Cleve

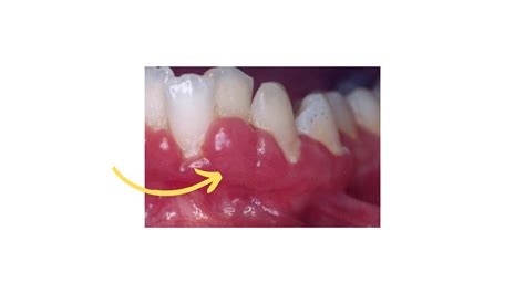
Gum Swelling Under Tooth

Gum Swelling Under Tooth

Experiencing gum swelling under tooth is a common dental concern that often signals an underlying issue requiring attention. While it is easy to dismiss a minor bump or tenderness as a fleeting problem, persistent inflammation can indicate anything from localized plaque buildup to a serious dental abscess. Understanding the root cause of this discomfort is the first step toward effective management and long-term oral health. Whether the swelling is accompanied by pain, bleeding, or simply a feeling of pressure, recognizing when it is time to seek professional care is crucial for preventing complications.

Understanding the Causes of Gum Swelling

There are several reasons why your gums might become inflamed or swollen in a specific area. Most instances of gum swelling under tooth are related to poor oral hygiene, but other factors like trauma or systemic health issues can also play a role. When plaque—a sticky film of bacteria—is allowed to accumulate along the gumline, it triggers an immune response. This response is what leads to redness, swelling, and bleeding.

  • Gingivitis and Periodontitis: These gum diseases are the most frequent culprits, caused by bacterial buildup.
  • Dental Abscess: A pocket of pus caused by a bacterial infection, often resulting from a deep cavity or a fractured tooth.
  • Trauma or Injury: Aggressive brushing, flossing, or accidentally biting your gum can cause localized inflammation.
  • Impacted Teeth: Specifically with wisdom teeth, the gums around a partially erupted tooth can easily trap bacteria and swell.
  • Foreign Objects: Sometimes, a small piece of food, like a popcorn hull, can become lodged beneath the gumline, causing irritation.

⚠️ Note: If you notice a visible pimple-like bump on your gum, this is often a sign of an abscess that requires immediate attention from a dentist to prevent the infection from spreading to the jawbone.

Symptoms to Watch For

While the swelling itself is the primary indicator, it is rarely the only symptom. Paying attention to other physical changes in your mouth can help you communicate more effectively with your dentist. If you are noticing gum swelling under tooth, monitor the following indicators:

Symptom Potential Significance
Persistent bad breath Indicates bacterial overgrowth or infection
Pus or discharge A clear sign of an active abscess
Sensitivity to hot or cold Could point to decay or nerve irritation
Loose teeth Advanced periodontal disease affecting bone structure

Immediate Home Care Strategies

Before you can get into the dental chair, there are several steps you can take to manage the discomfort and keep the area as clean as possible. However, these methods are temporary and do not replace the need for professional diagnosis.

Maintain Diligent Hygiene: Even if the area is sore, it is vital to keep it clean. Use a soft-bristled toothbrush to gently clean the area. If flossing is too painful, consider using an interdental brush or a water flosser on a low setting to remove debris.

Salt Water Rinses: Rinsing with warm salt water is a time-tested remedy. Salt acts as a natural disinfectant and helps draw out excess fluid from inflamed tissues. Mix half a teaspoon of salt into a cup of warm water and swish gently for 30 seconds, twice a day.

Cold Compresses: If the swelling is accompanied by external facial puffiness, apply a cold compress to the outside of your cheek for 10-15 minutes at a time. This can help reduce inflammation and dull the pain.

💡 Note: Do not place aspirin directly against the gum tissue near the swelling, as this can cause a chemical burn and further irritate the already sensitive gums.

When to See a Dentist Immediately

Some situations involving gum swelling under tooth cannot wait for a regular appointment. You should seek emergency dental care if you experience the following:

  • Difficulty swallowing or breathing, which could indicate a severe, spreading infection.
  • High fever or chills alongside the gum swelling.
  • Significant swelling that extends to the jaw, neck, or under the eye.
  • Severe, throbbing pain that keeps you awake at night and is not relieved by over-the-counter pain medication.

Professional Treatment Options

When you visit the dentist, they will likely perform a clinical examination and take dental X-rays to see what is happening below the gum line. Treatment will depend entirely on the diagnosis:

  1. Professional Cleaning: If the cause is gingivitis, a deep cleaning (scaling and root planing) may be necessary to remove tartar buildup.
  2. Drainage and Antibiotics: For a dental abscess, the dentist may need to drain the infection and prescribe a course of antibiotics to resolve the remaining bacteria.
  3. Root Canal Therapy: If the tooth itself is infected, a root canal may be required to save the tooth and eliminate the source of the swelling.
  4. Tooth Extraction: In cases where the tooth is too damaged to save, extraction may be the only way to resolve the infection and stop the pain.

Preventing Future Swelling

Prevention is always superior to treatment. Developing a rigorous oral health routine can significantly reduce the risk of recurring gum issues. Brush twice daily with fluoride toothpaste, and ensure you are flossing once every 24 hours. Consider using an antiseptic mouthwash to reach areas your brush might miss. Finally, maintain your regular dental checkups; professional cleanings are the only way to remove hardened plaque (tartar) that you cannot remove at home.

Addressing gum swelling under tooth promptly is essential to maintaining your overall dental health. While the symptoms can feel alarming, they are often manageable with the right professional intervention and consistent home care. By identifying the symptoms early, practicing good oral hygiene, and visiting your dentist at the first sign of persistent trouble, you can protect your teeth and gums from long-term damage. Remember that your gums are the foundation for your teeth; taking care of them is a vital investment in your health and wellness. Should you notice any persistent discomfort, prioritize a visit to a dental professional to ensure that a minor issue does not evolve into a major health challenge.

Related Terms:

  • inflamed gum around 1 tooth
  • swollen gum between 2 teeth
  • very puffy gumsaround 1 tooth
  • irritated gum around one tooth
  • gum irritation around one tooth
  • swollen gums due to toothache