Cleve

Gum Infection And Treatment

Gum Infection And Treatment

Maintaining optimal oral health is about far more than just having a bright, white smile; it is a fundamental pillar of your overall physical well-being. Many people overlook the early signs of periodontal disease until it is too late, leading to discomfort and long-term complications. Understanding the progression of gum infection and treatment is essential for anyone looking to preserve their natural teeth and support systemic health. When bacteria build up along the gum line, they form plaque, which if left untreated, hardens into tartar and triggers inflammation, redness, and bleeding—the hallmark signs of gingivitis and, eventually, periodontitis.

Understanding Gum Infection: Stages and Symptoms

Dental health checkup

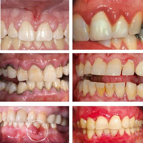
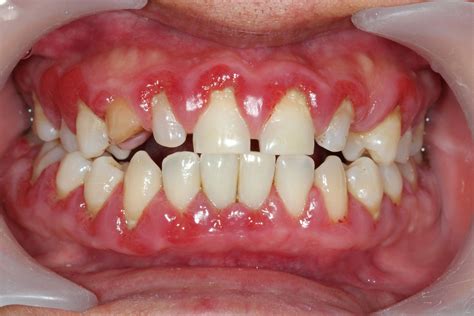
Gum disease, or periodontal disease, occurs in stages. Recognizing these stages early is the most effective way to manage the condition. The process usually begins with poor oral hygiene, allowing bacteria to colonize the spaces between teeth and gums.

  • Gingivitis: The mildest form of gum disease. You may notice red, swollen gums that bleed easily when you brush or floss. At this stage, the damage is typically reversible.
  • Early Periodontitis: As the infection progresses, the gums begin to pull away from the teeth, forming "pockets" that trap bacteria and debris.
  • Advanced Periodontitis: The final stage involves the destruction of the bone and connective tissue that hold your teeth in place. This often results in loose teeth or the need for extraction.

Common symptoms to watch for include persistent bad breath (halitosis), tender gums, receding gum lines, and changes in the way your teeth fit together when you bite.

Professional Gum Infection and Treatment Options

Professional dental cleaning

When you visit a dentist for gum infection and treatment, they will assess the depth of your periodontal pockets and the extent of bone loss. Treatment is designed to eliminate the infection and reattach the gums to healthy bone structure.

Treatment Type Description Purpose
Professional Scaling Manual removal of plaque and tartar Remove surface-level bacteria
Root Planing Smoothing the tooth roots Allow gums to reattach properly
Antibiotic Therapy Topical or oral medication Control remaining bacterial growth
Surgical Intervention Flap surgery or bone grafts Restore severe tissue damage

⚠️ Note: Always consult with a licensed periodontist if you notice sudden, severe pain or pus around your gums, as these could indicate a deep-seated abscess requiring immediate care.

Daily Habits to Prevent Recurrence

Once you have addressed your immediate dental health concerns, preventing the return of infection is the next priority. Consistent home care is the primary defense against recurring periodontal issues.

  • Brush Twice Daily: Use a soft-bristled brush and fluoride toothpaste to clean all surfaces of the teeth gently.
  • Floss Daily: Flossing removes food particles and bacteria from between teeth where a toothbrush simply cannot reach.
  • Use Antimicrobial Mouthwash: Incorporating a therapeutic mouthwash can help reduce the bacterial load in your mouth significantly.
  • Maintain Regular Cleanings: Schedule professional dental cleanings every six months to remove hardened calculus that you cannot remove at home.

Research has increasingly shown a strong connection between gum infection and treatment outcomes and broader health issues. Chronic inflammation in the mouth does not stay localized. Bacteria from infected gums can enter the bloodstream and contribute to inflammation in other parts of the body.

Studies have linked untreated periodontal disease to various systemic conditions, including:

  • Cardiovascular Disease: Inflammation in the gums may increase the risk of heart disease and stroke.
  • Diabetes: Diabetes and gum disease have a bi-directional relationship; diabetes makes gums more susceptible to infection, and advanced gum disease can make blood sugar control more difficult.
  • Respiratory Issues: Bacteria from infected gums can be inhaled into the lungs, potentially leading to respiratory infections.

💡 Note: Patients with underlying health conditions should be extra diligent about their dental hygiene routines, as these individuals are often at a higher risk for periodontal complications.

Choosing the Right Oral Care Products

Not all dental products are created equal when you are dealing with sensitive or infected gums. Selecting the right tools can make a significant difference in your daily comfort and recovery.

Look for products labeled as having the ADA Seal of Acceptance, which ensures the product has been scientifically evaluated for safety and efficacy. When choosing a toothbrush, opt for "soft" or "ultra-soft" bristles; hard bristles can actually accelerate gum recession and exacerbate existing damage. Furthermore, consider an electric toothbrush, as studies suggest they are more efficient at removing plaque than manual brushing, especially for those with limited dexterity or those who tend to brush too aggressively.

Lastly, dietary choices play an underrated role. Reducing refined sugars and processed carbohydrates can starve the harmful bacteria that thrive on sugar, effectively slowing the rate of plaque accumulation. Incorporating crunchy fruits and vegetables like apples and carrots can also help naturally clean your teeth as you chew, promoting better gum circulation and overall hygiene.

Prioritizing the health of your gums is a proactive investment in your future well-being. By staying informed about the signs of periodontal disease and seeking timely, professional intervention, you can stop infections in their tracks before they impact your bone structure or overall health. Consistent oral hygiene habits, such as daily flossing and routine dental checkups, serve as the foundation for preventing the onset of these issues. Remember that your gums are the support system for your entire smile; taking care of them today ensures that you maintain a functional and healthy mouth for years to come. If you have been neglecting your dental checkups, schedule an appointment with a professional to evaluate your status and start a personalized care plan tailored to your unique needs.

Related Terms:

  • gums infection treatment at home
  • treating gum infection at home
  • best remedy for infected gum
  • best treatment for infected gums
  • how to fix infected gums
  • treat gum infection at home