediately, as these may be signs of a more acute infection requiring urgent treatment.

Final Thoughts

Taking care of your gums is essential for your overall well-being. By understanding gingivitis, identifying its symptoms early, and committing to a consistent oral hygiene routine, you can prevent this manageable condition from becoming a serious health issue. Remember that your gums are the frame for your smile; treating them with care ensures that your teeth remain strong, stable, and healthy for years to come. If you have any concerns about your gum health, do not hesitate to contact a professional, as early intervention remains the gold standard for preserving your dental health.

Related Terms:

  • what does gingivitis mean
  • gingiva
  • what is gingivitis treatment
  • how serious is gingivitis
  • what is gingivitis disease
  • gingivitis symptoms in humans