Cleve

Grade 1 Spondylolisthesis

Grade 1 Spondylolisthesis

Receiving a diagnosis of Grade 1 Spondylolisthesis can be overwhelming, especially when you are trying to understand what it means for your physical health and daily mobility. At its core, this condition occurs when one of the vertebrae in your spine slips forward over the one beneath it. While the word "spondylolisthesis" sounds intimidating, the "Grade 1" classification indicates that the slippage is relatively minor—typically meaning the vertebra has shifted less than 25% of its width. Understanding the nature of this condition is the first step toward effective management, pain relief, and maintaining an active, healthy lifestyle.

What Exactly is Grade 1 Spondylolisthesis?

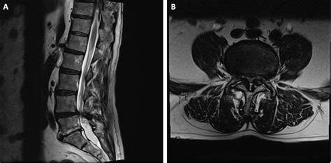
The human spine is a complex column of bones called vertebrae, cushioned by intervertebral discs and held together by ligaments and muscles. Spondylolisthesis is categorized by the degree of slippage. In a Grade 1 Spondylolisthesis, the instability is at its lowest clinical stage. This slippage most commonly occurs in the lumbar spine—the lower back—specifically at the L4-L5 or L5-S1 levels, where the stress on the spine is greatest due to weight-bearing activities.

The condition can be caused by several factors, including:

  • Congenital defects: Being born with a weakness in the spine.
  • Spondylolysis: A stress fracture in the pars interarticularis, often caused by repetitive strain.
  • Degenerative changes: Natural wear and tear associated with aging, where discs lose hydration and height.
  • Trauma: Sudden injury or accidents that cause structural displacement.

Recognizing the Symptoms

It is entirely possible to have a Grade 1 slip and feel absolutely no symptoms at all; many people discover they have the condition incidentally during an X-ray for an unrelated issue. However, when symptoms do arise, they generally involve the lower back and legs. Common indicators include:

  • Persistent or intermittent lower back pain, especially after prolonged standing or walking.
  • Muscle tightness or stiffness in the hamstrings and buttocks.
  • Pain that radiates down the legs (sciatica) if the slipped vertebra compresses a nerve root.
  • A feeling of weakness or "numbness" in the legs or feet.
  • Postural changes, such as a slight forward tilt of the pelvis.

⚠️ Note: If you experience sudden loss of bladder or bowel control or severe, progressive weakness in your legs, seek emergency medical attention immediately as these can be signs of Cauda Equina Syndrome.

Understanding Grading Severity

To help you contextualize where your diagnosis fits into the broader clinical picture, physicians use the Meyerding classification system. This scale helps orthopedic specialists determine the necessary course of action based on the percentage of vertebral displacement.

Grade Percentage of Slippage
Grade 1 0% - 25%
Grade 2 26% - 50%
Grade 3 51% - 75%
Grade 4 76% - 100%
Spondyloptosis Greater than 100%

Conservative Management and Treatment

Because Grade 1 is the mildest form, the majority of patients find significant relief through conservative, non-surgical treatments. The goal is to stabilize the spine, reduce inflammation, and strengthen the supporting musculature. A typical treatment plan often includes a combination of the following:

Physical Therapy

This is the cornerstone of recovery. A physical therapist will focus on stabilizing the lumbar spine by strengthening the core muscles—the abdominal, back, and pelvic muscles that act as a natural corset for your spine. Increasing the flexibility of the hamstrings is also crucial, as tight hamstrings can pull on the pelvis and worsen lower back symptoms.

Medication and Pain Management

To manage discomfort, doctors may suggest non-steroidal anti-inflammatory drugs (NSAIDs) to reduce swelling around the nerve roots. In cases of muscle spasms, temporary muscle relaxants may be prescribed. For those with severe nerve pain, a physician might consider epidural steroid injections to provide targeted relief.

Lifestyle Modifications

Small changes in your daily routine can prevent the condition from progressing to a higher grade. Key strategies include:

  • Maintaining a healthy weight: This reduces the mechanical stress placed on the lower vertebrae.
  • Avoiding high-impact activities: Sports that involve heavy lifting, twisting, or repetitive impact—like heavy weightlifting or contact sports—should be modified.
  • Improving posture: Practicing good ergonomics at your desk and maintaining a neutral spine while sitting or standing helps distribute weight evenly.

💡 Note: Always consult with a physical therapist before starting an exercise routine, as specific movements like extreme spinal extension (arching the back) can aggravate a spondylolisthesis slip.

When Should You Consider Surgery?

It is important to remember that surgery is rarely the first line of defense for Grade 1 Spondylolisthesis. It is only considered if conservative treatments have been attempted for several months without success, or if the patient experiences progressive neurological deficits. In these rare instances, procedures like a spinal decompression or a spinal fusion may be discussed to stabilize the affected area and prevent further slipping.

Most patients with a Grade 1 diagnosis successfully manage their symptoms and return to their normal daily activities without ever needing an operating room. By focusing on core stability, staying active with low-impact exercises like swimming or walking, and listening to your body’s signals, you can maintain a high quality of life. The condition requires long-term mindfulness regarding spinal health, but it does not have to be a limiting factor in your lifestyle. By working closely with your healthcare team and adhering to a customized rehabilitation plan, you can effectively manage the symptoms and minimize the risk of the condition advancing.

Related Terms:

  • grade 1 spondylolisthesis l3 l4
  • grade 1 spondylolisthesis symptoms
  • spondylolisthesis treatments
  • grade 1 cervical spondylolisthesis
  • grade 1 spondylolisthesis icd 10
  • grade 1 spondylolisthesis exercises