Rp

Ground Glass Opacity In Lungs

Ground Glass Opacity In Lungs

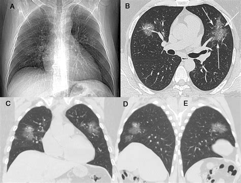
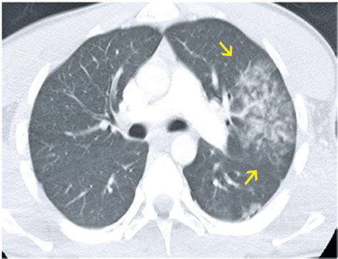
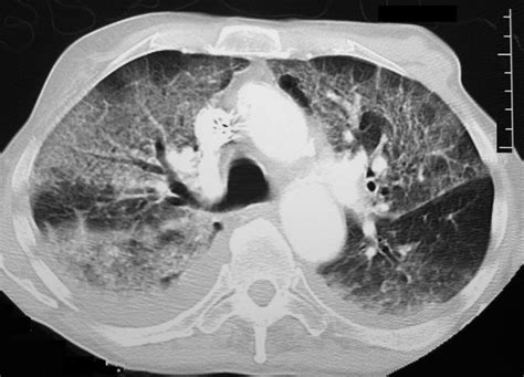
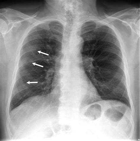
Receiving a radiology report that mentions ground glass opacity in lungs can be an unsettling experience. When a doctor or radiologist uses this term, it refers to a specific appearance on a CT scan—a hazy, gray area within the lungs where the lung tissue appears denser than normal but is not fully solidified. Unlike dense nodules or solid masses, ground glass opacities (GGOs) are characterized by this "foggy" quality, which allows underlying blood vessels and bronchial structures to remain partially visible on the imaging. Understanding what this finding means is the first step in navigating your respiratory health, as it is not a diagnosis in itself, but rather a descriptive sign that requires further investigation by your medical team.

Understanding Ground Glass Opacity (GGO)

At its core, a ground glass opacity in lungs represents a partial filling of the air spaces (alveoli) in the lungs or a thickening of the interstitium (the framework of the lungs). While normal lung tissue is mostly air and appears black on a CT scan, GGOs look like a light cloud or a blurred, frosted glass pane. This phenomenon occurs because the density of the lung has increased slightly, but the air is not completely replaced by solid material, such as fluid, pus, blood, or fibrous tissue.

Radiologists categorize these opacities based on their distribution and appearance:

  • Focal GGO: A localized area confined to one spot.
  • Multifocal GGO: Appearing in several different areas across one or both lungs.
  • Diffuse GGO: Spreading widely throughout the lungs, which often points to a systemic process.

Common Causes of Ground Glass Opacities

Because ground glass opacity in lungs is a non-specific finding, it can be caused by a wide range of conditions, spanning from benign, temporary infections to more serious chronic diseases. It is crucial to remember that its presence does not automatically signify a diagnosis of cancer. Medical professionals evaluate the opacity in the context of the patient's symptoms, clinical history, and laboratory results.

Some of the primary causes include:

  • Infections: Viral pneumonia (including COVID-19), bacterial infections, or fungal infections often present as GGOs.
  • Inflammation: Conditions like hypersensitivity pneumonitis or sarcoidosis can cause widespread inflammatory changes.
  • Fluid Accumulation: Pulmonary edema, often caused by heart failure, can result in hazy lung appearances due to fluid filling the tiny air sacs.
  • Chronic Lung Diseases: Conditions such as interstitial lung disease (ILD) or idiopathic pulmonary fibrosis can manifest as persistent ground glass shadows.
  • Malignancy: In some cases, localized GGOs can represent early-stage lung adenocarcinoma or pre-cancerous conditions, particularly if they persist over time.
Category Common Examples Typical Course
Acute/Infectious COVID-19, Bacterial Pneumonia Usually resolves with treatment
Inflammatory Sarcoidosis, Hypersensitivity Pneumonitis Depends on the trigger
Chronic Interstitial Lung Disease Requires long-term management
Neoplastic Adenocarcinoma, Atypical Adenomatous Hyperplasia Requires surveillance or intervention

💡 Note: A persistent ground glass opacity that does not clear up after antibiotic treatment or a follow-up period is often investigated more closely with further imaging, such as a PET scan, or a biopsy to rule out malignancy.

The Diagnostic Process

When a radiologist identifies a ground glass opacity in lungs, your physician will typically initiate a diagnostic workup to determine the underlying cause. This process is rarely a simple "yes or no" regarding a single disease; instead, it is a process of elimination and pattern recognition.

Key steps in the diagnostic process include:

  • Clinical History Review: Evaluating your history of smoking, environmental exposures, current medications, and any pre-existing autoimmune conditions.
  • Symptom Analysis: Assessing if the opacity is accompanied by cough, shortness of breath, fever, or weight loss.
  • Follow-up CT Scanning: Frequently, if the opacity is detected incidentally, the doctor may order a follow-up CT scan in 3 to 6 months to see if the GGO has changed in size or density.
  • Laboratory Tests: Blood tests looking for markers of infection, autoimmune markers, or inflammatory responses.
  • Advanced Procedures: If the cause remains unclear, doctors may perform a bronchoscopy (looking into the airways with a camera) or a biopsy to obtain a tissue sample for analysis.

💡 Note: Do not panic if your report indicates a GGO; many people have incidental findings on CT scans that turn out to be harmless scarring from past infections or completely benign conditions.

Managing and Monitoring

The management plan for ground glass opacity in lungs is entirely dependent on the underlying diagnosis. If the GGO is determined to be the result of a temporary viral infection, the management may simply be supportive care and time. Conversely, if it is linked to a chronic condition, a long-term management strategy will be implemented to prevent progression and maintain lung function.

For those being monitored for persistent GGOs, the routine usually involves regular, scheduled imaging. The stability of the opacity—meaning it has not changed size or appearance over several scans—is usually considered a positive sign, suggesting a benign or indolent (slow-growing) process. If, however, the scan shows an increase in the size of the opacity or it becomes more solid, your pulmonologist will likely escalate the investigation to determine if medical or surgical intervention is required.

Lifestyle factors also play a role in overall lung health. If you are a smoker, quitting is the single most important action you can take to support your respiratory health. Additionally, minimizing exposure to environmental pollutants, allergens, and airborne irritants can prevent further aggravation of underlying lung conditions associated with GGOs.

In summary, discovering a ground glass opacity in lungs is a common diagnostic finding that signals the need for further investigation rather than an immediate cause for alarm. Because this term covers a wide spectrum—from self-limiting infections to complex chronic diseases—a thorough evaluation by a healthcare professional is necessary to identify the specific cause. By combining imaging data with your personal health history, doctors can create an appropriate plan for monitoring or treatment. Maintaining open communication with your medical team and attending all follow-up appointments are the best ways to ensure that any necessary intervention happens in a timely manner, ultimately helping to manage your lung health effectively and providing peace of mind.